• Комсомольская
  • Сухаревская
  • Проспект Мира
ул. Большая Спасская, 10к1
Пн-Сб с 10:00 до 21:00
ДентаЛюкс-М +7 (495) 125-25-20

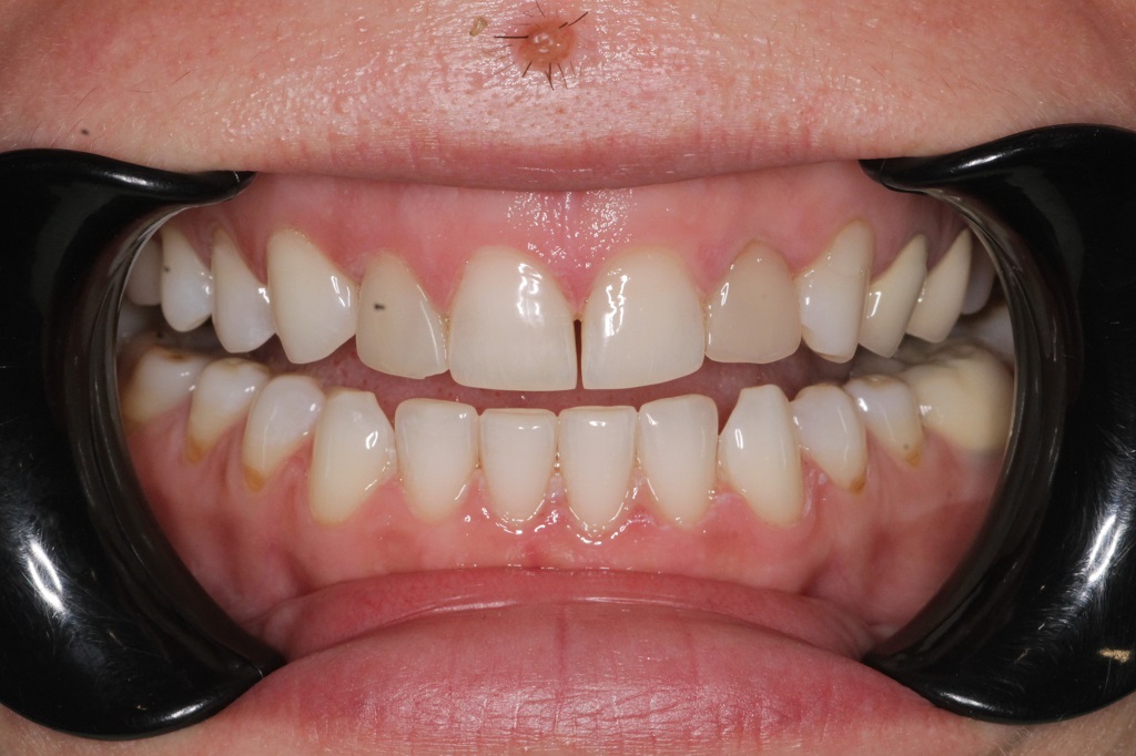
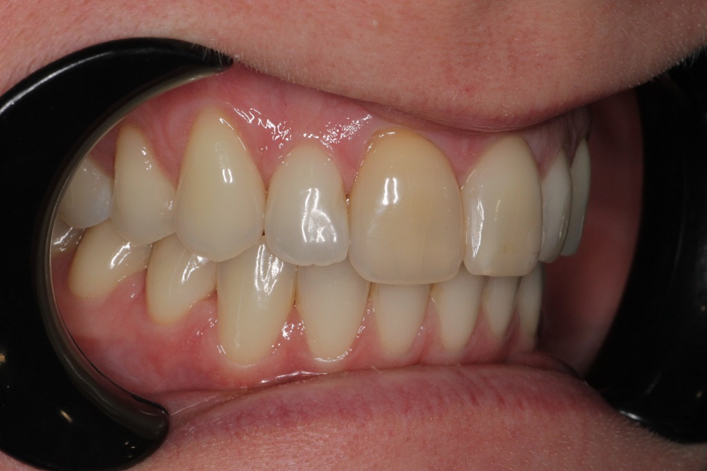
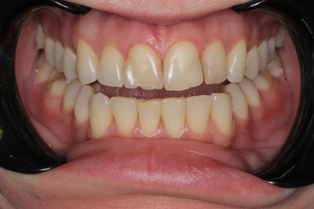
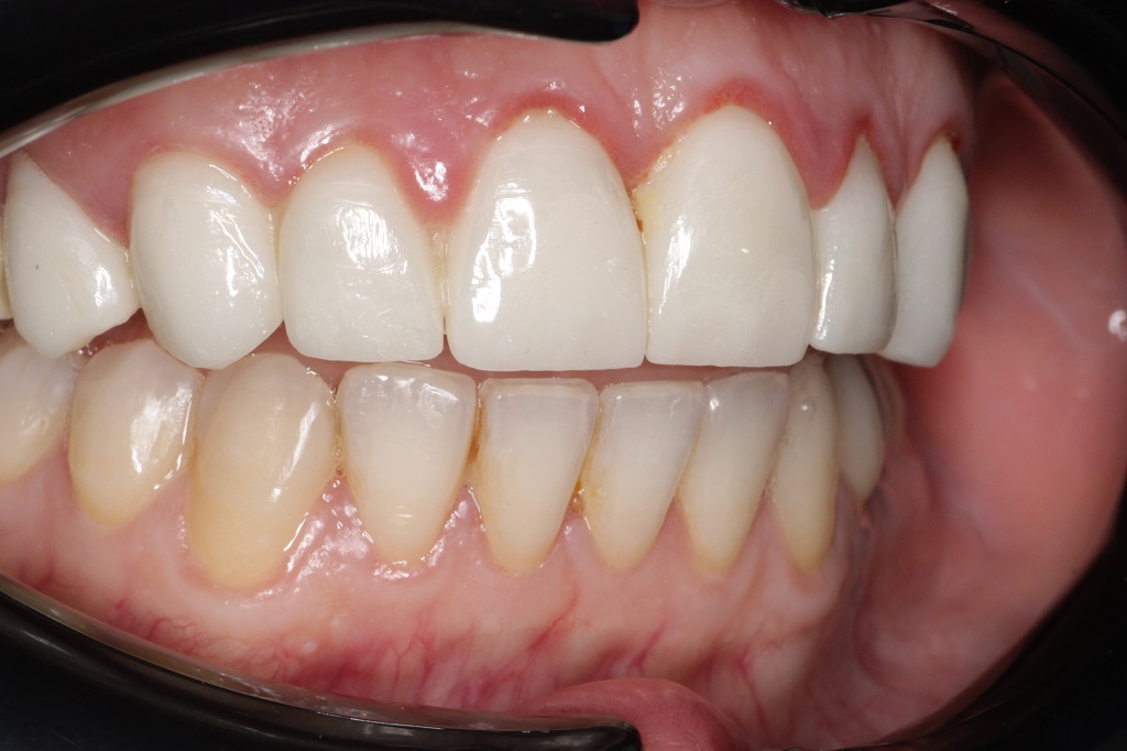
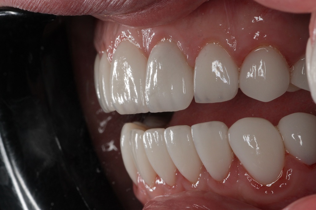
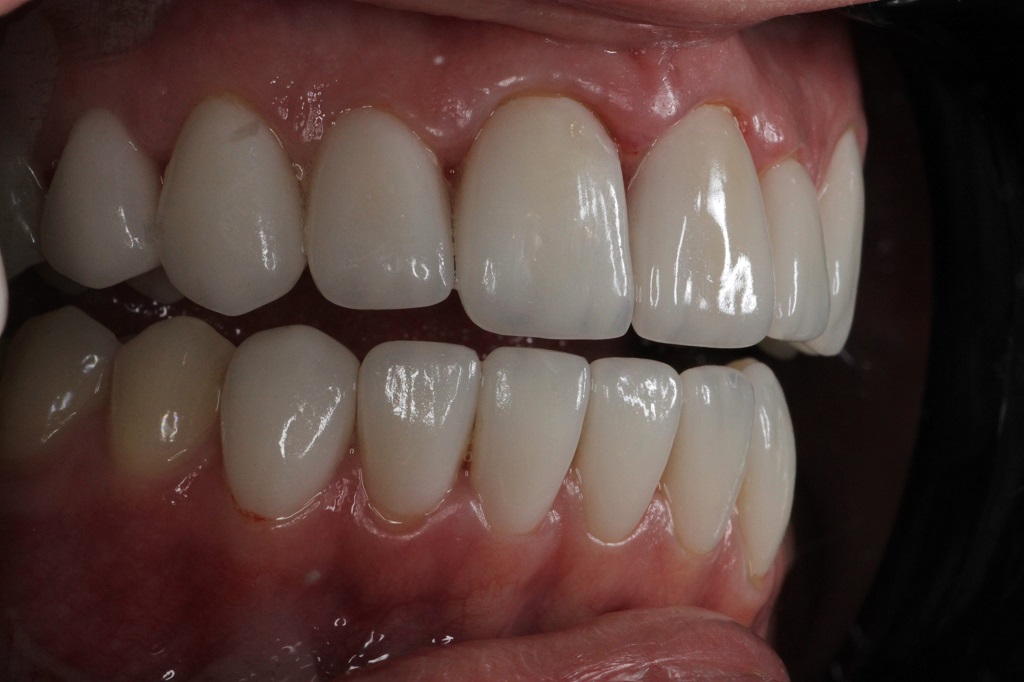
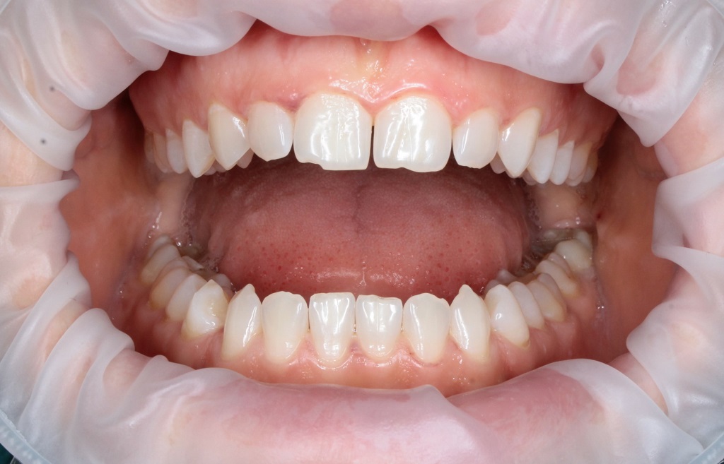
Люминиры — это ультратонкие керамические накладки, которые фиксируются на передней поверхности зубов для коррекции формы, цвета и симметрии улыбки. Метод применяется при стойком потемнении эмали, небольших сколах, диастемах и других эстетических дефектах при сохранённой структуре зуба. Клиническим условием установки является отсутствие выраженных нарушений прикуса и воспалительных заболеваний тканей пародонта. В отличие от классических виниров, люминиры чаще устанавливаются без значительной обработки эмали, что позволяет сохранить большую часть собственных тканей зуба. В стоматологии «Денталюкс-М» в Москве решение о целесообразности метода принимается после диагностики и оценки функциональной нагрузки.

  • Фиксируем цены

    Цены не меняются в процессе лечения

  • Налоговый вычет

  • Собственная лаборатория

Цена за люминиры за 1 зуб у нас конкурентоспособна и включает все этапы работы — от консультации и моделирования до подготовки и фиксации. Установка люминиров, цена которой может варьироваться в зависимости от сложности случая, является отличным решением для тех, кто хочет получить долгосрочный и эстетически привлекательный результат.

Для получения подробной информации о стоимости и записи на первичную консультацию, пожалуйста, свяжитесь с нашим администратором. Мы будем рады помочь вам на пути к идеальной улыбке.

Все виды протезирования зубов в клинике

Стоимость люминиров: цена установки люминиров

Наша цена
Средняя в Москве

Протезирование

  • Люминиры Creation

    49 000 ₽
    Средняя цена в Москве 55 000 ₽
Все цены

Выгода люминиров

Люминиры устанавливают без препарирования зубов, эмаль не повреждается, только протравливается кислотой, чтобы сделать поверхность шероховатой и обеспечить хорошую адгезию (прилипание) между зубом и накладкой.

Фторсодержащий цемент UltraBond Plus, на который их сажают, полезен для костной ткани. Тогда как под другие виды протезов зубная эмаль сильно стачивается, это болезненный процесс, а на незащищенный зуб, до того, как будут готовы постоянные накладки из керамики, приходится ставить временные, из композитных материалов.

Керамические виниры

Керамические виниры - это идеальное решение для тех, кто стремится к безупречной эстетике. Они восхитительно похожи на натуральные зубы, вплоть до мельчайших деталей. Особенно популярны пластины E-max, изготовленные из высокопрочной прессованной стеклокерамики, которая превосходит аналоги из фарфора по прочности.

Диоксид-циркониевые виниры

Диоксид-циркониевые виниры, несмотря на сложность обработки, всегда доставляют отличные результаты. Изделия из диоксида циркония высококачественные, прочные и имеют длительный срок службы. Циркониевые виниры практически неотличимы от естественных зубов.

Несъёмное протезирование

Несъёмное протезирование — это коронки, мостовидные конструкции и виниры, которые фиксируются на зубах или имплантах. Они не требуют снятия, обеспечивают комфорт при жевании и выглядят максимально естественно. Для изготовления применяются металлокерамика, диоксид циркония и прессованная керамика. Врач подбирает оптимальный материал исходя из клинической ситуации и пожеланий пациента. Такие протезы служат 10 лет и более при регулярной профилактике.

Композитные виниры

Композитные виниры отличаются быстротой установки. Они позволяют восстановить зубную эмаль всего за одно посещение, поэтому их также называют "реставрационными винирами". Однако срок службы таких изделий наименьший по сравнению с другими аналогами, их потребуется заменить через 5-7 лет.

Как проходит диагностика и почему это важно

Диагностика перед протезирование зубов включает первичный осмотр у стоматолога, рентгенологические исследования (в том числе КТ) и анализы крови, а также сбор анамнеза.

Первичный осмотр и сбор анамнеза

Стоматолог оценивает состояние полости рта, слизистых оболочек, выявляет сопутствующие заболевания (например, заболевания десен), аллергии, хронические болезни и принимаемые препараты

Первичный осмотр

Ортопантомограмма (ОПГ)

Панорамный снимок челюсти для общего понимания состояния зубов, челюстной системы и окружающих тканей.

Компьютерная томография (КТ)

Трехмерное сканирование для получения максимально точной информации о плотности, объеме и структуре костной ткани, а также о расположении нервов, пазух и корней соседних зубов.

Рентгенологические исследования

Анализы крови

Общий анализ крови (для выявления воспалений, анемии), биохимический анализ (уровень глюкозы, состояние почек и печени), анализы на ВИЧ, гепатиты, сифилис, группу крови, резус-фактор.

Коагулограмма

Анализ свертываемости крови, необходимый перед любой операцией.

Дополнительные анализы

По назначению врача могут потребоваться анализы на гормоны щитовидной железы и уровень витамина D3.

Лабораторные исследования

В каких случаях на зубы ставят люминиры?

Причин к установке люминиров может быть немало, вот некоторые из них:

  • Испорчен цвет эмали по естественным причинам или из-за долговременного приема лекарств, в частности, тетрациклина
  • Появление белых пятен (флюороз, от переизбытка фтора) или желтых – в результате химического воздействия на зубную эмаль (эрозия)
  • Появление на эмали темных пятен от пломб из старых материалов
  • Трещины или мелкие сколы, появившиеся в результате травмы или неудачного лечения
  • Большие промежутки между зубами, при наличии полного зубного ряда (тремы и диастемы)
  • Легкое искривление зубов, которые видны при улыбке

Противопоказания

Перед тем как поставить люминиры, необходимо устранить воспалительные процессы в полости рта.

Абсолютные

  • Отсутствие большого количества зубов (виниры не заменяют протезирование).
  • Сильное разрушение зубов, когда нет достаточного объема тканей для фиксации.
  • Невылеченные заболевания: активный кариес, пульпит, периодонтит.
  • Патологическая стираемость зубов в тяжелой форме.
  • Прямой прикус или обратный резцовый перекрытие (глубокий прикус), при котором происходит прямое травмирующее соприкосновение режущих краев нижних и верхних зубов.
  • Бруксизм (тяжелая форма ночного скрежетания зубами) — является одним из главных противопоказаний.

Относительные

  • Недостаточная гигиена полости рта. Установка виниров возможна после обучения гигиене и мотивации пациента.
  • Наличие старых, некачественных пломб в зоне улыбки. Требуется их замена.
  • Бруксизм (в легкой форме). Решается изготовлением защитной каппы на ночь.
  • Большие пломбы на вестибулярной (передней) поверхности зуба. Требуют особого подхода к препарированию и фиксации.
  • Небольшая скученность зубов или незначительные аномалии прикуса. Иногда виниры можно использовать в рамках "маскировки" после консультации с ортодонтом.
  • Живые зубы с крупной пульповой камерой. Препарирование может быть рискованным и требует щадящих методов.

Уход за люминирами

Учитывая все плюсы и минусы, следует понимать, – да, они прочные, могут выдерживать большие нагрузки, устойчивые к пищевым красителям, долго не теряют свой первоначальный вид и у них срок службы до 20 лет, но это вовсе не означает, что сразу можно начинать грызть орехи.
Катаев Антон Викторович

Катаев Антон Викторович

Хирург-имплантолог, Ортопед
Катаев Антон Викторович

Собственная лаборатория и премиальное качество материалов

Доступные цены, быстрые сроки изготовления и возможность оперативной корректировки достигаются благодаря эффективной работе собственной лаборатории и поставкам напрямую от производителя.

Лаборатория
Европейские
стандарты Лаборатория
Конструкции
любой сложности
Импортные
материалы Лаборатория
Из чего складывается стоимость

Изготовление и установка

Изготовление циркониевых виниров требует больше времени и дорогостоящего современного оборудования. Сначала создается прочный каркас из диоксида циркония, который покрывается керамической облицовкой. Точности прилегания конструкций и воссоздание идеальной формы зубов позволяют достичь инновационные технологии компьютерного моделирования. Установка виниров из циркония проходит сложнее, чем для керамики, и включает следующие этапы:

Этапы

  • Консультация и осмотр

    Врач-стоматолог проводит первичный осмотр полости рта пациента. Обсуждаются желания и ожидания пациента. Снимаются отпечатки зубов и делаются фотографии для детального анализа и планирования. Проводится оценка общего состояния зубов и десен.

  • Планирование и моделирование

    Изготавливаются временные модели люминиров для примерки. Пациенту показывают виртуальную модель его будущей улыбки. Врач и пациент обсуждают все детали, вносят необходимые коррективы.

  • Подготовка и изготовление люминиров

    В отличие от традиционных виниров, люминиры требуют минимальной подготовки зубов или вообще не требуют ее. Зубы тщательно очищаются от налета и зубного камня. Изготовление люминиров производится в специализированной лаборатории по индивидуальным слепкам и цифровым моделям. Процесс изготовления может занять несколько недель.

  • Примерка, фиксация и завершающий этап

    Установка люминиров продолжается следующим образом: при первом визите после изготовления, люминиры примеряются на зубы пациента. Если все устраивает пациента и врача, люминиры фиксируются на зубах с помощью специального стоматологического клея. Проверяется правильность прикуса и удобство. После фиксации, люминиры тщательно полируются. Врач дает рекомендации по уходу за новыми зубами. Назначается контрольный визит для оценки состояния люминиров и полости рта.

Люминиры Creation

Люминиры Creation — ультратонкие керамические пластины, изготовленные из уникальной керамики, которая обеспечивает долговечность и естественный внешний вид. Эти керамические люминиры отличаются высокой прочностью и эстетическими свойствами, что делает их идеальным выбором для тех, кто стремится к безупречной улыбке.

Процесс установки люминиров Creation включает использование ультратонких керамических пластин, которые идеально прилегают к поверхности зубов.

Эти пластины позволяют минимизировать вмешательство в структуру зубов, обеспечивая при этом отличное прилегание и комфорт для пациента. Благодаря их тонкости и прозрачности, люминиры для зубов Creation выглядят максимально естественно и эстетично. Если вы хотите сделать люминиры без обточки и получить красивую, здоровую улыбку, люминиры Creation — это отличный выбор.

Специалисты помогут вам на каждом этапе процесса, от консультации до окончательной установки, чтобы гарантировать превосходный результат и ваше удовлетворение.

Люминиры на передние зубы

Люминиры на передние зубы представляют собой ультратонкие керамические пластины, которые используются для улучшения внешнего вида передних зубов. Эти керамические люминиры обладают рядом особенностей, которые делают их идеальным выбором для создания красивой и естественной улыбки.
Медведев Роман Сергеевич

Медведев Роман Сергеевич

Главный врач, Хирург-имплантолог, Ортопед
Медведев Роман Сергеевич

Срок службы и гарантия

В клинике «Денталюкс-М» используются разные виды люминиров. Срок гарантии зависит от материала. Наш стоматологический центр сотрудничает только с теми компаниями, которые предоставляют пожизненную гарантию на каждый люминир.

  • 10 лет

    Гарантии на работу врача

  • Бесплатно

    Заменим протез в течении гарантийного срока

Керамические люминиры обладают высокой прочностью и долговечностью. Они устойчивы к пятнам и не подвержены изменению цвета со временем, что позволяет сохранять идеальную белизну улыбки на протяжении многих лет. Керамика, из которой изготовлены люминиры, обладает высокими эстетическими свойствами, благодаря чему они выглядят максимально естественно и привлекательно.

Подробнее о гарантиях

Аналоги

Керамические виниры

Керамические виниры. Изготавливаются из стеклокерамики по технологии E-max. Уступают в прочности циркониевым, но дают идеальный внешний вид зубам.
28 000 ₽
Подробнее
Керамические виниры

Композитные виниры

Композитные виниры. Доступная по стоимости альтернатива классическим винирам. Они не изготавливаются отдельно, а формируются в ротовой полости путем послойного нанесения композита.
7 500 ₽
Подробнее
Композитные виниры

Наши партнёры

  • Наши партнёры
  • Наши партнёры
  • Наши партнёры
  • Наши партнёры
  • Наши партнёры
  • Наши партнёры
  • Наши партнёры
  • Наши партнёры
Медведев Роман Сергеевич
Автор статьи

Медведев Роман Сергеевич

Главный врач, Хирург-имплантолог, Ортопед

Ведущие врачи Москвы

Собрали лучших специалистов своей области

Все врачи

Наши работы

Все работы

Возвращаем вам улыбку c 1998 года

Хорошее место 2026
Выбор пользовталей Яндекса
Пациенты Пациенты Пациенты Пациенты Пациенты Пациенты Пациенты Пациенты Пациенты Пациенты Пациенты
47 тыс+
Идеальных улыбок
Смотреть кейсы
Все отзывы

Независимый рейтинг

Нас рекомендуют 92% наших пациентов, оставляя отзывы на независимых порталах и в соцсетях. Клиника не может на них повлиять, поэтому они так ценны для нас.

Отзывы

Яндекс
Laura

Laura

19.06.2025

Хочу выразить благодсрность за теплый прием и высокое качество обслуживания в клинике! Чувствуется желание уделить внимание пациенту с учетом индивидуальных особеннлстей возникшей проблемы у пациента и психолически настроить пациента к предстоящей имплантации. Хочу выразить благодарность хирургу- имплантологу Медведеву Роману Сергеевичу за высокий профессионализм и чуткое отношение к пациенту во время проведения операции и во весь период до установки протеза на импланты! Врач от Бога! Никаких осложнений, синяков и прочее...Буду рекомендовать своим знакомым! Спасибо большое всему персоналу клиники за слаженную работу!

Ответы на частые вопросы

Можно ли снять накладки при необходимости?

Конструкция является долговременной, но при показаниях может быть заменена. Вопрос о снятии или замене решается после осмотра и оценки состояния зубов.

Можно ли изменить цвет улыбки с помощью этого метода?

Да, метод позволяет скорректировать оттенок зубов. Цвет подбирается индивидуально с учётом особенностей лица и естественного тона эмали.

Сколько служат такие накладки?

Средний срок службы составляет 10–15 лет и более. Продолжительность зависит от прикуса, жевательной нагрузки и соблюдения рекомендаций по уходу.

Подходят ли люминиры при чувствительных зубах?

Решение принимается после диагностики. При выраженной чувствительности или истончённой эмали врач может предложить альтернативные методы восстановления.

Нужно ли обтачивать зубы перед установкой?

В большинстве случаев значительная обработка зубов не требуется. Конструкция бюгельного протеза позволяет сохранить здоровые ткани.

Особенности:

  • используются щадящие методы фиксации
  • толщина элементов минимальна
  • препаровка проводится только при необходимости

Это делает бюгельное протезирование более бережным по сравнению с классическими мостами.

Чем отличаются композитные люминиры?
Композитные люминиры, также известные как компониры, отличаются от традиционных керамических люминиров материалом изготовления и методом установки. Компониры изготавливаются из композитного материала, аналогичного тому, который используется для пломбирования зубов. Они обычно устанавливаются за одно посещение стоматолога, что делает процесс быстрее и дешевле по сравнению с керамическими люминирами. Однако, композитные люминиры могут быть менее долговечными и устойчивыми к пятнам по сравнению с их керамическими аналогами.
Сколько времени занимает установка люминиров?
Установка люминиров обычно занимает несколько посещений к стоматологу. На первом этапе проводится консультация, осмотр, и снимаются слепки зубов. Затем, в специализированной лаборатории изготавливаются индивидуальные люминиры, что может занять от двух до четырех недель. После этого производится примерка и окончательная фиксация люминиров на зубах. В общей сложности, процесс установки может занять от трех до шести недель, в зависимости от сложности случая и графика пациента.
Можно ли ставить люминиры на кривые зубы?
Да, люминиры можно устанавливать на зубы с небольшими косметическими дефектами, включая некоторую кривизну. Однако, в зависимости от сложности кривизны, может потребоваться предварительная ортодонтическая коррекция.
Что дороже виниры или люминиры на зубы?
Обычно люминиры имеют более высокую стоимость по сравнению с винирами на зубы. Стоимость может различаться в зависимости от материалов, используемых при изготовлении и сложности процедуры.
Сколько носят люминиры для зубов?
Продолжительность ношения люминиров для зубов может варьироваться в зависимости от индивидуальных особенностей пациента и качества ухода за ними. Обычно люминиры обеспечивают долговечный результат и могут служить в течение длительного времени.
Можно ли поставить люминир на один зуб?
Да, возможно установить люминир на один зуб. Люминиры могут применяться как для одного зуба, так и для нескольких зубов, в зависимости от потребности пациента.
Сколько стоят люминиры зубы в зоне улыбки?
Цена на люминиры для зубов в зоне улыбки зависит от количества зубов, которые требуют коррекции. Ориентировочно, стоимость для зон улыбки будет варьироваться в зависимости от числа зубов и их состояния.
Люминиры цена за 1 зуб?
Стоимость одного люминира составляет 49 000 рублей.

Записаться на приём

Оставьте заявку, и мы свяжемся с вами в течение 5 минут

Адрес
ул. Большая Спасская, 10к1
Телефон
+7 (495) 125-25-20
Время работы
Пн-Сб с 10:00 до 21:00
Напишите нам: