Москва, ул. Большая Спасская, 10к1
Комсомольская Сухаревская Проспект Мира
Время работы: понедельник — суббота с 10:00 до 21:00
230 000 ₽
без доплат
В акцию входит:

Многие люди в мире сталкиваются с проблемой нарушения прикуса, но далеко не каждый понимает важность коррекции данного состояния. Правильное расположение зубов в полости рта и правильное смыкание челюстей гарантирует равномерное распределение жевательной нагрузки, исключение риска преждевременной потери зубов из-за их разрушения, а также нивелирует гипертонус лицевых мышц и излишнее напряжение суставов. Исправление у взрослых проводится путем назначения ортодонтического лечения.
Неправильным прикусом называют патологические изменения смыкания челюстей по причине челюстно-лицевых деформаций. Проявления:
Причинами развития неправильного расположения зубов являются:
Постановка диагноза «неправильный прикус» проводится врачом-ортодонтом с помощью изготовления диагностических моделей, КТ и панорамных снимков челюсти, а также ТРГ-снимков.
Существует две основных методики проведения процедуры:
Метод коррекции определяет врач, исходя из индивидуальной клинической картины.
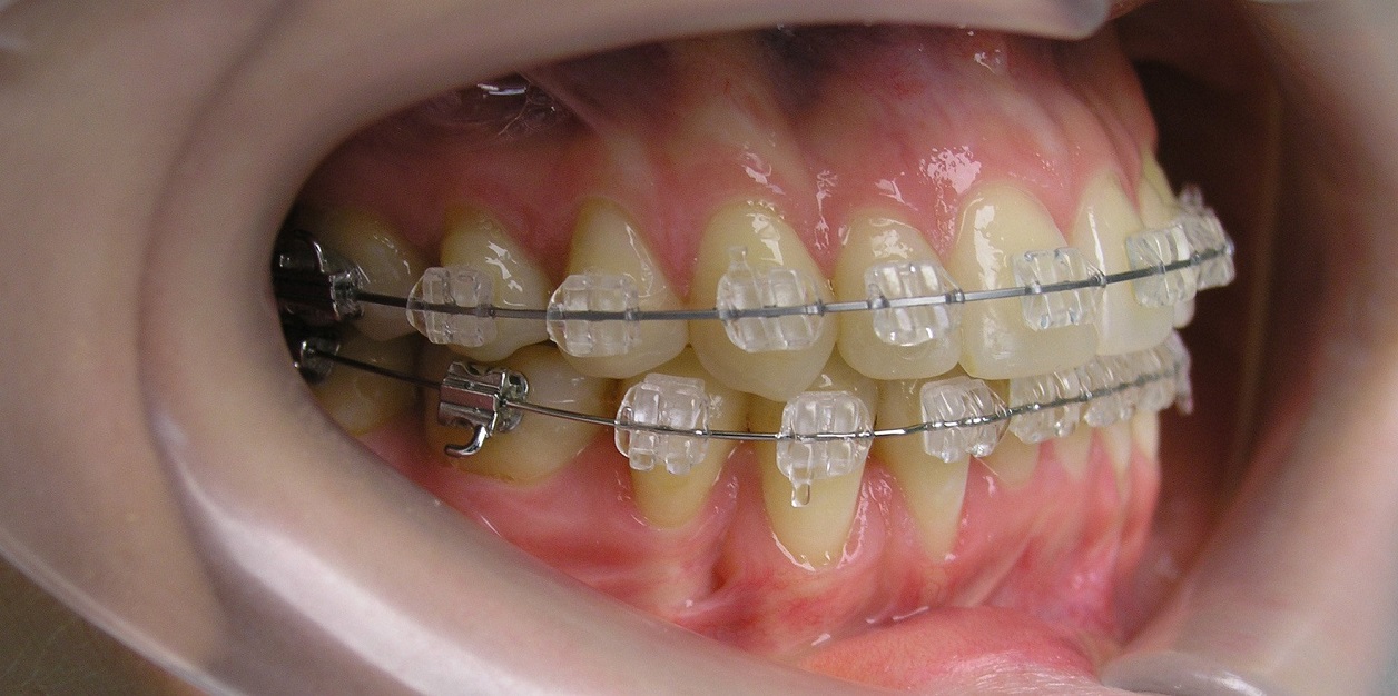
Исправление положения зубов с помощью ортодонтических конструкций у взрослых является одним из наиболее известных в ортодонтии методов коррекции нарушений. В современном мире ортодонтические системы системы стали своего рода модной деталью образа людей, заботящихся о своем внешнем виде, сейчас здоровые зубы – показатель имиджа. Брекеты имеют огромное разнообразие, от металлических до сапфировых. Системы различаются техническими параметрами размеров и расположения на зубах. В зависимости от состояния костной ткани, зубной эмали и корней стоматолог-ортодонт подбирает подходящие конструкции. Затем, совместно с пациентом, происходит выбор брекетов по бренду и материалу изготовления в соответствии с планом лечения.
По месту крепления на зубах ортодонтические системы делятся на вестибулярные (наружные) и лингвальные (внутренние).
Лингвальные фиксируются с внутренней стороны зубного ряда. Они незаметны при разговоре, не травмируют внутреннюю поверхность губ и щек, но из-за того, что язык ощущает их как инородное тело, могут проявляться проблемы с произношением. Помимо высокой эстетики, преимуществом таких систем является возможность изготовления по индивидуальным параметрам, а также высокая прочность.
Одним из методов коррекции зубного ряда без использования брекет-систем являются элайнеры. Это капы прозрачного цвета, которые надеваются на зубы и постепенно выравнивают их в нужном направлении. Исправление элайнерами у взрослых возможно только в случаях патологий средней и легкой тяжести. Преимущества:
Из недостатков можно назвать ношение изделий не менее 22 часов в сутки, а при извлечении конструкции многие пациенты забывают установить ее обратно, что делает срок лечения более долгим.
Чаще всего, пациенты во взрослом возрасте обращаются в клиники для коррекции положения зубов, чтобы улучшить эстетику улыбки и избавиться от психологических комплексов. Но игнорирование проблемы неправильного смыкания челюстей приводит к гораздо более серьезным последствиям, чем непривлекательный внешний вид зубов. Это:
Невозможно дать однозначный ответ, какие ортодонтические аппараты окажутся более эффективными в каждом конкретном случае. Это определяет врач стоматолог-ортодонт после обследования при составлении плана лечения. Например, в сложных случаях патологических изменений прикуса элайнеры будут неэффективны, а при коррекции отдельного сегмента зубного ряда их использование будет более рациональным.
Цены на ортодонтическое лечение всегда различны и зависят от:
В стоматологии «DENTALUX-M» услуга ортодонтического лечения предлагается по цене от 11 500 до 230 000 рублей в зависимости от тяжести патологии и типа лечения.
Трехмерное рентгенологическое исследование одной челюсти с записью на СD диск
от 2000 руб.
Коррекция сплит-шины
5000 руб.
Металлическая брекет-система ТИНО (1 зубной ряд)
13000 руб.
Брекеты Damon Q (1 зубной ряд)
54000 руб.
Брекеты Damon Clear (1 зубной ряд)
89000 руб.
Каппы 3D Smile (два зубных ряда)
125000 руб.
Flexiligner Light каппы
от 85000 руб.
Добро пожаловать в стоматологию "Денталюкс-М"! Представляем Капы 3D Smile - идеальное решение для преобразования вашей улыбки за считанные недели. Эти невидимые и комфортные прозрачные каппы позволят вам чувствовать себя уверенно во время лечения, а результат вас приятно удивит!
Капы 3D Smile - инновационный метод коррекции зубов. Они аккуратно устанавливаются на ваши зубы, и никто даже не заметит, что вы их носите. С их помощью можно решить множество проблем, таких как кривые зубы, разрывы и промежутки. Капы для выравнивания зубов 3D Smile обеспечивают постоянный и нежный пресс, что делает процесс коррекции максимально комфортным и эффективным.
Их легко снимать и надевать, что делает их подходящими для активного образа жизни. Вы можете наслаждаться вашими любимыми продуктами, так как они не создают никаких ограничений в питании. Кроме того, вы сможете поддерживать отличную гигиену полости рта, так как их можно легко снять для чистки.
Добро пожаловать в стоматологию "Денталюкс-М" – ваш путь к прекрасной улыбке и здоровью зубов!
Лингвальные брекеты – это передовые решения для выравнивания зубов, которые полностью скрыты с внешней стороны, обеспечивая максимальный комфорт и эстетичность.
Мы предоставляем индивидуальный подход, мягкие дуги и небольшие брекеты, что минимизирует дискомфорт и раздражение во время ношения, обеспечивая комфортный опыт лечения.
Установка лингвальных брекетов проводится с внутренней стороны зубов, что делает их практически незаметными для окружающих. Вы можете улыбаться с уверенностью в любой ситуации!
Добро пожаловать в клинику «ДентаЛюкс-М», где исправление прикуса проводится с учётом современных стандартов ортодонтического лечения. Мы помогаем пациентам всех возрастов достичь здорового прикуса, правильного положения зубов и красивой улыбки. Наши специалисты имеют обширный клинический опыт и подбирают оптимальный план лечения с учётом индивидуальных особенностей.
В зависимости от диагноза мы предлагаем различные методы коррекции — от классических брекетов до почти незаметных капп. Выравнивание зубов осуществляется комфортно, безболезненно и под постоянным контролем врача-ортодонта. Мы стремимся не только к эстетическому результату, но и к восстановлению правильной функции челюстной системы.
Исправление прикуса положительно влияет на здоровье полости рта: устраняется неравномерная нагрузка на зубы, улучшается дикция, предотвращаются проблемы с дёснами и височно-нижнечелюстным суставом. Это инвестиция в ваше здоровье и уверенность на годы вперёд.
При необходимости возможно проведение хирургического этапа — особенно в случаях выраженных зубочелюстных аномалий. В «ДентаЛюкс-М» подобные операции выполняются под наблюдением опытных хирургов совместно с ортодонтами. После вмешательства пациенту может быть назначено ношение специальных конструкций для закрепления результата и нормализации прикуса.
Хотите узнать, сколько стоит исправление прикуса в вашем случае? Цена формируется на основе выбранной методики, длительности лечения и применяемых материалов. На первичной консультации врач составит план и расскажет о возможных вариантах терапии.
Добро пожаловать в мир совершенных улыбок с "Денталюкс-М" и брекетами Damon! Улыбнитесь беззаботно! "Денталюкс-М" - ваш надежный партнер на пути к совершенной улыбке. Забудьте о несовершенствах вашей улыбки и доверьтесь нашей команде экспертов стоматологии. С богатым опытом и передовыми технологиями, мы с радостью поможем вам решить все проблемы со зубами.
Смело улыбнитесь с уверенностью! Брекеты Damon - это инновационное решение для исправления зубных аномалий. Без металлических дуг и эластичных креплений, они обеспечивают максимальный комфорт во время ношения и сокращают время лечения. Забудьте о неудобствах и наслаждайтесь процессом достижения идеальной улыбки.
Почему "Денталюкс-М" лучший выбор для вашей улыбки? Опытные стоматологи с фокусом на индивидуальных потребностях пациентов. Современные технологии и высокоточное оборудование для оптимальных результатов. Приятная и дружелюбная атмосфера, чтобы вы чувствовали себя комфортно.
Добро пожаловать в стоматологию "ДентаЛюкс-М" – ваш путь к прекрасной улыбке и здоровью зубов! Керамические брекеты – инновационное решение для исправления неправильного прикуса, в том числе для передних зубов. Эти ортодонтические конструкции дарят вам возможность получить идеальную улыбку без заметных следов лечения. Мы предлагаем два типа керамических брекетов: самолигирующие и лигатурные, оба обеспечивают эстетичность и комфорт во время лечения.
Цены на установку керамических брекетов в нашей клинике адекватны и обеспечивают высокое качество лечения. Наши опытные врачи-ортодонты успешно решают проблемы дефекта прикуса любой сложности, включая передние зубы. Доверьтесь нам и получите уверенность в совершенной улыбке! Запишитесь на консультацию прямо сейчас и начните ваш путь к прекрасной улыбке с помощью керамических брекетов.