• Комсомольская
  • Сухаревская
  • Проспект Мира
ул. Большая Спасская, 10к1
Пн-Сб с 10:00 до 21:00
ДентаЛюкс-М +7 (495) 125-25-20
Лучшее современное решение для востановления зубов

Каппы Инвизилайн

Каппы Инвизилайн

На лечение системой капп Инвизилайн цена рассчитывается индивидуально, поскольку она зависит от планируемой продолжительности коррекции, а также от сложности патологии. В нее обязательно будет включена компьютерная томография аппаратом Vatech PaX-i3D, которая проводится для точного определения индивидуальных особенностей прикуса, и полный набор капп. Окончательную стоимость услуги ортодонт рассчитывает и называет уже на первом приеме после очного осмотра и составления программы лечения. Таким образом, перед оплатой пациент четко представляет примерную продолжительность курса, а также может получить подробные ответы на любые вопросы, касающиеся хода лечени

  • Фиксируем цены

    Цены не меняются в процессе лечения

  • Налоговый вычет

  • Собственная лаборатория

Добро пожаловать в мир беззаметных улучшений улыбки с каппами Invisalign в стоматологической клинике "ДентаЛюкс-М"! Мы рады представить вам инновационное решение для выравнивания зубов без использования традиционных брекетов - каппы Invisalign.

Каппы Invisalign - это съемные прозрачные аппараты, разработанные с применением передовых технологий в ортодонтии. С их помощью вы можете получить желаемый результат идеальной улыбки, не стесняясь неудобных и заметных металлических брекетов. Каппы изготавливаются индивидуально под вашу уникальную структуру зубов, обеспечивая максимальный комфорт и эффективность коррекции прикуса.

Одно из главных преимуществ капп Invisalign - их почти невидимый внешний вид. Вы можете исправлять прикус и выравнивать зубы, не привлекая к этому внимания окружающих. Каппы легко снимаются при еде и чистке зубов, что делает уход за ними простым и удобным.

В стоматологии "ДентаЛюкс-М" мы гордимся тем, что наша команда опытных ортодонтов обладает большим опытом работы с каппами Invisalign. Мы предоставляем индивидуальные консультации, составляем точный план лечения и сопровождаем вас на каждом этапе коррекции прикуса.

Не упустите возможность преобразить свою улыбку с каппами Invisalign! Запишитесь на бесплатную консультацию прямо сейчас и начните путь к идеальной улыбке с комфортом и эстетикой капп Invisalign в стоматологии "ДентаЛюкс-М".

Цены на каппы Инвизилайн в Москве

Наша цена
Средняя в Москве

Исправление прикуса

  • Коррекция прикуса с помощью сплит-терапии

    50 000 ₽
    Средняя цена в Москве 56 000 ₽
  • Коррекция сплит-шины

    5 000 ₽
    Средняя цена в Москве 7 200 ₽
  • Металлическая брекет-система ТИНО

    1 зубной ряд
    13 000 ₽
    Средняя цена в Москве 19 000 ₽
  • Брекеты Damon Q

    1 зубной ряд
    54 000 ₽
    Средняя цена в Москве 74 000 ₽
  • Брекеты Damon Clear

    1 зубной ряд
    89 000 ₽
    Средняя цена в Москве 97 000 ₽
  • Flexiligner Light каппы

    85 000 ₽
    Средняя цена в Москве 97 000 ₽
  • Flexiligner Extra каппы

    135 000 ₽
    Средняя цена в Москве 155 000 ₽
  • Flexiligner Pro каппы

    165 000 ₽
    Средняя цена в Москве 185 000 ₽
  • Ортодонтическое лечение на элайнерах 1 категория сложности

    2 зубных ряда
    170 000 ₽
    Средняя цена в Москве 190 000 ₽
  • Ортодонтическое лечение на элайнерах 2 категория сложности

    2 зубных ряда
    220 000 ₽
    Средняя цена в Москве 240 000 ₽
  • Ортодонтическое лечение на элайнерах 3 категория сложности

    2 зубных ряда
    280 000 ₽
    Средняя цена в Москве 292 000 ₽
Все цены

Преимущества кап Инвизилайн

В сравнении с другими ортодонтическими конструкциями для коррекции прикуса, каппы от компании Инвизилайн имеют множество преимуществ. Стоматологи-ортодонты клиники «ДентаЛюкс-М» давно работают с каппами Invisalign, имеют большой опыт успешных установок для коррекций, поэтому гарантируют положительный результат у пациентов с дефектами любой сложности.

абсолютная незаметность

возможность самостоятельного быстрого снятия

простота ухода за конструкцией (достаточно лишь дважды в сутки на некоторое время помещать ее в специальный раствор для дезинфекции)

отсутствие ограничений в питании

быстрое привыкание (согласно статистике, в среднем на адаптацию уходит около пары часов)

отсутствие травматического воздействия на щеки или губы не влияет на дикцию

Как проходит диагностика и почему это важно

Врач оценивает симметрию лица, профиль, соотношение челюстей.

Осматривает полость рта: положение зубов, скученность, наличие промежутков, состояние десен и слизистой.

Клинический осмотр

Изготавливаются гипсовые модели челюстей пациента.

Позволяют точно изучить прикус, провести необходимые измерения и смоделировать будущее лечение.

Снятие слепков (оттисков)

- Ортопантомограмма (ОПТГ, "панорамный снимок"): оценивает состояние всех зубов, корней, зачатков зубов (у детей), костной ткани.

- Телерентгенограмма (ТРГ, "снимок черепа в боковой проекции"): позволяет провести точный математический анализ черепа, соотношения челюстей и планировать их перемещение.

- Компьютерная томография (КЛКТ, 3D-снимок): по показаниям, для получения трехмерной модели, чтобы оценить положение зубов в кости и исключить скрытые патологии.

Аппаратная диагностика (рентген-снимки)

Делаются снимки лица в разных ракурсах (анфас, профиль) и зубных рядов в состоянии улыбки и покоя.

Нужны для анализа эстетики и контроля изменений "до" и "после".

Фотопротокол

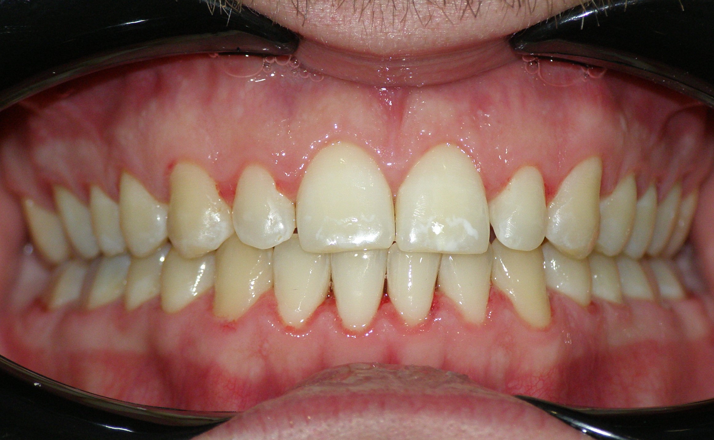
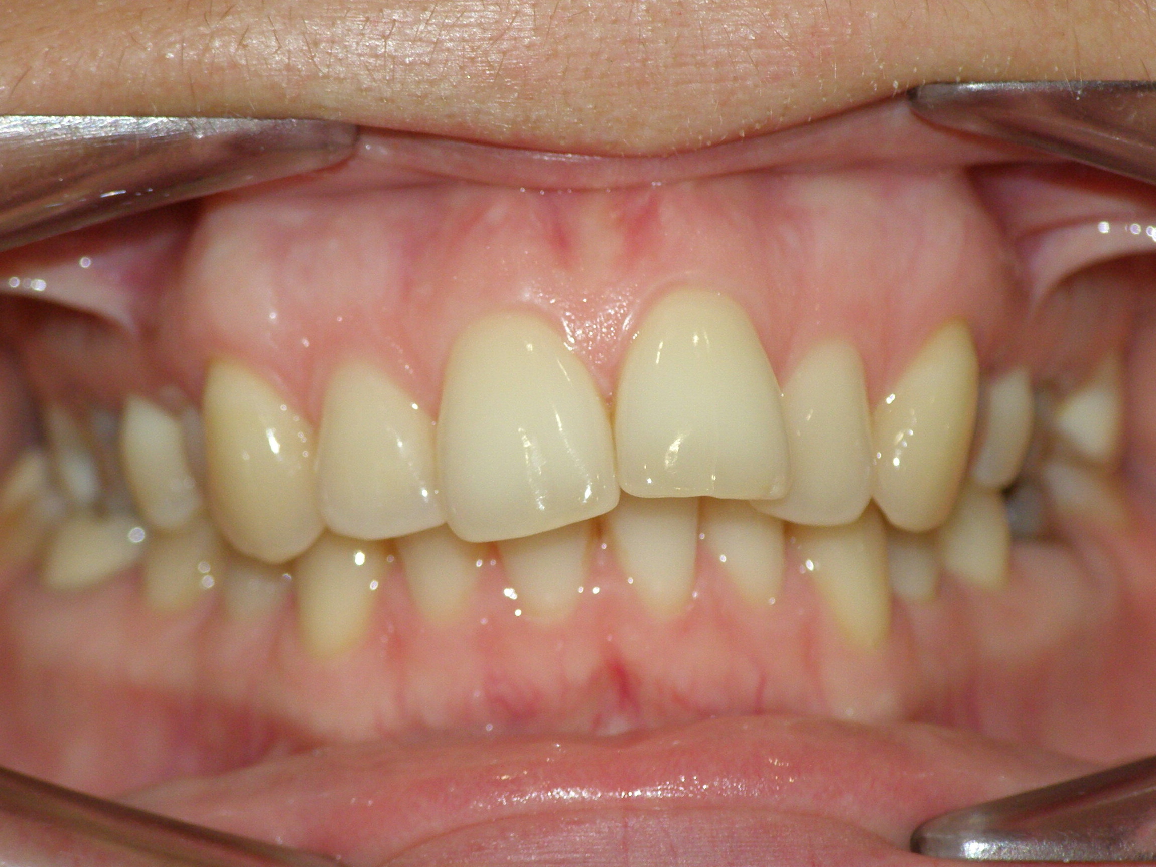
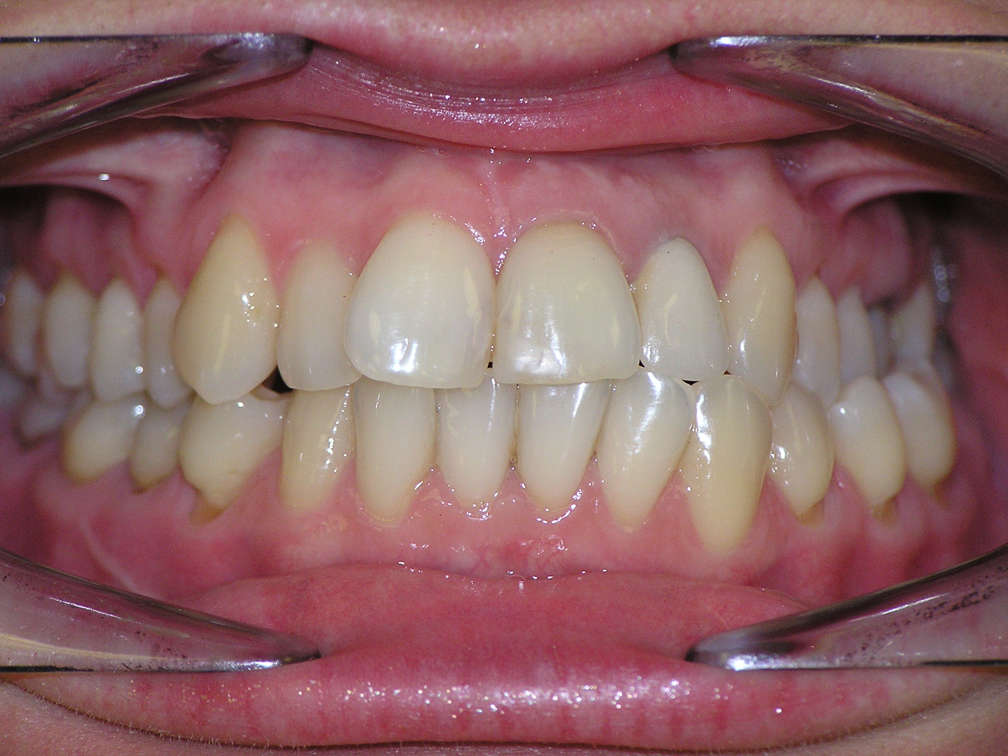
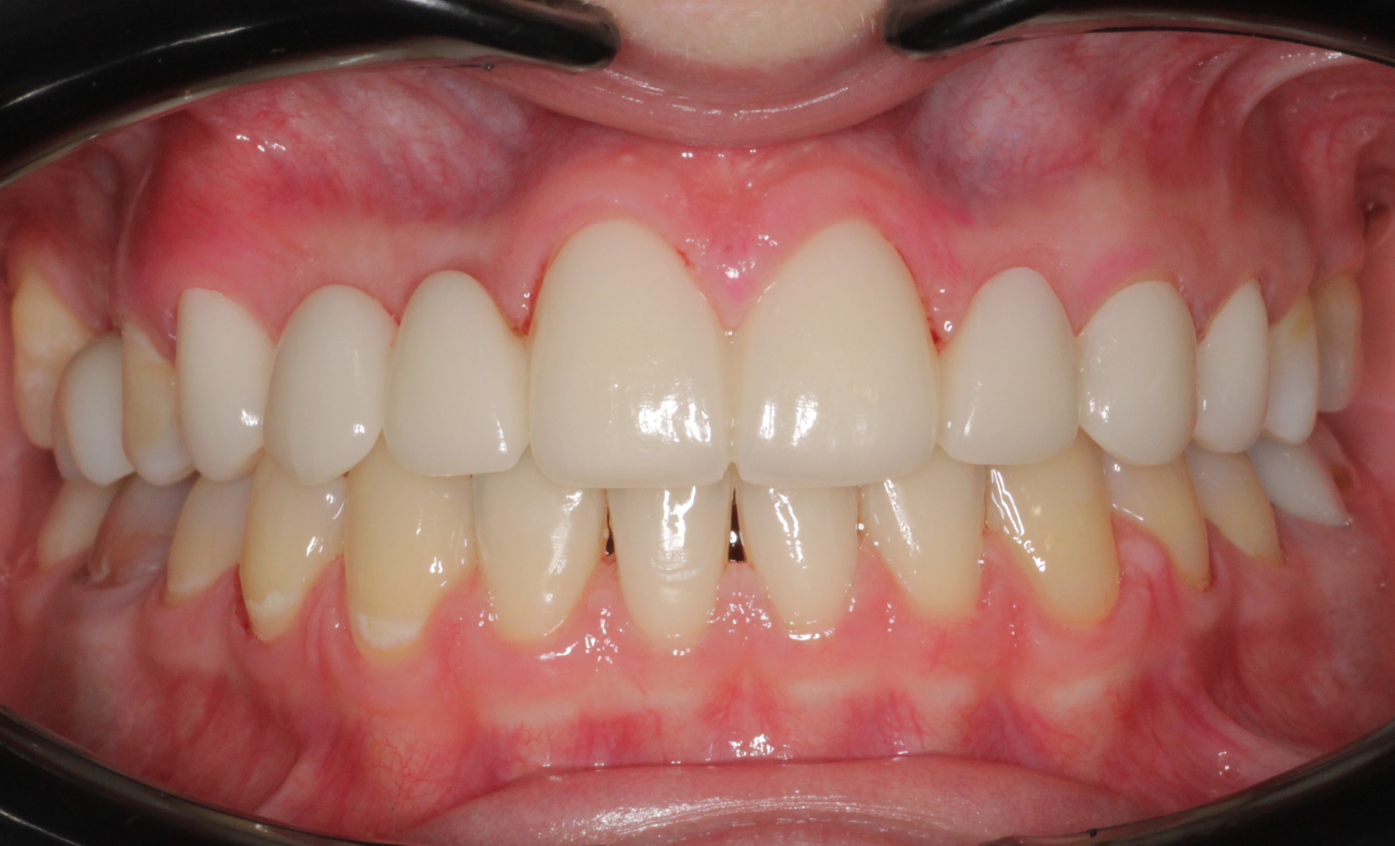
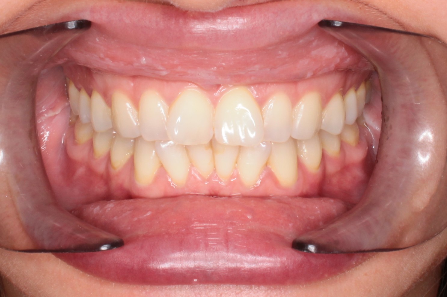
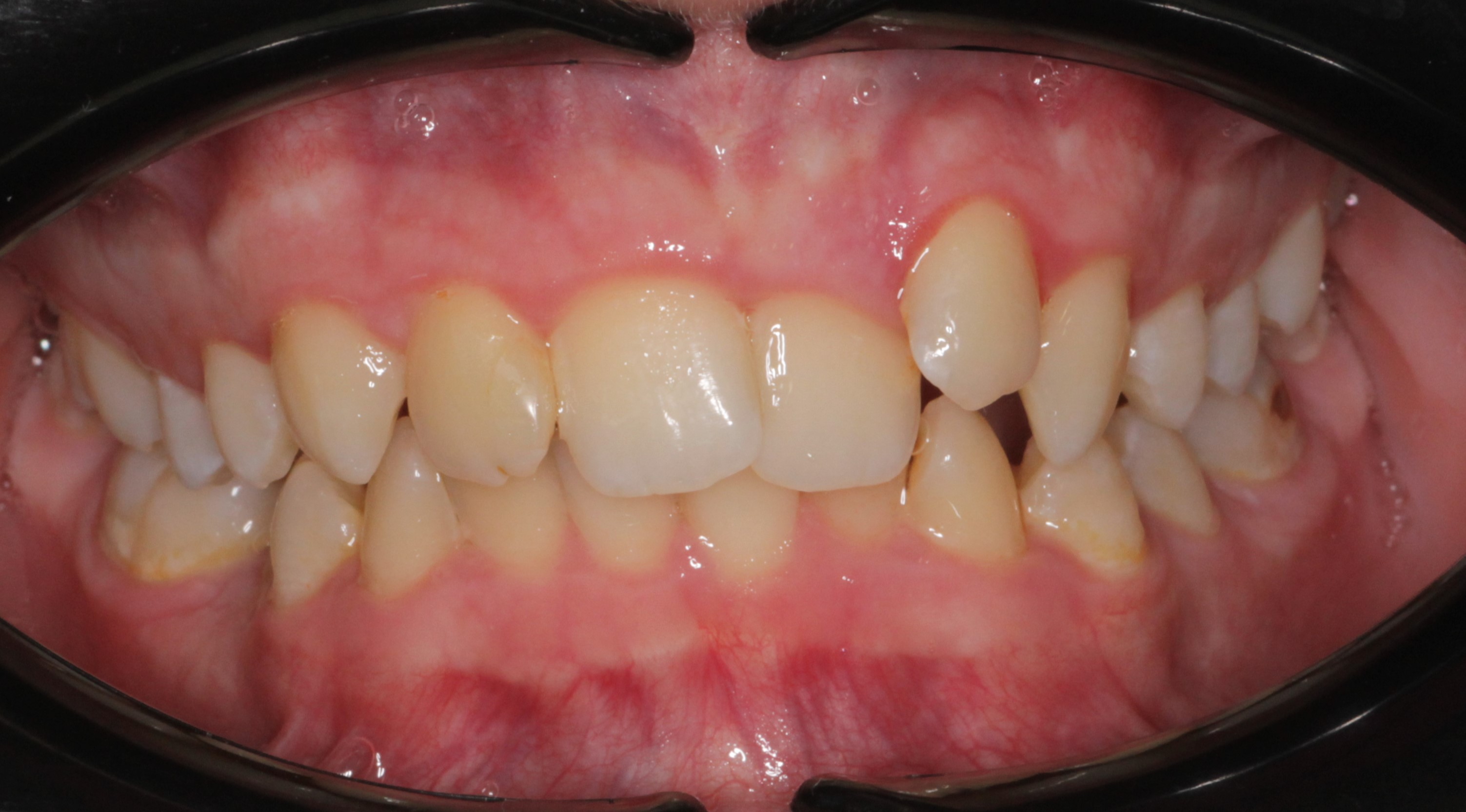
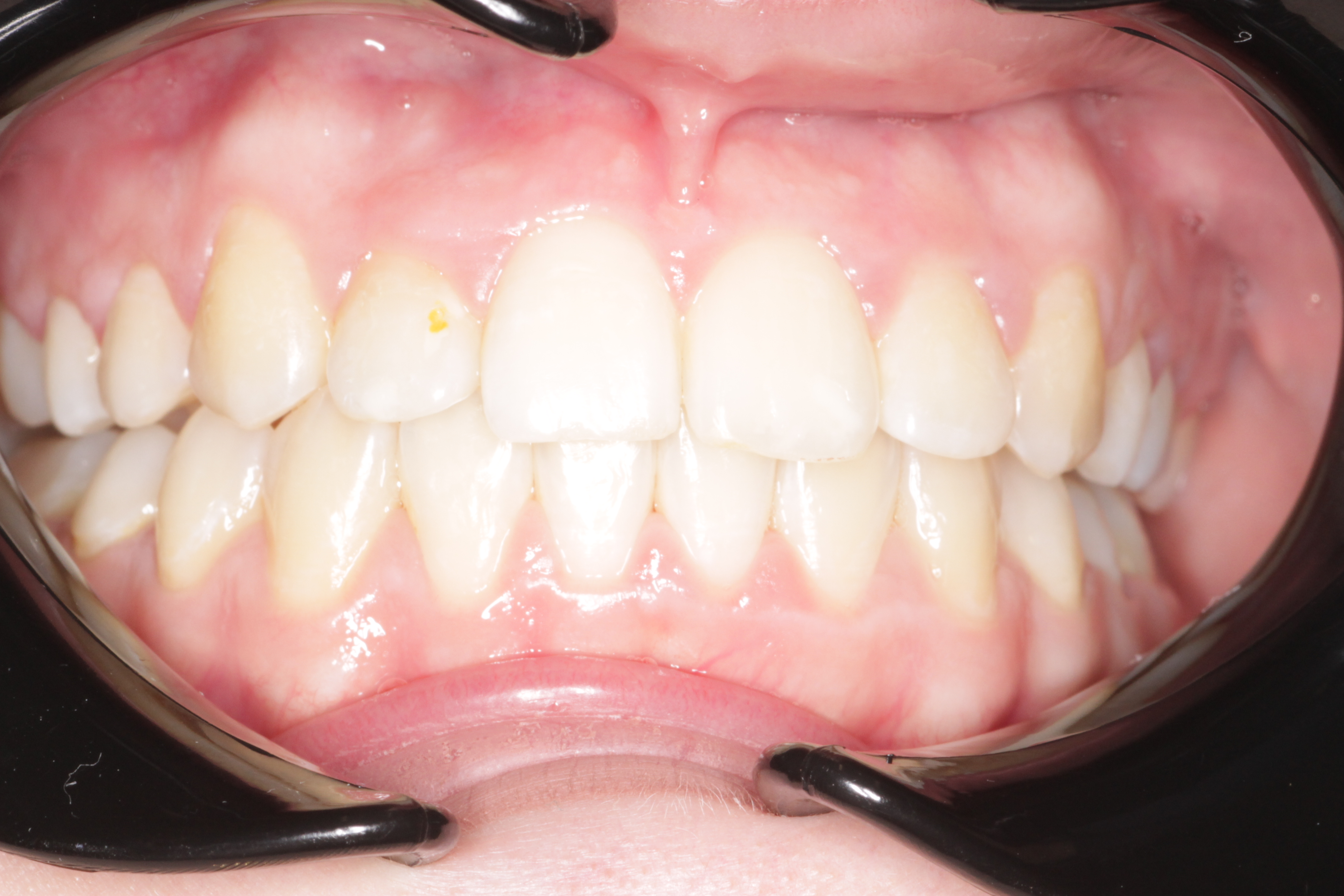
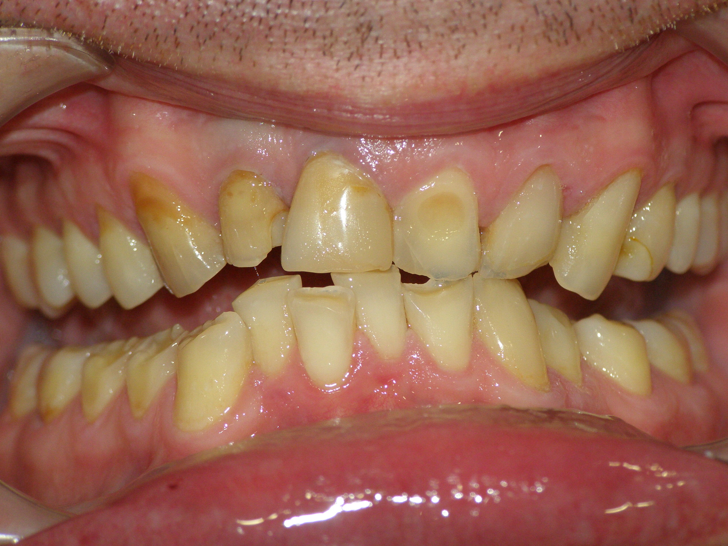
Выравнивание зубного ряда

Выравнивание зубного ряда, устранение скученности, щелей между зубами, а также коррекция неправильного прикуса могут проводиться незаметно: каппы Invisalign (также их иногда называют элайнерами) эффективно справятся с любой из этих задач. Неслучайно их название можно перевести как «невидимое выравнивание».

Инвизилайн — это съемная конструкция из прозрачного полимера, которая служит достойной альтернативой брекетам. Ее эффективность объясняется следующим образом: постоянное давление на зубной ряд инициирует микродвижение, заставляющее каждый зуб перемещаться в необходимом направлении. На протяжении лечения каппы Инвизилайн меняются: в среднем для достижения желаемого результата бывает необходимо около 25-30 моделей.

При этом, хотя общая стоимость системы Invisalign довольно высока, цена лечения качественными эстетическими брекетами, как правило, не слишком от нее отличается, поэтому переплачивать не придется!

Почему Инвизилайн

Современные системы Инвизилайн практически незаметны и чрезвычайно эффективны. Сразу после появления систем их назначали только в самых простых случаях искривления зубного ряда. Сегодня каппы для выравнивания зубов эффективны для большинства клинических ситуаций.

Если имеется скученность зубов, патологически тесном их размещении в зубном ряду.

Когда между зубов есть щели – диастема или трема (между передними или любыми другими зубами).

При любых вариантах нарушения прикуса – перекрестном, дистальном, открытом.

Показания

  • Скученность зубов
  • Вертикальное резцовое перекрытие (глубокий прикус)
  • Мезиальный прикус
  • Дистальный прикус
  • Перекрестный прикус
  • Промежутки между зубами (тремы, диастемы)
  • Вертикальная резцовая дизокклюзия (неполное смыкание челюстей)
  • Кривые зубы
Оганесян (Мкртчян) Каринэ Егиевна

Оганесян (Мкртчян) Каринэ Егиевна

Стоматолог–ортодонт, Детский стоматолог
Оганесян (Мкртчян) Каринэ Егиевна

Собственная лаборатория и премиальное качество материалов

Доступные цены, быстрые сроки изготовления и возможность оперативной корректировки достигаются благодаря эффективной работе собственной лаборатории и поставкам напрямую от производителя.

Лаборатория
Европейские
стандарты Лаборатория
Конструкции
любой сложности
Импортные
материалы Лаборатория
Из чего складывается стоимость

Этапы процедуры

На первом посещении специалист проведет осмотр, назначит необходимое исследование для формирования точной картины, составит подробный план по применению капп Invisalign

Этапы

  • Компьютерной диагностика

    Для компьютерной диагностики в клинике имеется высококачественное современное оборудование. Такой подход позволяет получать максимально точные данные о состоянии зубов и челюстной системы пациента, чтобы каппы для выравнивания зубов дали отличный результат в кратчайший срок.

  • Цифровой интроаоральный сканер

    iTero в считанные минуты предоставляет виртуальную 3D-модель челюсти пациента. А оригинальная программа позволит вам оценить конечный результат лечения еще не преступая к нему.

  • Выдав набор индивидуальных капп, первую врач наденет вам сам и расскажет как удобнее снимать их, фиксировать и ухаживать.

  • Приблизительно через 2 недели вы самостоятельно смените каппу на следующую.

    Не волнуйтесь, все модели пронумерованы, вы не ошибетесь. Чтобы закрепить результат после курса коррекции надо будет какое-то время поносить ретейнеры.

Что лучше выбрать: брекеты или каппы

Умные технологии, использованные при создании невидимых капп Инвизилайн, поставили их по эффективности в один ряд с брекет-системами. Поэтому, какое вы выберете лечение, на брекетах или на инновационных элайнерах, не важно, результат будет один – красивые ровные зубы.
Попович Павел Леонидович

Попович Павел Леонидович

Стоматолог–ортодонт
Попович Павел Леонидович

Популярные виды процедур по исправлению прикуса

Металлические брекеты

Не каждый человек может похвастаться ослепительной улыбкой с ровными зубами. Но ситуацию никогда не поздно изменить. В клинике «ДентаЛюкс-М» предлагается установка металлических брекетов.
13 000 ₽
Подробнее
Металлические брекеты

Лингвальные брекеты

Лингвальные брекеты – это передовые решения для выравнивания зубов, которые полностью скрыты с внешней стороны, обеспечивая максимальный комфорт и эстетичность.
30 000 ₽
Подробнее
Лингвальные брекеты

Установка брекетов

В клинике «ДентаЛюкс-М» стоимость брекетов на зубы рассчитывается индивидуально, но всегда остаётся прозрачной и понятной для пациента. Мы предлагаем полный комплекс услуг под ключ — от первичной консультации до снятия системы и установки ретейнеров, чтобы вы могли получить ровную и красивую улыбку без скрытых расходов.
230 000 ₽
Подробнее
Установка брекетов

Элайнеры

Элайнеры для зубов – это инновационный и удобный метод коррекции прикуса без использования металлических брекетов. Эти прозрачные и съёмные аппараты обеспечивают эффективное и незаметное выравнивание зубов, что делает процесс максимально комфортным для пациента.
170 000 ₽
Подробнее
Элайнеры

Наши партнёры

  • Наши партнёры
  • Наши партнёры
  • Наши партнёры
  • Наши партнёры
  • Наши партнёры
  • Наши партнёры
  • Наши партнёры
  • Наши партнёры
Габараева Наталия Валерьевна
Автор статьи

Габараева Наталия Валерьевна

Стоматолог-терапевт микроскопист, Эндодонтист (реставратор), Стоматолог-хирург
Содержание

Ведущие врачи Москвы

Собрали лучших специалистов своей области

Все врачи

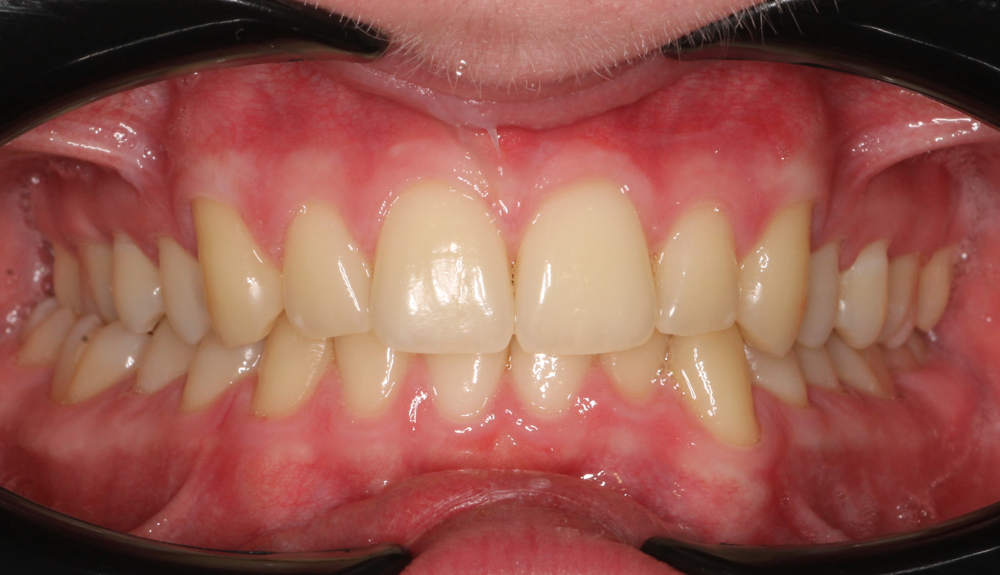
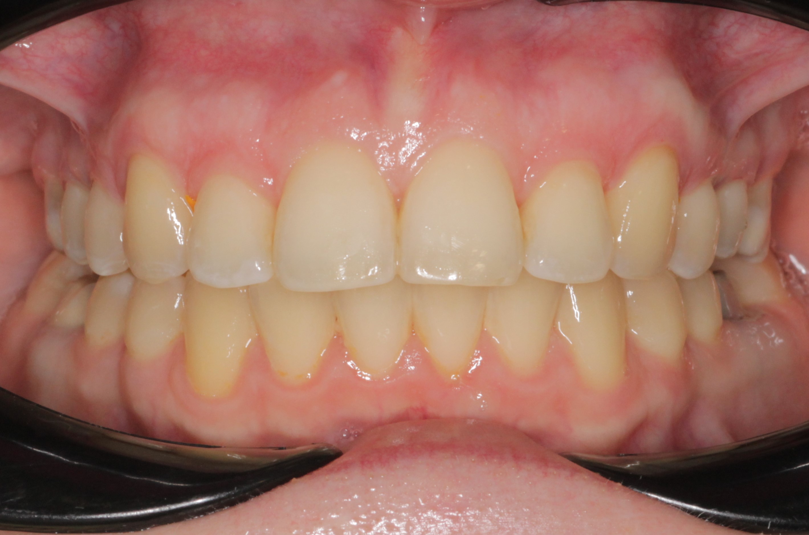
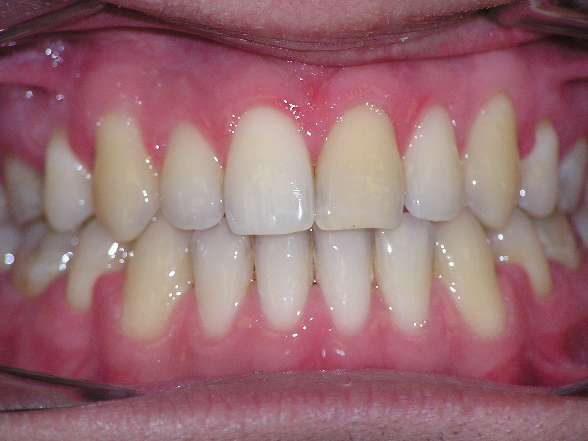
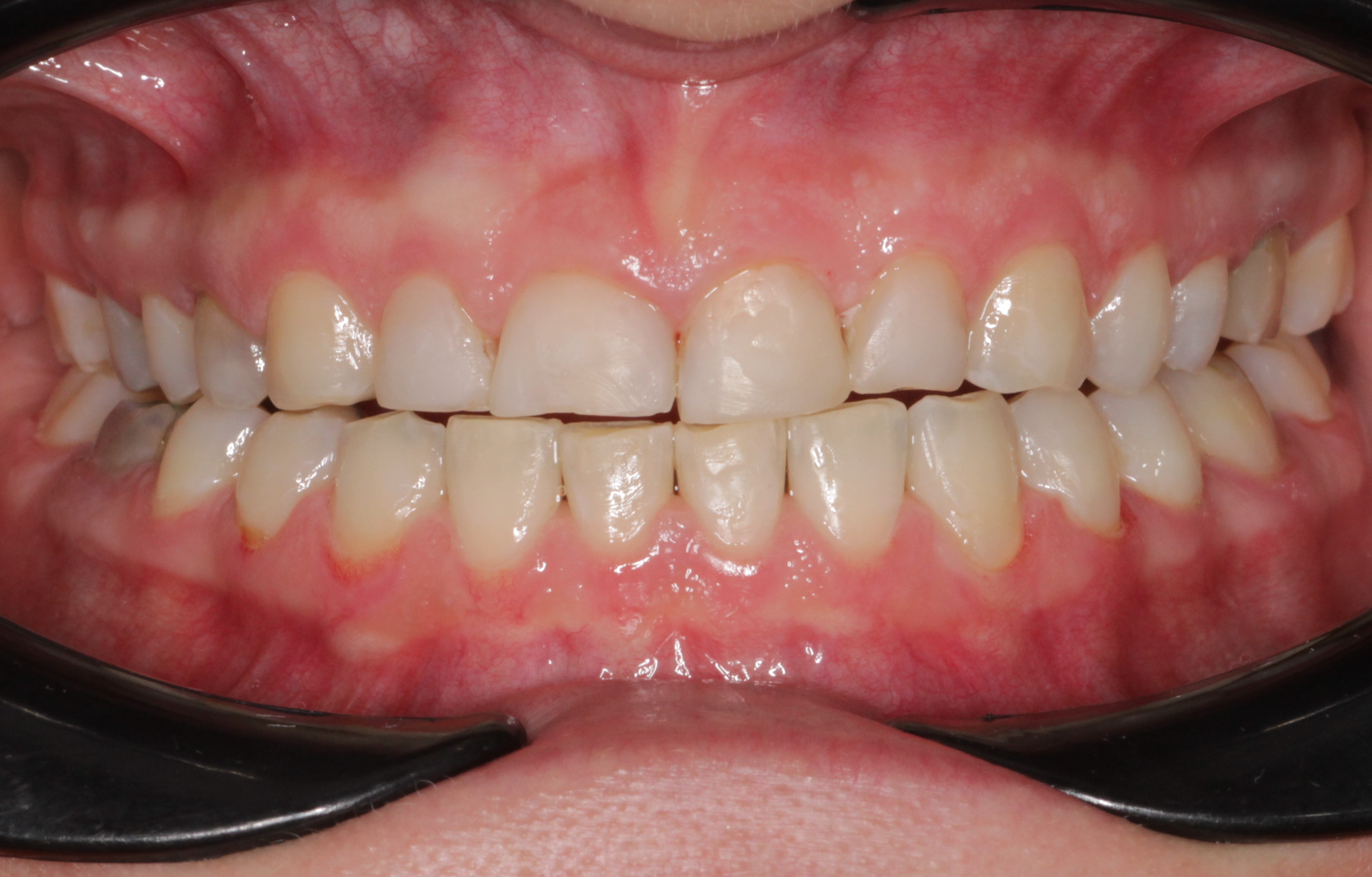
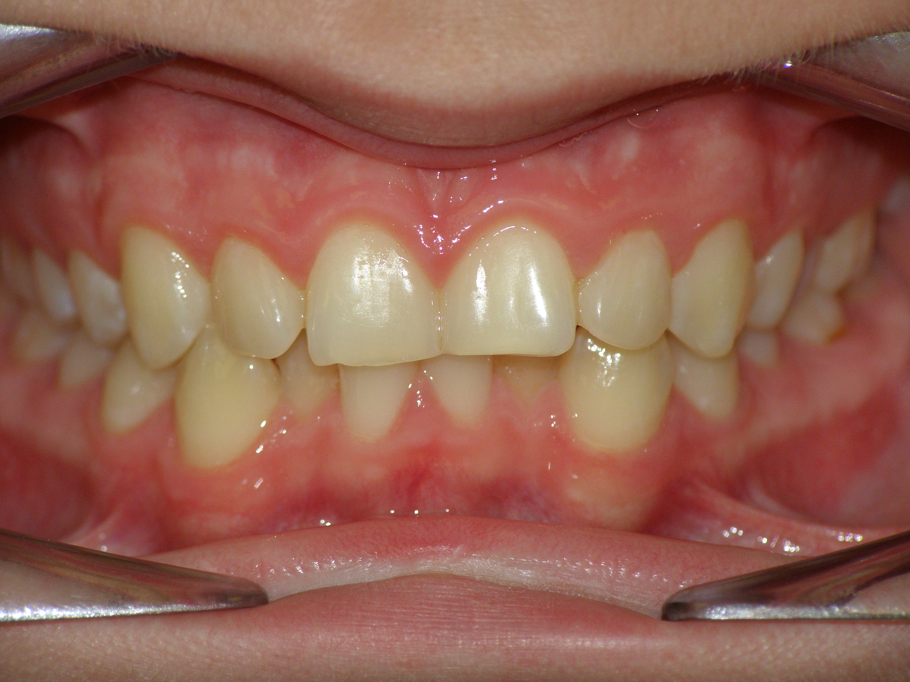
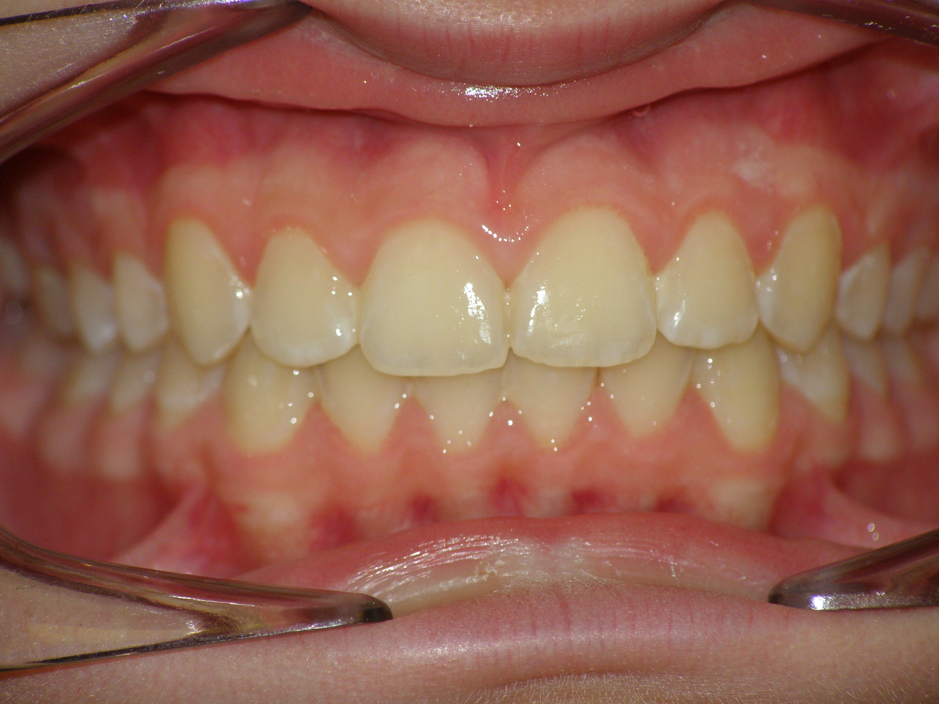
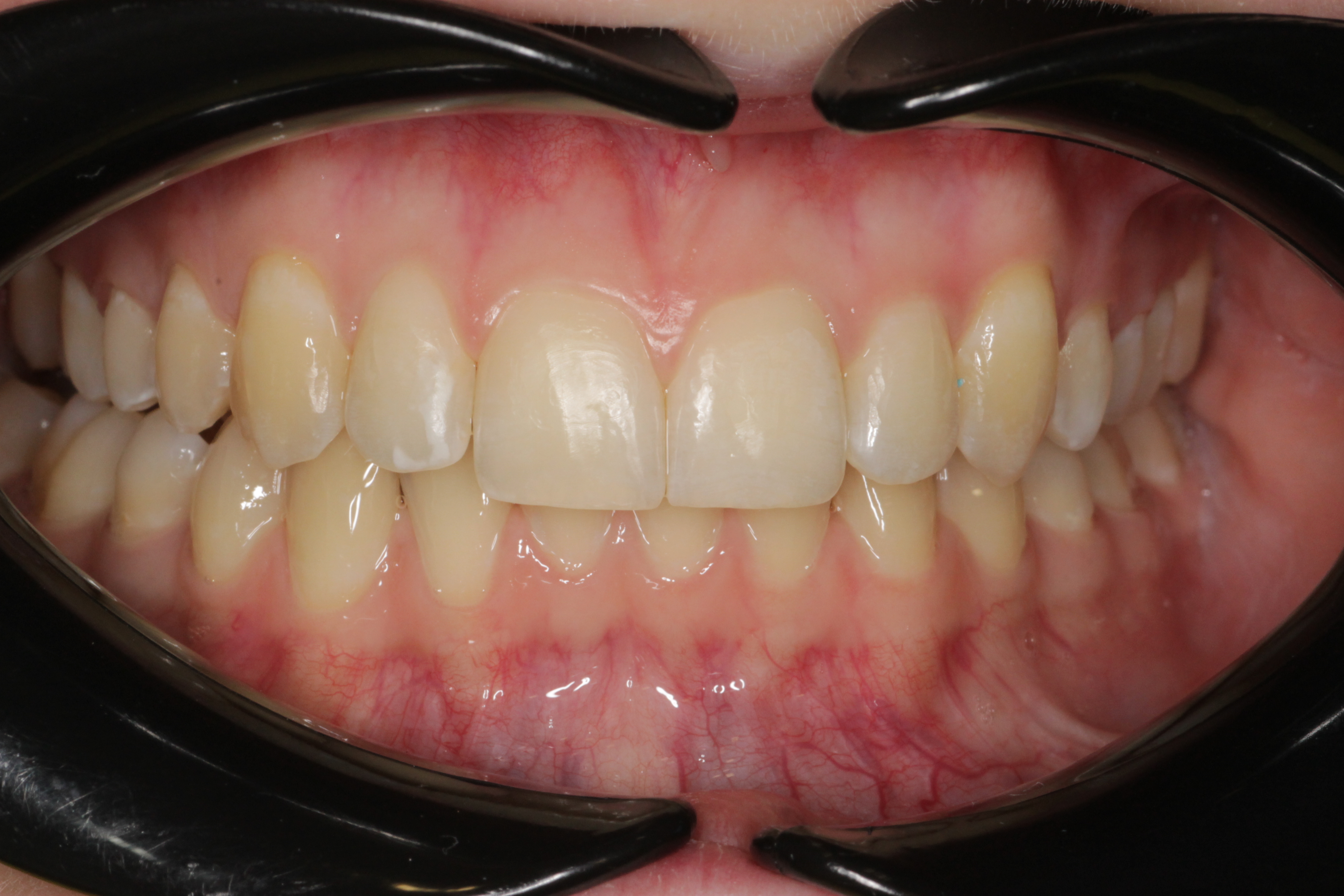
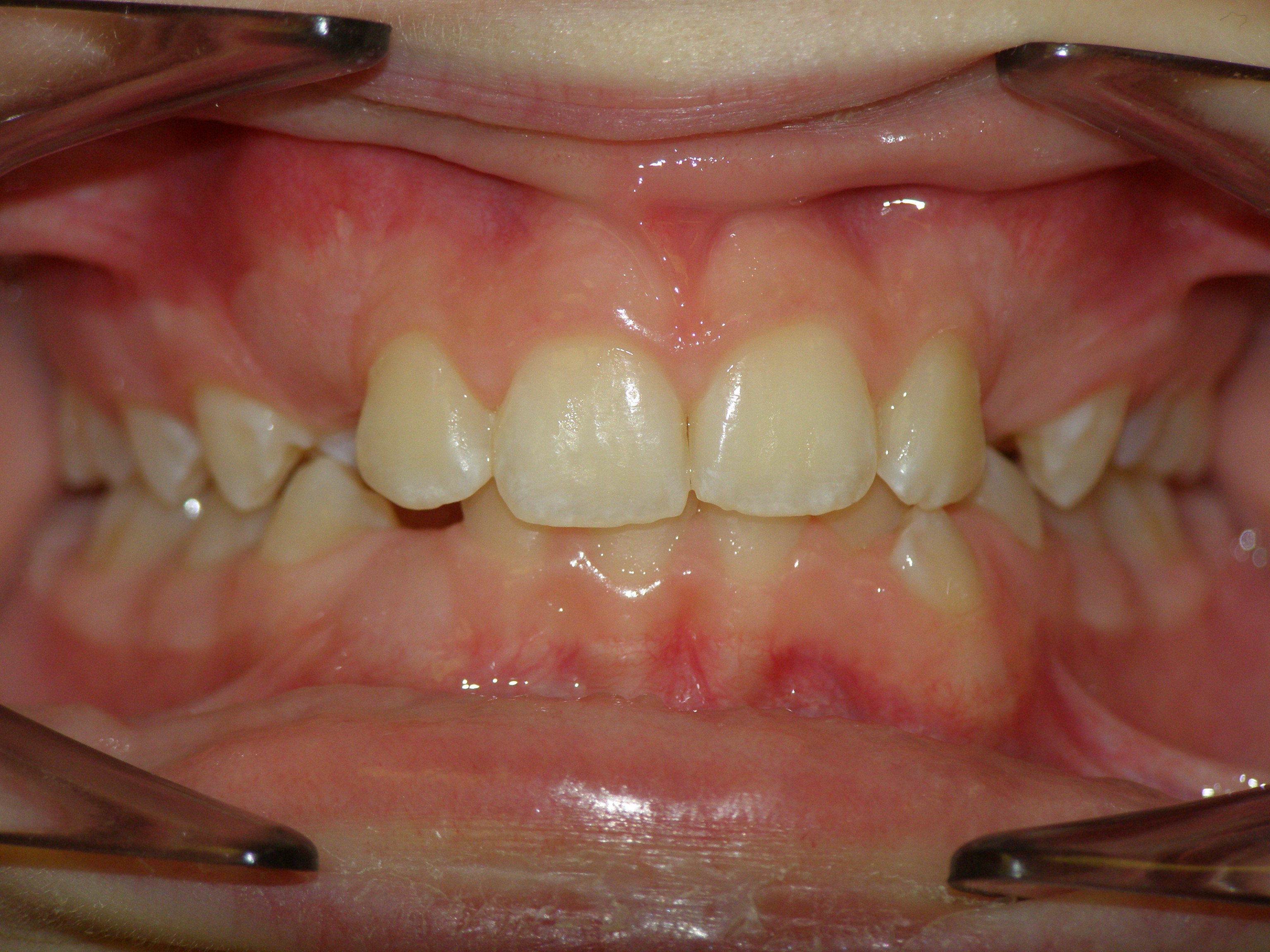
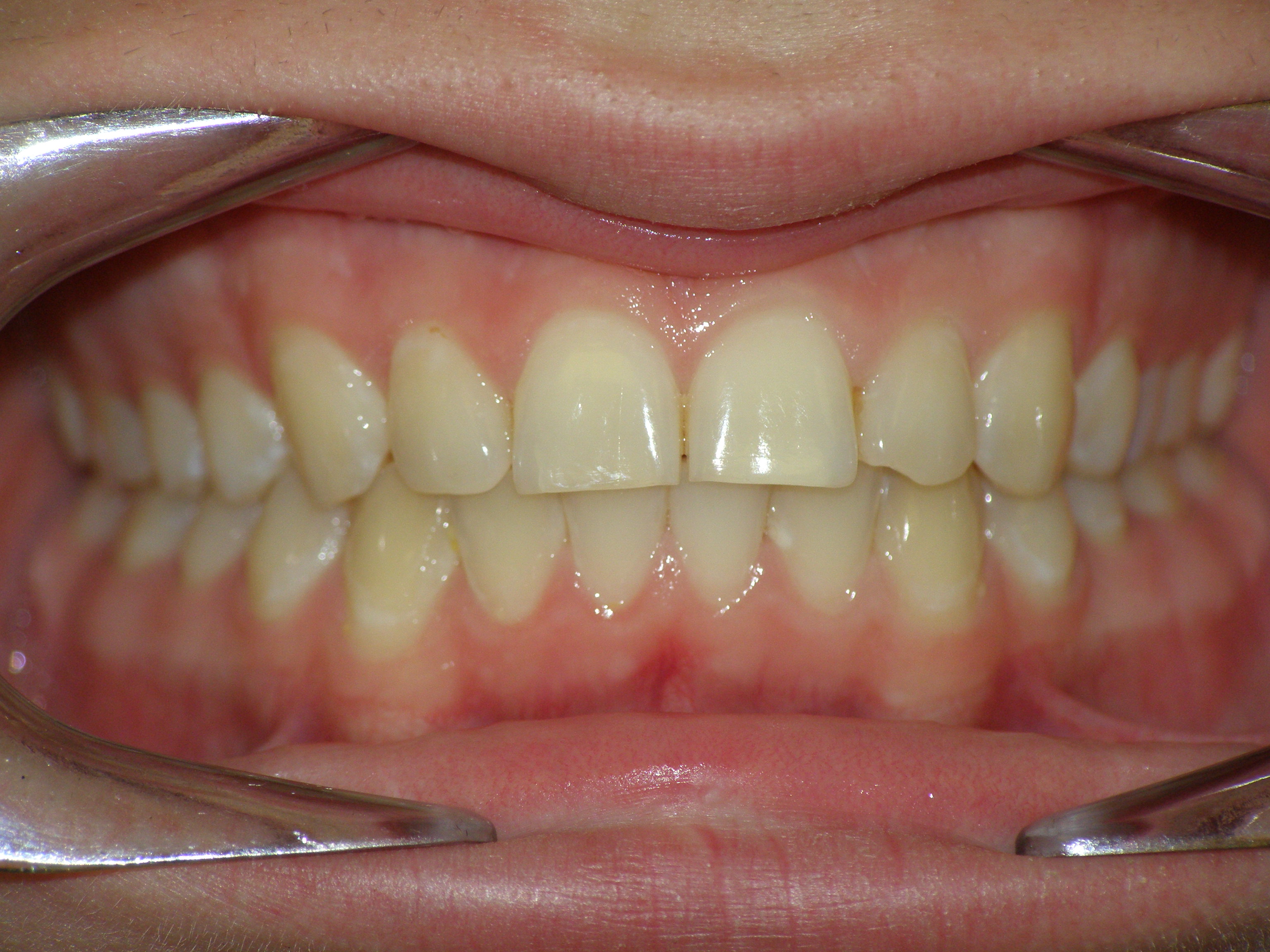
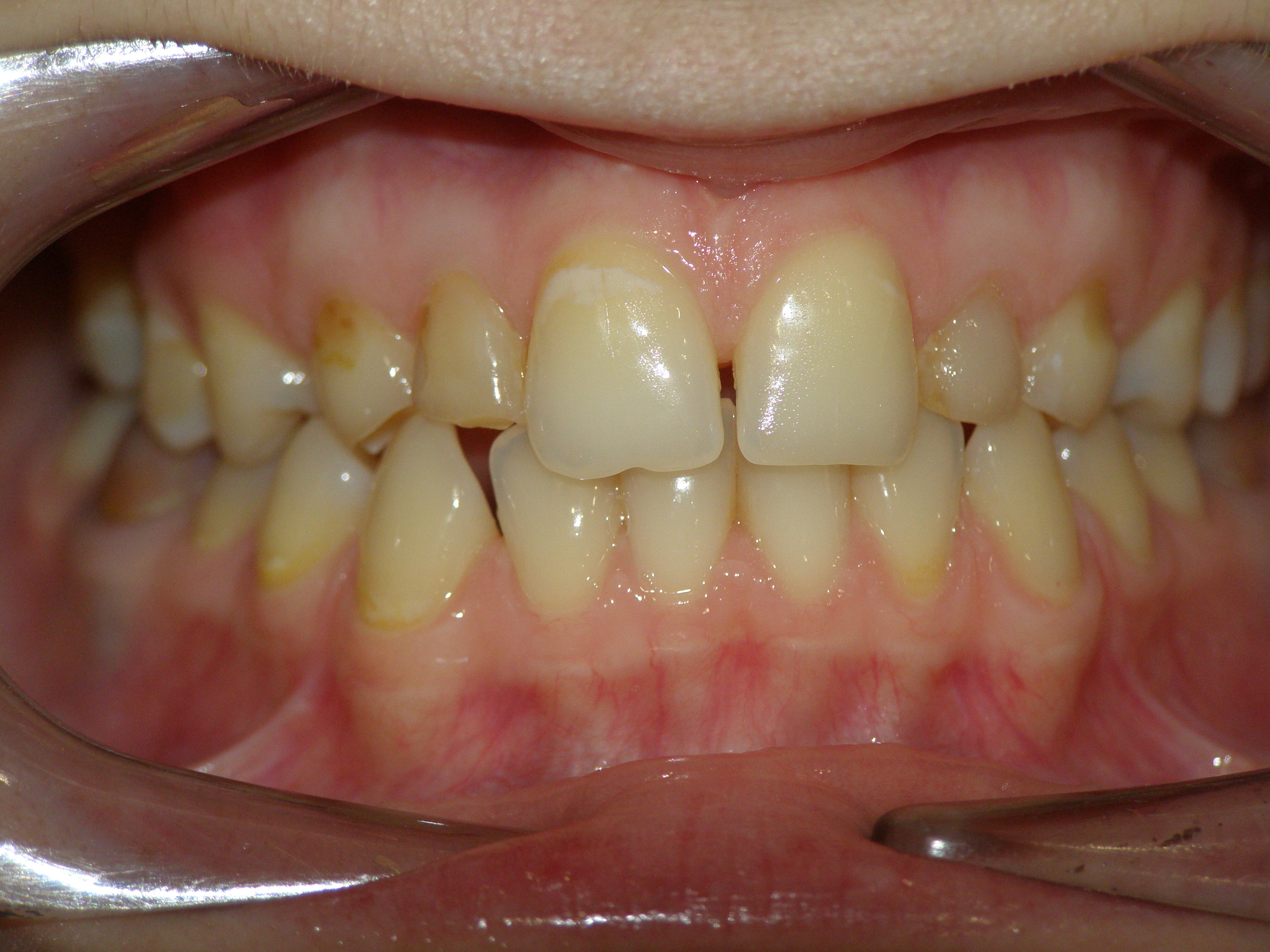
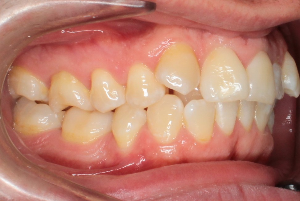
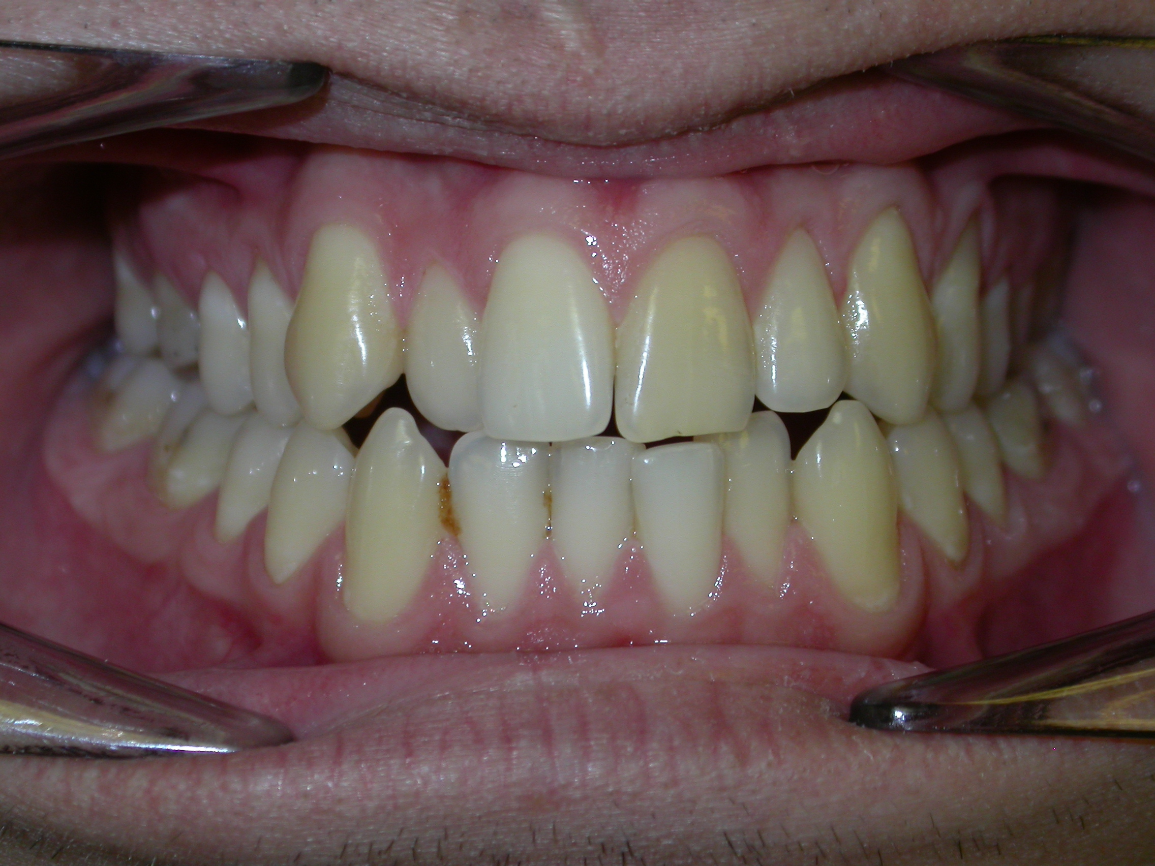
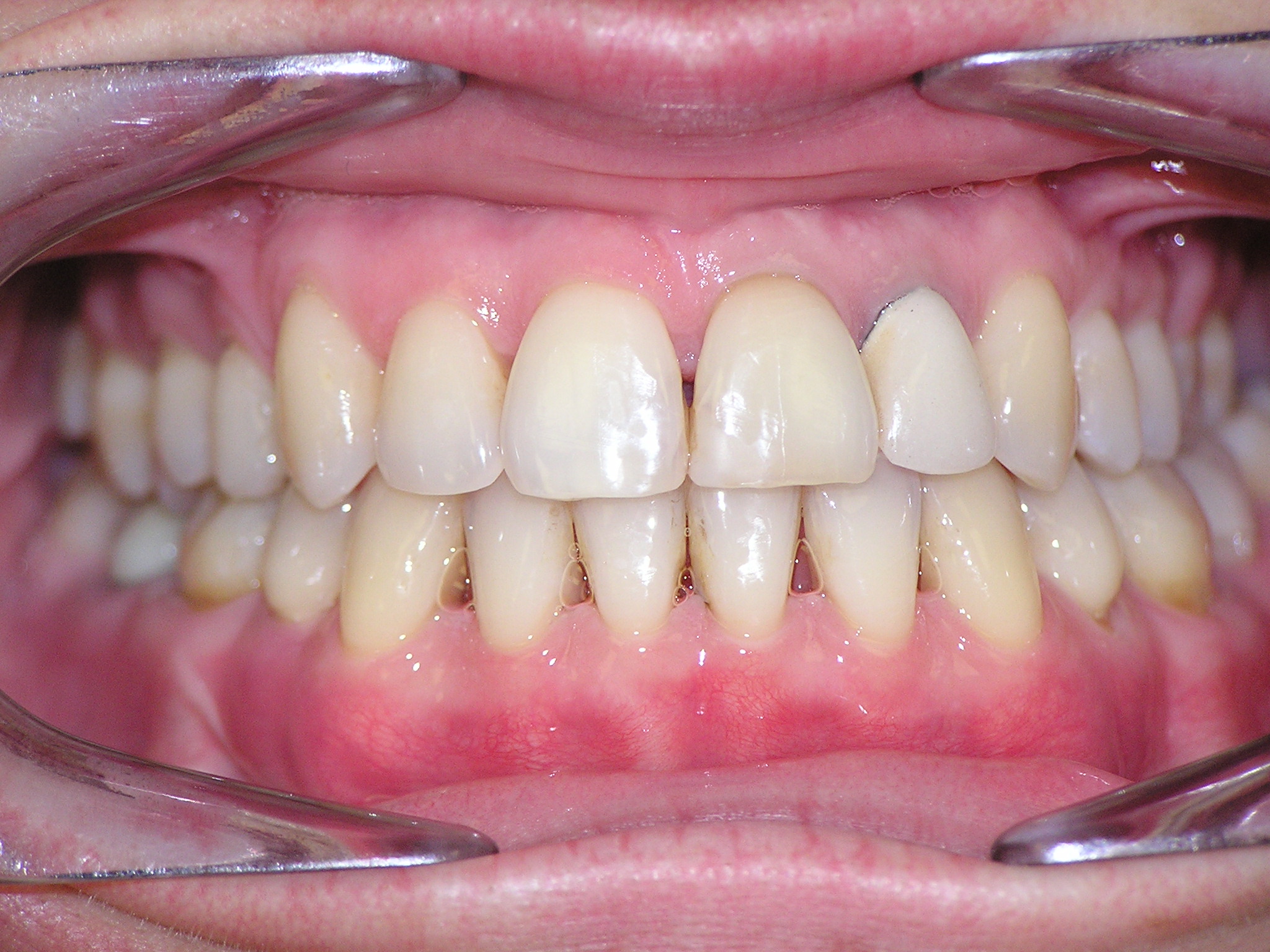
Фото лечения

Все работы

Возвращаем вам улыбку c 1998 года

Хорошее место 2025
Выбор пользовталей Яндекса
Пациенты Пациенты Пациенты Пациенты Пациенты Пациенты Пациенты Пациенты Пациенты Пациенты Пациенты
47 тыс+
Идеальных улыбок
Смотреть кейсы
Все отзывы

Независимый рейтинг

Нас рекомендуют 92% наших пациентов, оставляя отзывы на независимых порталах и в соцсетях. Клиника не может на них повлиять, поэтому они так ценны для нас.

Отзывы

Яндекс
Laura

Laura

19.06.2025

Хочу выразить благодсрность за теплый прием и высокое качество обслуживания в клинике! Чувствуется желание уделить внимание пациенту с учетом индивидуальных особеннлстей возникшей проблемы у пациента и психолически настроить пациента к предстоящей имплантации. Хочу выразить благодарность хирургу- имплантологу Медведеву Роману Сергеевичу за высокий профессионализм и чуткое отношение к пациенту во время проведения операции и во весь период до установки протеза на импланты! Врач от Бога! Никаких осложнений, синяков и прочее...Буду рекомендовать своим знакомым! Спасибо большое всему персоналу клиники за слаженную работу!

Ответы на частые вопросы

Какая цена на лечение системой капп Инвизилайн?
Цена на лечение системой капп Инвизилайн рассчитывается индивидуально для каждого пациента, так как она зависит от планируемой продолжительности коррекции и сложности ортодонтической патологии.
Какие случаи не подходят для лечения капами Инвизилайн?
Капы Инвизилайн подходят для большинства случаев коррекции прикуса, но есть некоторые сложные ортодонтические проблемы, для которых могут потребоваться традиционные брекеты. Ортодонт проведет диагностику и определит оптимальное решение для вашего случая.
Могу ли я пить воду во время ношения кап Инвизилайн?
Да, вы можете пить воду без необходимости снятия кап Инвизилайн.
Какие преимущества кап Инвизилайн перед традиционными брекетами?
Капы Инвизилайн обладают невидимым внешним видом, удобством использования, легкостью чистки и возможностью снятия при необходимости.
Можно ли снимать капы Invisalign самостоятельно?
Да, капы Invisalign легко снимаются и одеваются самостоятельно для еды и гигиены полости рта.
Как часто следует менять капы Инвизилайн?
Капы Инвизилайн рекомендуется менять примерно каждые 1-2 недели в соответствии с планом лечения, предложенным ортодонтом.
Что лучше капы или элайнеры?
Капы Invisalign и элайнеры - это различные торговые названия одного и того же прозрачного ортодонтического аппарата. Оба варианта представляют собой съемные прозрачные каппы, используемые для выравнивания зубов. Вопрос о том, какой вариант лучше, зависит от индивидуальных предпочтений и особенностей каждого пациента. Однако оба варианта обладают преимуществами перед традиционными металлическими брекетами, так как они менее заметны и обеспечивают больший комфорт во время лечения.
Сколько носят капы Invisalign?
Время ношения кап Invisalign может варьироваться в зависимости от сложности каждого конкретного случая. Обычно рекомендуется носить каппы Invisalign около 22 часов в сутки, снимая их только на время приема пищи и чистки зубов. Продолжительность лечения обычно составляет от нескольких месяцев до года.

Записаться на приём

Оставьте заявку, и мы свяжемся с вами в течение 5 минут

Адрес
ул. Большая Спасская, 10к1
Телефон
+7 (495) 125-25-20
Время работы
Пн-Сб с 10:00 до 21:00
Напишите нам: