• Комсомольская
  • Сухаревская
  • Проспект Мира
ул. Большая Спасская, 10к1
Пн-Сб с 10:00 до 21:00
ДентаЛюкс-М +7 (495) 125-25-20
Опубликовано: 16 января 2025 Обновлено: 3 декабря 2025 4 мин. чтения

Гранулематозный периодонтит: симптомы, диагностика, лечение

Гранулематозный периодонтит является одной из самых коварных и опасных стоматологических патологий, отличающейся длительным бессимптомным течением. При этом заболевании в периодонте образуются гранулемы, которые часто перерастают в кисты. Эти кисты вытесняют костную ткань и могут привести к выпадению соседних зубов.

  • Болезни зубов
Гранулематозный периодонтит: симптомы, диагностика, лечение
  • Фиксируем цены

  • Налоговый вычет

  • Собственная лаборатория

В случае травмы челюсти гранулемы могут вскрываться, и их содержимое вместе с патогенными микроорганизмами проникает в периодонт. Это вызывает интенсивное воспаление и сильную интоксикацию, что может привести к развитию местных и общих осложнений, таких как абсцессы в различных органах.

Особенности гранулематозного периодонтита

Гранулематозный периодонтит (код по МКБ-10 – К04.5) представляет собой хроническую воспалительную патологию периодонта, при которой возле верхушки корня зуба формируются гранулемы. Эти образования имеют капсулу из грубоволокнистой соединительной ткани, которая изолирует воспалительный очаг от здоровых тканей.

Толстая оболочка гранулемы препятствует проникновению патогенных микроорганизмов и их токсинов в здоровые ткани, ограничивая их распространение в окружающие структуры и кровоток.

Воспаление в периодонте обычно имеет вялотекущее течение, поддерживаемое микрофлорой внутри зубного канала. Жалобы у пациентов появляются при обострении воспаления, что приводит к симптомам, характерным для острого периодонтита.

Далее мы рассмотрим признаки различных типов гранулематозного периодонтита, методы его диагностики и лечения.

Причины гранулематозного периодонтита

Основные причины гранулематозного периодонтита включают:

  1. Инфекции: Бактерии, проникшие в корневой канал зуба, могут вызвать воспаление периодонта. Это часто происходит в результате нелеченого или плохо пролеченного кариеса.
  2. Травмы: Повреждения зуба или челюсти могут привести к развитию гранулем в периодонте. Травмы могут быть как острыми (удары, падения), так и хроническими (например, постоянное давление от неправильного прикуса).
  3. Некачественное лечение зубов: Недостаточное или неправильное лечение корневых каналов может привести к развитию инфекции и воспаления в периодонте.
  4. Снижение иммунитета: Ослабленная иммунная система делает организм более уязвимым к инфекциям, что может способствовать развитию гранулематозного периодонтита.
  5. Плохая гигиена полости рта: Недостаточная или неправильная гигиена полости рта способствует накоплению бактериального налета, что увеличивает риск развития воспалительных процессов в зубах и окружающих тканях.
  6. Системные заболевания: Некоторые системные заболевания, такие как диабет или заболевания крови, могут способствовать развитию гранулематозного периодонтита, снижая способность организма бороться с инфекциями.

Эти факторы могут взаимодействовать друг с другом, увеличивая вероятность развития заболевания. Понимание причин гранулематозного периодонтита позволяет проводить своевременную профилактику и лечение, предотвращая серьезные осложнения и сохраняя здоровье зубов и десен.

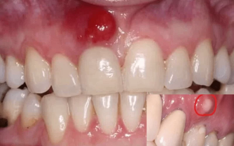
Симптомы гранулематозного периодонтита

Гранулематозное образование развивается возле корня зуба постепенно и зачастую остается незаметным на ранних стадиях. Его рост и выраженность симптомов зависят от активности воспалительных процессов и реакции иммунной системы пациента.

На скрытой стадии заболевания пациенты могут испытывать дискомфорт в области пораженного зуба, особенно во время еды. Этот дискомфорт может проявляться как:

  • Ощущение давления или тяжести в зоне проблемного зуба.
  • Легкая боль при жевании, которая усиливается при нагрузке на зуб.
  • Повышенная чувствительность к горячей или холодной пище.

По мере прогрессирования гранулематозного периодонтита, симптомы становятся более заметными и могут включать:

  • Постоянная боль в области пораженного зуба.
  • Отек и покраснение десны вокруг больного зуба.
  • Выделение гноя из десневого кармана.
  • Повышенная температура тела и общее недомогание, что может свидетельствовать о системном воспалении.

Раннее выявление и лечение гранулематозного периодонтита крайне важно для предотвращения серьезных осложнений, таких как кисты, абсцессы и потеря зубов. Если вы заметили у себя эти симптомы, немедленно обратитесь к стоматологу для диагностики и соответствующего лечения.

Гранулематозный периодонтит: симптомы, диагностика, лечение

Диагностика гранулематозного периодонтита

Для постановки диагноза гранулематозного периодонтита стоматолог тщательно изучает историю болезни пациента и проводит осмотр полости рта. Пациенты часто жалуются на эпизодическую зубную боль и дискомфорт при употреблении горячей или холодной пищи, которые проходят самостоятельно.

При осмотре можно заметить изменение цвета пораженного зуба, который обычно имеет пломбу или значительный кариозный дефект. При обследовании корневого канала зондом неприятные ощущения обычно отсутствуют, но из зубной полости может исходить резкий запах. Постукивание по зубу часто безболезненно, хотя иногда пациент может ощущать небольшой дискомфорт.

Гиперемия и отек в области верхушки корня могут быть заметны, хотя внешние проявления патологии часто отсутствуют.

Для уточнения формы и характера образования при гранулематозном периодонтите необходимо проведение рентген-диагностики. Обычно проводится прицельная рентгенография.

На рентгеновском снимке гранулема видна в апикальной зоне как тень с типичной округлой конфигурацией, прилегающей к зоне корня. Область с ровными контурами, где отсутствует костная структура, свидетельствует о наличии гранулемы.

Лечение гранулематозного периодонтита

Лечение гранулематозного периодонтита требует индивидуального подхода и выбора методики в зависимости от размеров и структуры гранулемы, а также состояния корневых каналов и общего здоровья пациента. Консервативные методы лечения подходят для небольших гранулем с нормальной проходимостью каналов.

Процесс лечения начинается с расширения корневых каналов и их обработки антисептическими средствами. Далее в каналы вводятся препараты, которые уничтожают патогенные микроорганизмы и стимулируют деятельность остеобластов, способствуя восстановлению костной ткани. В случае крупных гранулем может потребоваться резекция верхушки корня или удаление зуба.

Если вы испытываете дискомфорт или чувствительность в зубе, особенно при воздействии раздражителей, важно немедленно обратиться к стоматологу. Своевременное лечение поможет предотвратить осложнения и сохранить зуб. Запишитесь на прием в "ДентаЛюкс-М" для профессиональной диагностики и эффективного лечения.

В создании публикации участвовали врачи-стоматологи:

Светлов Александр Станиславович(стоматолог-терапевт).

Светлов Александр Станиславович

Светлов Александр Станиславович

Стоматолог-терапевт
Светлов Александр Станиславович
Светлов Александр Станиславович
Автор статьи

Светлов Александр Станиславович

Стоматолог-терапевт

Записаться на приём

Оставьте заявку, и мы свяжемся с вами в течение 5 минут

Адрес
ул. Большая Спасская, 10к1
Телефон
+7 (495) 125-25-20
Время работы
Пн-Сб с 10:00 до 21:00
Напишите нам: