• Комсомольская
  • Сухаревская
  • Проспект Мира
ул. Большая Спасская, 10к1
Пн-Сб с 10:00 до 21:00
ДентаЛюкс-М +7 (495) 125-25-20
Лучшее современное решение для восстановления зубов

Импланты Astra Tech (Швеция)

Импланты Astra Tech (Швеция)

О шведской компании «Astra Tech Implant System»


Организация «Astra Tech Implants» является одной из основополагающих компаний в области производства дентальных имплантов, наряду со «Straumann» и «Nobel Biocare». Фирма была создана в 40-х годах прошлого столетия в Швеции, и с тех пор она работает в области стоматологии. Тщательный контроль за всеми этапами производства имплантатов, изучение статистики успешной остеоинтеграции и других результатов эксплуатации изделий сделали импланты «Астра Тек» очень востребованными как среди врачей, так и среди пациентов по всему миру.

В наши дни «Astra Tech Implants» – это не отдельная самостоятельная компания, а составляющая холдинга «Dentsply» (с 2011 года). Тем не менее, марка «Астра Теч» существует и сейчас: вся продукция фирмы выпускается под этим названием. Импланты Astra Tech соответствуют высоким стандартам качества и имеют подтвержденную эффективность и безопасность. Они обеспечивают высокий процент остеоинтеграции и ускоренный процесс заживления благодаря применению передовых научных достижений.

Имплантация зубов Astra Tech — это надежное и быстрое решение для восстановления здорового улыбки и целостности зубного ряда.

Зафиксируйте стоимость имплантации по акции — 🔥 за 85 000 ₽ Astra Tech

Вы уже видели рекламу имплантации за 7-10 тысяч рублей?
Вот, что входит в настоящую имплантацию «под ключ» и без доплат:

1. Хирургический этап лечения

— это этап, на котором ставят только имплант и который выдаётся некоторыми клиниками за имплантацию «под ключ»

Имплант Astra Tech (Швейцария)
Имплант Astra Tech (Швейцария)
Работа имплантолога
Работа имплантолога
Формирователь десны
Формирователь десны
Цена за 1 этап
60 000 ₽ 100 000 ₽
🔥 Акция до 31.03
Цена за 1 этап
60 000 ₽ 100 000 ₽
🔥 Акция до 31.03

2. Ортопедический этап лечения

Создаем коронки премиального качества в собственной лаборатории

Абатмент
Абатмент
Циркониевая коронка на имплант
Циркониевая коронка на имплант
Работа ортопеда
Работа ортопеда
Цена за 2 этап
25 000 ₽
Цена за 2 этап
25 000 ₽
Итого за готовый зуб
🔥 Акция до 31.03

Итого за готовый зуб

85 000 ₽ 12 000 ₽

Нажимая кнопку «Забронировать цену», вы даёте согласие на обработку персональных данных в соответствии с персональных данных

  • Фиксируем цены

    Цены не меняются в процессе лечения

  • Налоговый вычет

  • Собственная лаборатория

Добро пожаловать в "ДентаЛюкс-М", где мы предлагаем надежные импланты Astra Tech - инновационное решение для восстановления зубов и здоровой улыбки. Наша команда опытных имплантологов проведет процедуру с максимальным комфортом и профессионализмом, учитывая уникальные потребности каждого пациента. Импланты Astra Tech отличаются прочностью, долговечностью и естественным внешним видом, обеспечивая комфорт и функциональность. Это надежный выбор для восстановления зубного ряда.

Стоматология «ДентаЛюкс-М» предлагает к установке импланаты «Astra Tech» с фиксацией коронки из диоксида циркония по цене 85 000 рублей за единицу «под ключ».

Цена под ключ на импланты Astra Tech

Наша цена
Средняя в Москве

Имплантация зубов

  • Имплантация зубов OSSTEM

    имплантат, установка диоксид циркониевой коронки
    Корея
    Корея
    🔥 Акция до 31.05
    54 900 45 000 ₽
    Средняя цена в Москве 56 000 ₽
  • Имплантация зубов NOBEL

    имплантат, установка диоксид циркониевой коронки
    Швейцария
    Швейцария
    🔥 Акция до 31.05
    78 000 73 000 ₽
    Средняя цена в Москве 88 000 ₽
  • Имплантация зубов MIS (Израиль)

    имплантат, установка диоксид циркониевой коронки
    🔥 Акция до 31.05
    74 000 57 000 ₽
    Средняя цена в Москве 75 000 ₽
  • Имплантация зубов Ankylos (Германия)

    имплантат, установка диоксид циркониевой коронки
    🔥 Акция до 31.05
    79 400 65 000 ₽
    Средняя цена в Москве 86 000 ₽
  • Имплантация зубов IMPRO (Германия)

    имплантат, установка диоксид циркониевой коронки
    🔥 Акция до 31.05
    71 500 55 900 ₽
    Средняя цена в Москве 92 000 ₽
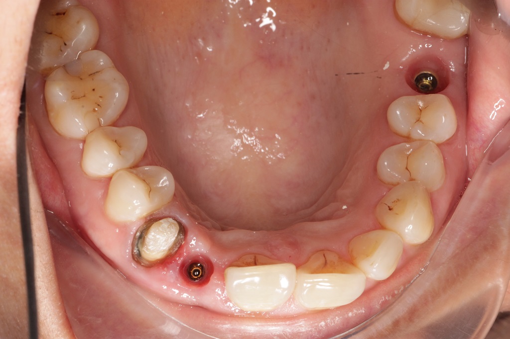
  • Имплантация зубов ASTRA (Швеция)

    имплантат, установка диоксид циркониевой коронки
    🔥 Акция до 31.05
    120 000 85 000 ₽
    Средняя цена в Москве 110 000 ₽
  • Имплантация ALL-ON-4

    установка 4 имплантатов, установка композитного протеза с винтовой фиксацией
    235 000 ₽
    Средняя цена в Москве 250 000 ₽
  • Имплантация ALL-ON-6

    установка 6 имплантатов, установка композитного протеза с винтовой фиксацией
    290 000 ₽
    Средняя цена в Москве 320 000 ₽
Все цены

Методы имплантации и стадии процедуры

Проблему отсутствия зубов, в зависимости от анамнеза, можно разрешить различными методами. Стоматолог принимает решение после комплексного обследования ротовой полости пациента. Специалисты «Денталюкс-М» практикуют индивидуальный подход к каждому клиенту и выбирают наиболее оптимальный метод операции для конкретного клинического случая.

Классический протокол

Самый эффективный метод для восстановления единичных дефектов, заключающийся в двухэтапной имплантации. Вся терапия занимает примерно 6 месяцев. На первом этапе устанавливаются импланты, накладываются швы, затем их оставляют в состоянии покоя на 3-4 месяца.

Второй этап заключается в установке постоянных протезов.

Одноэтапный протокол

Это метод восстановления имплантами с немедленной нагрузкой. Устанавливается через прокол без разрезов и дает возможность немедленно получить результат. Этапы одноэтапной имплантации:

  • консультация
  • подготовительная диагностика
  • установка имплантов
  • фиксация на них временных протезов

Через год можно временный протезы сменить постоянными.

Одномоментная имплантация

Одномоментная имплантация назначается при наличии проблемного зуба, который еще не удален.

Во время процедуры врач производит удаление зуба и сразу в эту же лунку ставит имплант. В зависимости от клинической картины дальше имплантация может осуществляться с незамедлительной или с отложенной нагрузкой.

All-on-4 имплантация

Это установка четырех имплантатов, на которые сразу устанавливается один общий протез всего зубного ряда. Данный метод дает возможность быстро решить проблему полной адентии.

Как проходит диагностика и почему это важно

Диагностика перед имплантацией зубов включает первичный осмотр у стоматолога, рентгенологические исследования (в том числе КТ) и анализы крови, а также сбор анамнеза.

Первичный осмотр и сбор анамнеза

Стоматолог оценивает состояние полости рта, слизистых оболочек, выявляет сопутствующие заболевания (например, заболевания десен), аллергии, хронические болезни и принимаемые препараты

Первичный осмотр

Ортопантомограмма (ОПГ)

Панорамный снимок челюсти для общего понимания состояния зубов, челюстной системы и окружающих тканей.

Компьютерная томография (КТ)

Трехмерное сканирование для получения максимально точной информации о плотности, объеме и структуре костной ткани, а также о расположении нервов, пазух и корней соседних зубов.

Рентгенологические исследования

Анализы крови

Общий анализ крови (для выявления воспалений, анемии), биохимический анализ (уровень глюкозы, состояние почек и печени), анализы на ВИЧ, гепатиты, сифилис, группу крови, резус-фактор.

Коагулограмма

Анализ свертываемости крови, необходимый перед любой операцией.

Дополнительные анализы

По назначению врача могут потребоваться анализы на гормоны щитовидной железы и уровень витамина D3.

Лабораторные исследования

Показания

Имплантация проводится при утрате одного, нескольких или всех зубов ряда. С помощью процедуры можно восстановить зубной ряд в любой клинической ситуации. Разнообразие имплантов и методов имплантации позволяют найти оптимальное решение для каждого клиента.

  • Отсутствие одного, двух зубов
  • Отсутствие нескольких зубов
  • Полное отсутствие зубов
  • Планирование удаления зубов в связи с порчей

Особо стоит отметить о таком показании к одномоментной адентии, как присутствие проблемного зуба, который готовится к удалению. В этом случае, важным условием является качество костной ткани, которое даст возможность установить имплантат сразу после удаления зуба.

Недостатки зубных имплантов «Impro»

Несмотря на очевидные преимущества и комфорт использования, у «Impro», имплантов из Германии, есть и минусы. Это пока малая распространенность данного вида изделий по сравнению с конкурирующими марками, такими как «Xive», «MIS» и другими.
Возможный вред от имплантатов связан с неправильной их установкой и обусловлен некачественными процедурами. Правильно установленные импланты отличаются высокой стабильностью и долговечностью, предоставляя пациентам красивую улыбку и комфорт при жевании.

Главные особенности имплантов «Астра Тек»

Компания «Astra Tech Implants» разработала и запатентовала свои собственные разработки в области имплантологии. Это и отличает ее продукцию от всех прочих:

«Astra Tech» – импланты, созданные производителем для самых разнообразных клинических случаев. Каждая разновидность имеет свое назначение. Система с пометкой «TX» наиболее известна в нашей стране. Маркировка «TX 3S» означает, что диаметр импланта равен 3 мм. Это самые тонкие титановые корни, используемые для реконструкции передних зубов. «TX Profile 5» служат для жевательных отделов и имеют наибольший размер. Также в ассортименте изделий «Astra Tech» представлены разные виды абатментов и формирователей десны, подходящих для лечения патологий разной тяжести.

Спецпокрытие «Osseo-Speed»

Это многокомпонентный состав на основе фторсодержащих соединений, который наносится на каждое изделие для ускорения процессов остеоинтеграции и стимуляции увеличения объема костной ткани вокруг импланта. 

Резьба Micro-Thread

Конусовидное соединение «Conical-Seal Design». Помогает перенести нагрузку с краев челюстной кости на глубокие ее слои, что делает фиксацию имплантата более стабильной. 

Conical-Connective Contour

«Conical-Connective Contour»: тип соединения «имплант+абатмент», обеспечивающий сохранение окружающих мягких тканей и повышающий эстетические показатели.

Рекомендации к установке

Установка импланта «Astra Tech» рекомендуется в случаях: отсутствие одного зуба; утрата нескольких зубов в ряду; тотальная адентия (потеря всех зубов полностью).
Медведев Роман Сергеевич

Медведев Роман Сергеевич

Главный врач, Хирург-имплантолог, Ортопед
Медведев Роман Сергеевич

Собственная лаборатория и премиальное качество материалов

Доступные цены, быстрые сроки изготовления и возможность оперативной корректировки достигаются благодаря эффективной работе собственной лаборатории и поставкам напрямую от производителя.

Лаборатория
Европейские
стандарты Лаборатория
Конструкции
любой сложности
Импортные
материалы Лаборатория
Из чего складывается стоимость

Преимущества имплантатов ASTRA TECH

Зубные импланты Astra Tech выбирают стоматологи и их клиенты из почти 200 стран мира благодаря следующим преимуществам: Наличие поверхности OsseoSpeed с микрошехоховатостями и специальной химической обработкой, за счет которой обеспечивается быстрая остеоинтеграция. Сохранение слоя кости, граничащего с имплантом, благодаря специальной технологии его встраивания в структуру протеза. Исключение вероятности микродвижений импланта, внутренняя часть которого защищена от проникновения окружающих тканей. Возможность добиваться высочайшей эстетики, обеспечивая сохранность мягких тканей, а также слизистой десны. Легкая адаптация даже при проведении одномоментной имплантации.

Этапы

  • Подготовка и планирование

    - Консультация, диагностика (КТ челюсти).
    - Составление 3D-плана лечения, изготовление хирургического шаблона для точности.

  • Хирургический этап

    - Установка титанового импланта (искусственного корня) в кость.
    - Наложение швов. Имплант закрывается десной для приживления.

  • Период приживления (Остеоинтеграция)

    - Нижняя челюсть: 2-4 месяца.
    - Верхняя челюсть: 4-6 месяцев.

  • Установка формирователя десны

    - Небольшое вмешательство для установки детали, которая формирует ровный и красивый контур десны вокруг будущего зуба. Занимает 1-2 недели.

  • Протезирование (Установка коронки)

    - Снимаются слепки.
    - Изготавливается и фиксируется постоянная коронка.

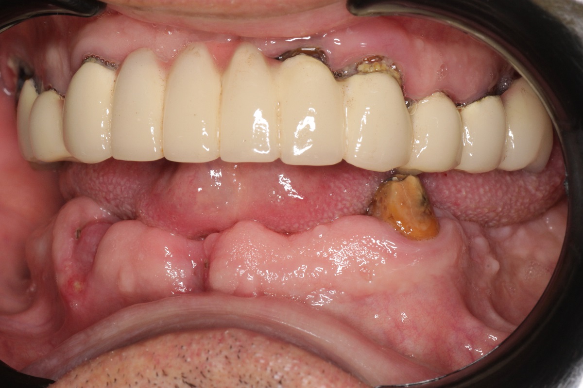
Какие протезы устанавливаются на импланты

Если вы планируете имплантацию зубов, немаловажно понимать, что на вживленный в костную ткань имплантат можно поставить любой протез.

К примеру, коронковая часть может быть изготовлена из:

  • цельнолитой керамики Е-Max (быстрое протезирование)
  • металлокерамики (универсальный способ, когда металлический базис снабжает протезу надежную прочность, а керамика – сходство с натуральными зубами)
  • диоксида циркония – метод элитного протезирования, характеризующегося долговечностью, крепостью и высоким уровнем эстетического вида

Мы советуем коронки из диоксида циркония

  • Износостойкие: Служат 15-20 лет, не подвержены стираемости
  • Практичные в эксплуатации: Практически не меняют цвет в процессе использования
  • Не отличить от своих зубов: Пропускают свет — выглядят более естественно
Светлов Александр Станиславович

Светлов Александр Станиславович

Стоматолог-терапевт
Светлов Александр Станиславович

Срок службы и гарантия

Клиника «Денталюкс-М» является официальным партнером компании Impro. Это означает, что мы не только используем лучшие в мире имплантационные системы, но и предоставляем нашим пациентам пожизненную гарантию на имплантаты, которую дает производитель.

  • Пожизненная

    Гарантия на импланты

  • 10 лет

    Гарантии на работу врача

  • Бесплатно

    Заменим имплант в течении гарантийного срока

Срок службы коронок зависит от материала, но в среднем равен 10-15 годам при правильном уходе.

Подробнее о гарантиях

Аналоги Astra Tech

Nobel Biocare

Аналогом Astra Tech является шведская компания - Nobel Biocare, которая не уступает в качестве и других характеристиках. Их имплантаты премиального класса обладают мощной научной базой и постоянно совершенствуются.

73 000 ₽
Подробнее
Nobel Biocare

Ankylos

Каталог имплантов Ankylos представляет несколько вариантов конструкций – по длине, диаметру платформы и наличию шестигранника. В систему входит 4 варианта конструкции, что облегчает их подбор согласно индивидуальным особенностям строения костной ткани и упрощает установку коронки из диоксида циркония.

65 000 ₽
Подробнее
Ankylos

Osstem

Одноэтапная имплантация зубов Osstem под ключ считается одной из востребованных стоматологических процедур на сегодняшний день.

45 000 ₽
Подробнее
Osstem

Наши партнёры

  • Наши партнёры
  • Наши партнёры
  • Наши партнёры
  • Наши партнёры
  • Наши партнёры
  • Наши партнёры
  • Наши партнёры
  • Наши партнёры
Медведев Роман Сергеевич
Автор статьи

Медведев Роман Сергеевич

Главный врач, Хирург-имплантолог, Ортопед

Ведущие врачи Москвы

Собрали лучших специалистов своей области

Все врачи

Возвращаем вам улыбку c 1998 года

Хорошее место 2026
Выбор пользовталей Яндекса
Пациенты Пациенты Пациенты Пациенты Пациенты Пациенты Пациенты Пациенты Пациенты Пациенты Пациенты
47 тыс+
Идеальных улыбок
Смотреть кейсы
Все отзывы

Независимый рейтинг

Нас рекомендуют 92% наших пациентов, оставляя отзывы на независимых порталах и в соцсетях. Клиника не может на них повлиять, поэтому они так ценны для нас.

Отзывы

Яндекс
Laura

Laura

19.06.2025

Хочу выразить благодсрность за теплый прием и высокое качество обслуживания в клинике! Чувствуется желание уделить внимание пациенту с учетом индивидуальных особеннлстей возникшей проблемы у пациента и психолически настроить пациента к предстоящей имплантации. Хочу выразить благодарность хирургу- имплантологу Медведеву Роману Сергеевичу за высокий профессионализм и чуткое отношение к пациенту во время проведения операции и во весь период до установки протеза на импланты! Врач от Бога! Никаких осложнений, синяков и прочее...Буду рекомендовать своим знакомым! Спасибо большое всему персоналу клиники за слаженную работу!

Ответы на частые вопросы

Какие импланты не надо менять?
Качественные и хорошо установленные импланты, при правильном уходе и регулярных посещениях стоматолога, могут служить долгое время. В идеале, импланты не требуют замены, если они не вызывают проблем и хорошо функционируют. Однако, в некоторых случаях, например, при возникновении осложнений или износе, может потребоваться замена имплантов. Решение об этом должно быть принято врачом после оценки каждого конкретного случая.
Какой имплант самый мягкий?
Импланты изготавливаются из различных материалов, но не существует такого понятия, как "мягкий" имплант. Они должны быть прочными и долговечными, чтобы обеспечивать эффективную замену зубов. Рекомендуется обратиться к врачу, чтобы выбрать подходящий имплант в соответствии с индивидуальными потребностями и ситуацией.
Какие импланты нельзя ставить?
Есть некоторые противопоказания, при которых ставить импланты может быть нежелательно. Это может включать недостаточный объем кости, серьезные проблемы с деснами, неподходящее общее состояние здоровья пациента, определенные медицинские условия или беременность. Решение о возможности установки имплантов должно быть принято врачом после тщательной оценки каждого индивидуального случая.
Какие импланты самые безопасные?
Безопасность имплантов зависит от их качества, соответствия международным стандартам и правильной процедуры установки. Компании, которые следуют строгим протоколам качества и проводят исследования, обычно предлагают более безопасные импланты. Рекомендуется выбирать импланты от проверенных производителей и обратиться к квалифицированному стоматологу для установки.
Какие зубные импланты самые лучшие?
Самые лучшие зубные импланты определяются на основе качества, надежности, долговечности и клинических результатов. Множество компаний предлагают высококачественные импланты, и выбор зависит от конкретной ситуации и рекомендаций врача.
Какого производителя лучше выбрать импланты?
Выбор производителя имплантов зависит от множества факторов, включая качество, надежность, научные исследования и клинические результаты, а также рекомендации врача. Важно выбирать импланты от надежных и проверенных производителей, которые имеют хорошую репутацию и поддержку врачей.
Какие самые лучшие импланты в мире?
В мире существует множество производителей имплантов, и каждый из них предлагает свои преимущества. Некоторые из самых признанных и популярных производителей имплантов включают Straumann, Nobel Biocare, Zimmer Biomet, Astra Tech и другие. Однако выбор лучших имплантов зависит от индивидуальных потребностей пациента и рекомендаций врача.
Сколько стоит имплант Астра?
Стоимость имплантации зубов ASTRA (Швеция) - 85000 руб. Включено: имплантат, установка, необходимая анестезия, формирователь с установкой, слепки 2 шт., абатмент, установка диоксид циркониевой коронки, цементная фиксация
Какие импланты лучше: Корея или Швеция?
Нет однозначного ответа на этот вопрос, так как выбор между имплантами зависит от множества факторов, включая индивидуальные потребности пациента, качество и надежность имплантов, опыт и квалификацию стоматолога. Оба производителя - Корея и Швеция - известны своими высококачественными имплантами, и выбор будет зависеть от конкретного случая и рекомендаций врача.

Записаться на приём

Оставьте заявку, и мы свяжемся с вами в течение 5 минут

Адрес
ул. Большая Спасская, 10к1
Телефон
+7 (495) 125-25-20
Время работы
Пн-Сб с 10:00 до 21:00
Напишите нам: