• Комсомольская
  • Сухаревская
  • Проспект Мира
ул. Большая Спасская, 10к1
Пн-Сб с 10:00 до 21:00
ДентаЛюкс-М +7 (495) 125-25-20
Лучшее современное решение для востановления зубов

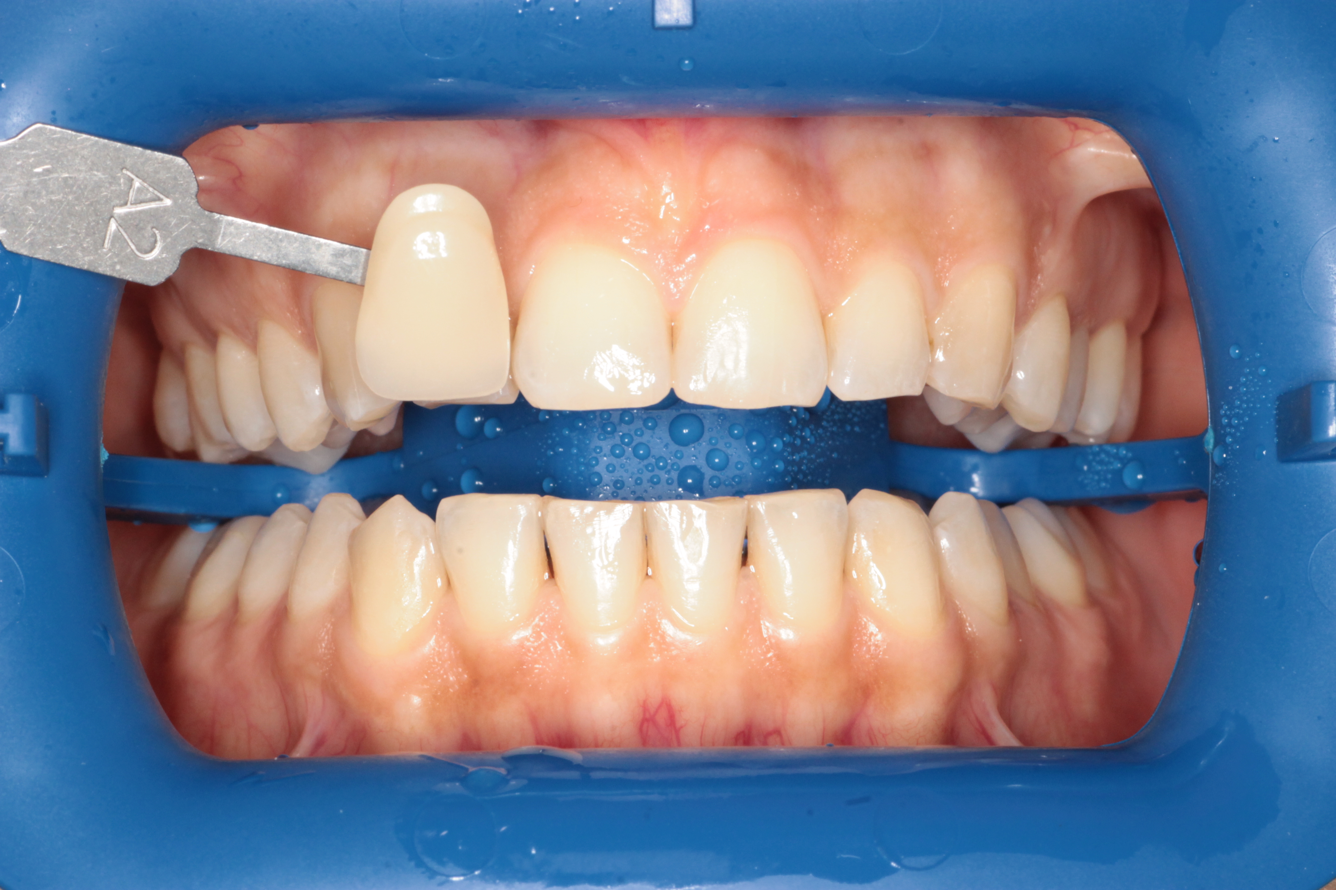
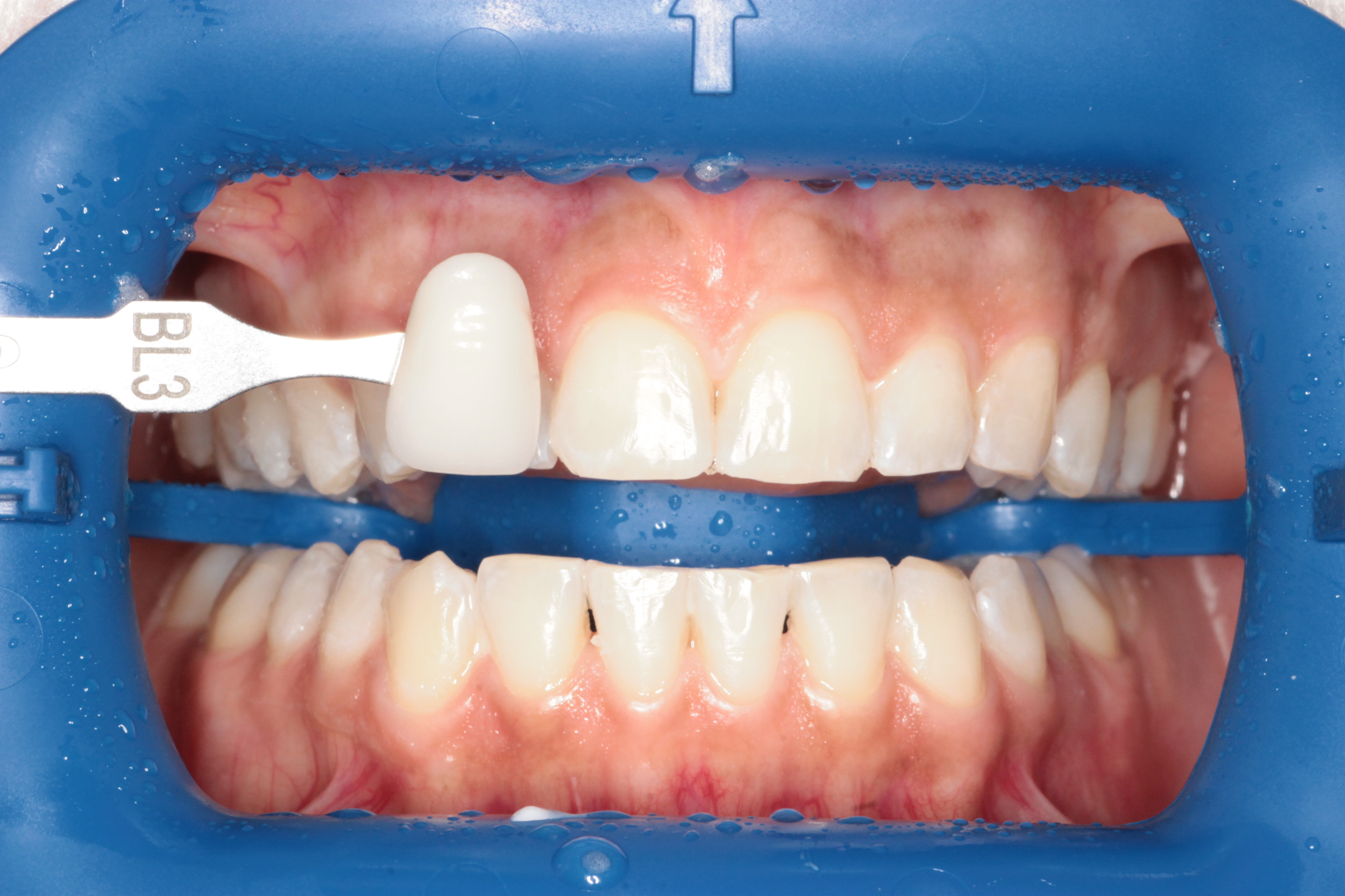
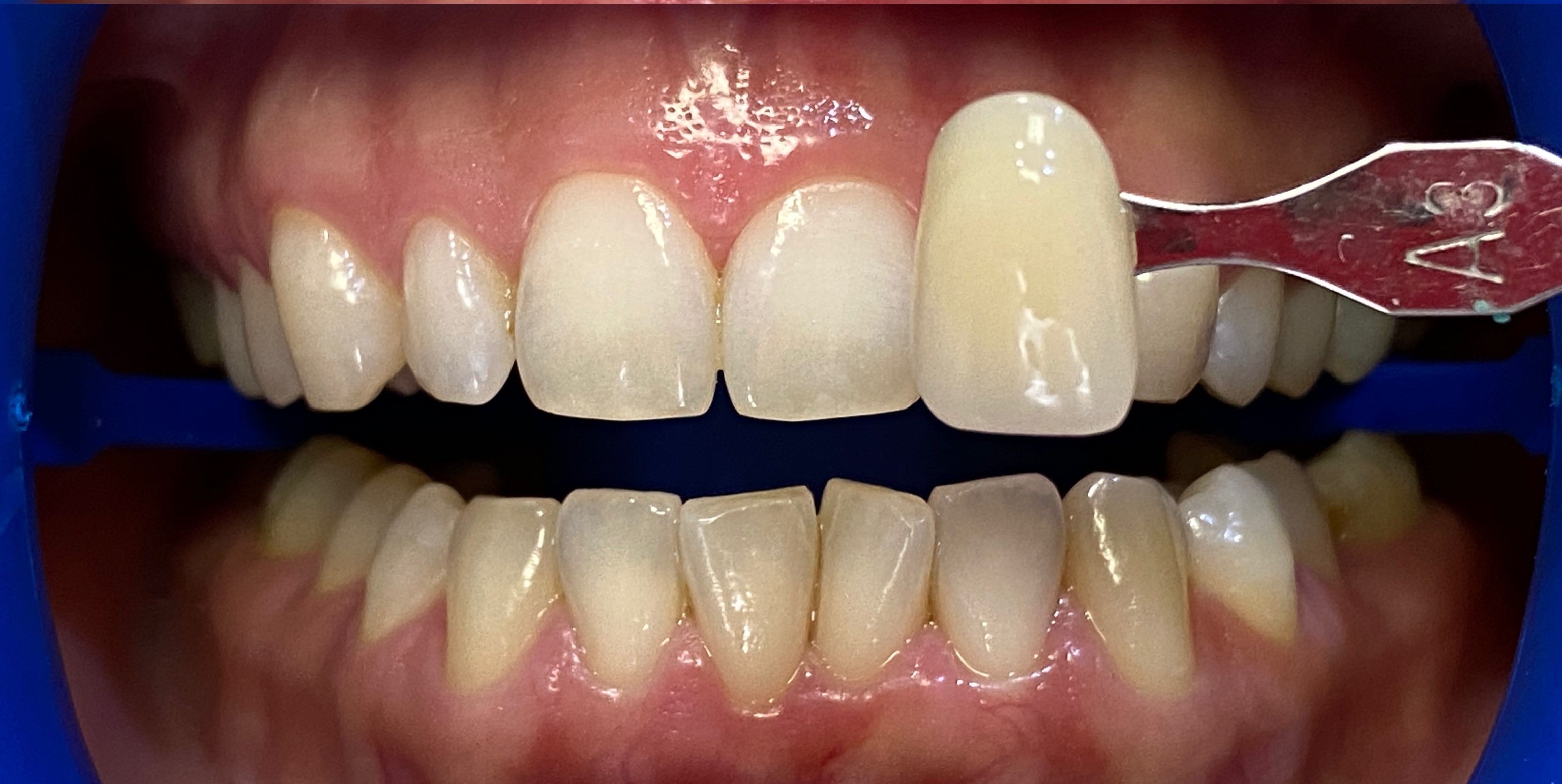
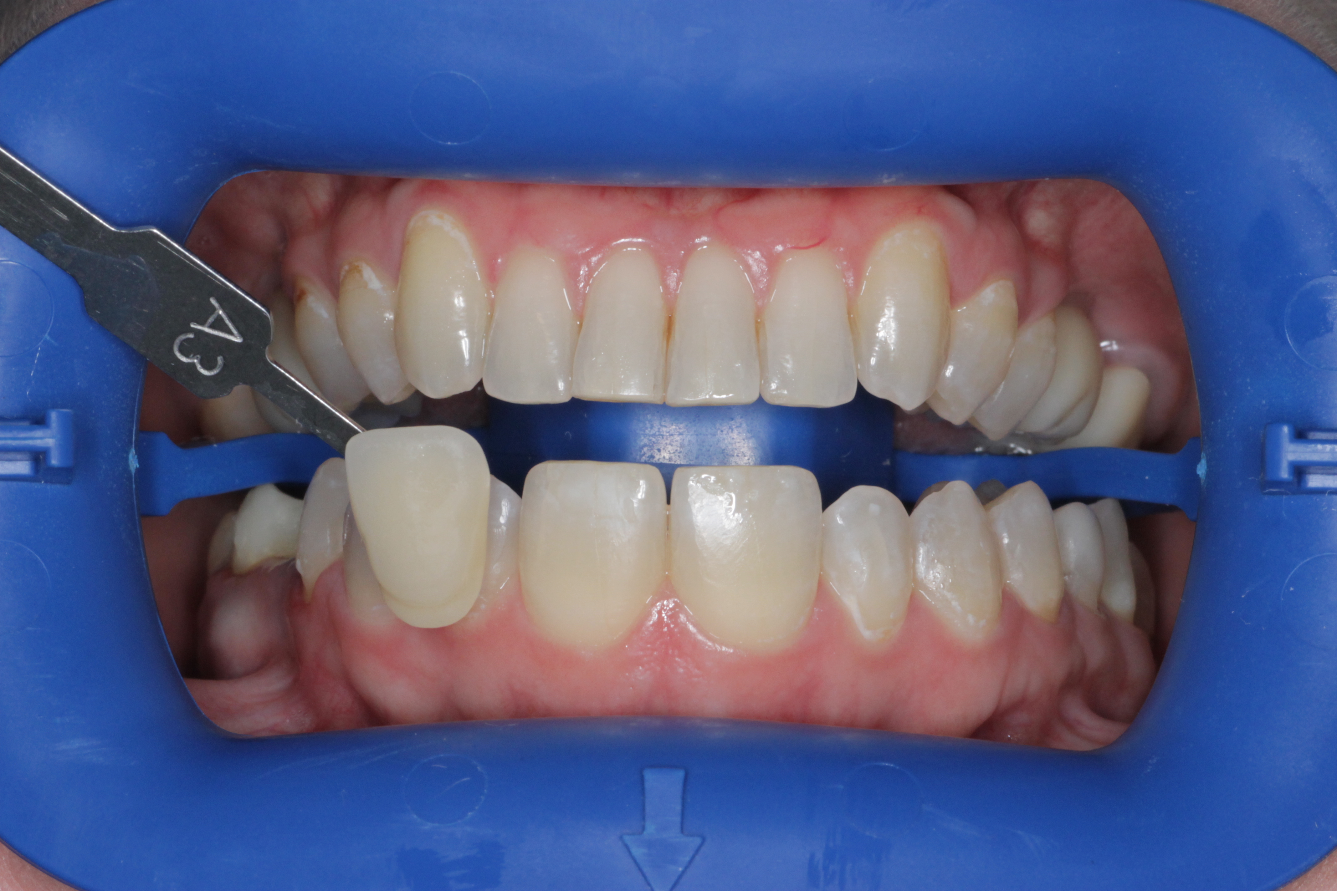
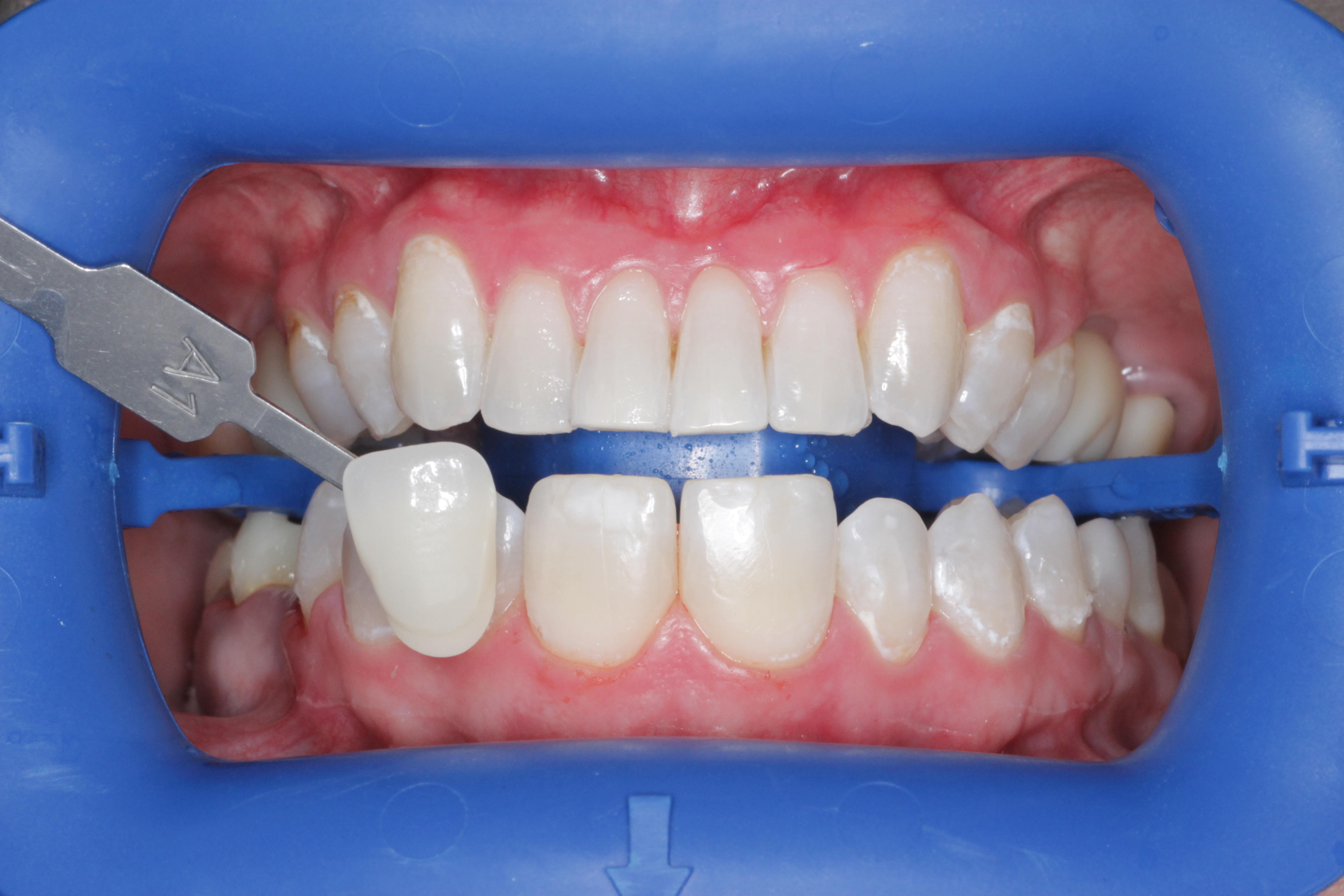
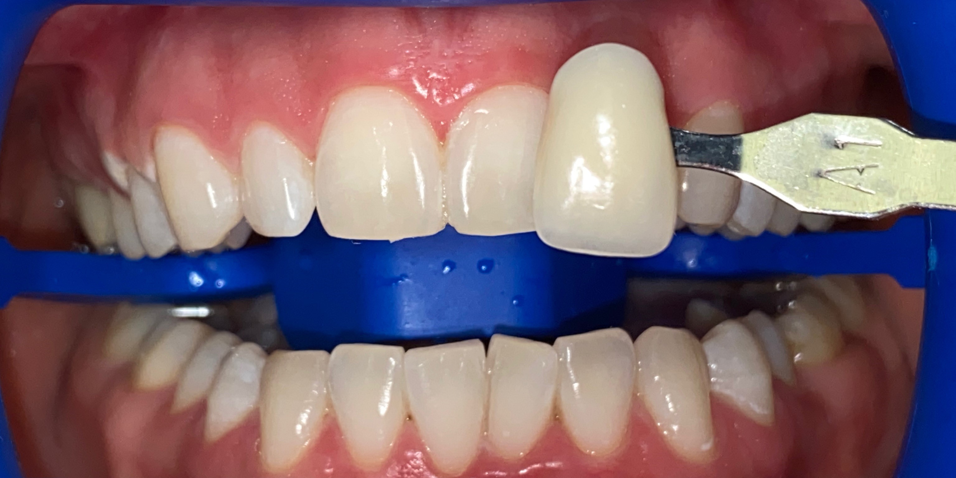
Отбеливание зубов ZOOM

Отбеливание зубов ZOOM

В стоматологии «DentaLux» мы используем только оригинальные гели ZOOM, что гарантирует качественное отбеливание зубов. Стоимость Zoom отбеливания вы можете узнать на странице цены наших услуг. Сумма за процедуру отличается в зависимости от того, собираетесь ли вы улучшить только зубной ряд на одной челюсти (как правило, верхней, где зубы видны при улыбке) или на обеих челюстях, что предпочтительнее, чтобы не было дисбаланса в цвете.

  • Фиксируем цены

    Цены не меняются в процессе лечения

  • Налоговый вычет

  • Собственная лаборатория

Запишитесь на консультацию через форму обратной связи, и опытный стоматолог подберет самую подходящую вам схему отбеливания Zoom 3. Цена процедуры будет зависеть от выбранного подхода и количества челюстей, которые требуется отбелить.

Цена отбеливания зубов

Наша цена
Средняя в Москве

Отбеливание зубов

  • Профессиональное отбеливание зубов клиническое ZOOM-4: 1 часовое за один визит (1 зубной ряд в линии улыбки)

    37 000 ₽
    Средняя цена в Москве 44 000 ₽
  • Профессиональное отбеливание зубов клиническое ZOOM-4 часовое за один визит ( 2 зубных ряда в линии улыбки)

    35 000 ₽
    Средняя цена в Москве 40 000 ₽
Все цены

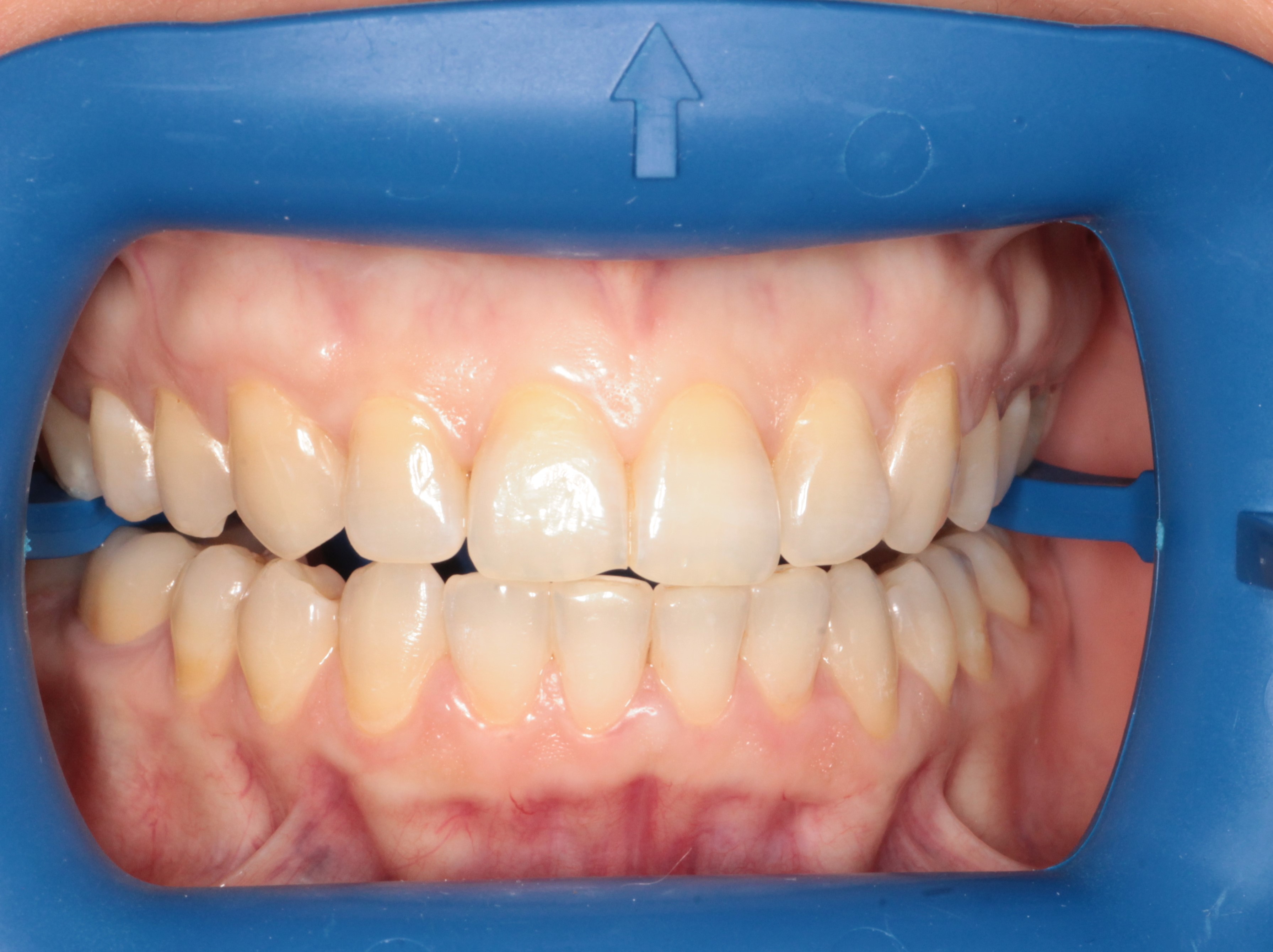
Почему зубы желтеют?

Зубная эмаль может темнеть и желтеть по ряду причин:

Употребление напитков и продуктов с красящими пигментами (кофе, чай, красное вино)

Курение

Прием некоторых лекарственных препаратов

Возрастные изменения

Несбалансированное питание

Генетическая предрасположенность.

Как проходит диагностика и почему это важно

Консультация и осмотр

Врач выясняет ваши цели и состояние здоровья, проверяет зубы на наличие кариеса, старых пломб и воспаления десен.

Первичный осмотр

Аппаратная диагностика и определение цвета

При необходимости делаются рентген-снимки для выявления скрытых проблем. Точный исходный цвет зубов фиксируется по специальной шкале.

Аппаратная диагностика

Профессиональная чистка и план лечения

Перед отбеливанием обязательно снимают зубной камень и налет. Врач согласовывает с вами метод отбеливания и прогнозируемый результат.

Профессиональная чистка и план лечения

Отбеливание зубов системой Zoom

Отбеливание зубов системой Zoom – одна из самых популярных процедур для получения белоснежной улыбки. Профессиональное отбеливание зубов Zoom проводится с использованием специальной лампы и активного геля, содержащего до 35% перекиси водорода. Под воздействием света начинается процесс высвобождения активного кислорода, который проникает через эмаль в дентин и устраняет пигментацию. Результат – осветление зубов на 6-10 тонов всего за один сеанс.

Виды отбеливания зубов

Существует два основных типа отбеливания: домашний и профессиональный. Для домашнего отбеливания используются специальные химические средства, осветляющие эмаль. Методики, проводимые в условиях стоматологической клиники, в свою очередь подразделяются на:

Лазерное отбеливание

Химическое отбеливание

Ультразвуковое отбеливание

Фотоотбеливание отбеливание

Мнение стоматолога

Белоснежная улыбка – это лучшее украшение, которое придаст уверенность и поможет расположить к себе окружающих. Особенно важно иметь белые и красивые зубы для людей публичных профессий, ведь это уже необходимость. Профессиональное отбеливание зубов системой Zoom – это быстрый, безопасный и эффективный способ осветлить зубы без вреда для эмали и десен.
Габараева Наталия Валерьевна

Габараева Наталия Валерьевна

Стоматолог-терапевт микроскопист, Эндодонтист (реставратор), Стоматолог-хирург
Габараева Наталия Валерьевна

Собственная лаборатория и премиальное качество материалов

Доступные цены, быстрые сроки изготовления и возможность оперативной корректировки достигаются благодаря эффективной работе собственной лаборатории и поставкам напрямую от производителя.

Лаборатория
Европейские
стандарты Лаборатория
Конструкции
любой сложности
Импортные
материалы Лаборатория
Из чего складывается стоимость

Этапы отбеливания ZOOM

Перед процедурой отбеливание зубов аппаратом zoom обязательны подготовительные мероприятия, они помогают добиться ожидаемого и долгосрочного эффекта.

Этапы

  • Профессиональная чистка зубов с завершающей реминерализацией эмали

  • Покрытие эмали специальным гелем, для уменьшения чувствительности

  • Изолирование губ, десен коффердамом или другим способом для защиты от попадания на слизистые активного вещества

  • Сушка зубной поверхности, нанесение отбеливающего геля

  • Засвечивание лампой обработанных зубов (возможно в несколько этапов)

  • Завершающее нанесение реминерализирующего состава

Особенности ухода после отбеливания

Чтобы закрепить эффективность отбеливания ZOOM, на протяжении недели после него не рекомендуется:

  • Курить (сигары, сигареты, в том числе – электронные)
  • Употреблять напитки или продукты, которые могут привести к окрашиванию эмали
Оганесян (Мкртчян) Каринэ Егиевна

Оганесян (Мкртчян) Каринэ Егиевна

Стоматолог–ортодонт, Детский стоматолог
Оганесян (Мкртчян) Каринэ Егиевна

Популярные виды процедур отбеливания

Лазерное отбеливание зубов

Отбеливание лазером проводится посредством диодного луча, который активизирует действие особого геля, нейтрализующего зубной налет за счет расщепления белковых соединений.
25 000 ₽
Подробнее
Лазерное отбеливание зубов

Отбеливание зубов ZOOM

В стоматологии «DentaLux» мы используем только оригинальные гели ZOOM, что гарантирует качественное отбеливание зубов
37 000 ₽
Подробнее
Отбеливание зубов ZOOM

Холодное отбеливание зубов

Оно отличается от других методик применением особых ламп, не излучающих тепло. В результате осветление зубов на 5-12 тонов происходит без риска получить ожог ротовой слизистой или раздражение десен.
15 000 ₽
Подробнее
Холодное отбеливание зубов

Внутриканальное отбеливание зубов

В клинике "ДентаЛюкс-М" стоимость процедуры внутриканального отбеливания зубов зависит от сложности случая и количества сеансов, необходимых для достижения желаемого результата.
1 000 ₽
Подробнее
Внутриканальное отбеливание зубов

Наши партнёры

  • Наши партнёры
  • Наши партнёры
  • Наши партнёры
  • Наши партнёры
  • Наши партнёры
  • Наши партнёры
  • Наши партнёры
  • Наши партнёры
Габараева Наталия Валерьевна
Автор статьи

Габараева Наталия Валерьевна

Стоматолог-терапевт микроскопист, Эндодонтист (реставратор), Стоматолог-хирург

Ведущие врачи Москвы

Собрали лучших специалистов своей области

Все врачи

Возвращаем вам улыбку c 1998 года

Хорошее место 2026
Выбор пользовталей Яндекса
Пациенты Пациенты Пациенты Пациенты Пациенты Пациенты Пациенты Пациенты Пациенты Пациенты Пациенты
47 тыс+
Идеальных улыбок
Смотреть кейсы
Все отзывы

Независимый рейтинг

Нас рекомендуют 92% наших пациентов, оставляя отзывы на независимых порталах и в соцсетях. Клиника не может на них повлиять, поэтому они так ценны для нас.

Отзывы

Яндекс
Laura

Laura

19.06.2025

Хочу выразить благодсрность за теплый прием и высокое качество обслуживания в клинике! Чувствуется желание уделить внимание пациенту с учетом индивидуальных особеннлстей возникшей проблемы у пациента и психолически настроить пациента к предстоящей имплантации. Хочу выразить благодарность хирургу- имплантологу Медведеву Роману Сергеевичу за высокий профессионализм и чуткое отношение к пациенту во время проведения операции и во весь период до установки протеза на импланты! Врач от Бога! Никаких осложнений, синяков и прочее...Буду рекомендовать своим знакомым! Спасибо большое всему персоналу клиники за слаженную работу!

Записаться на приём

Оставьте заявку, и мы свяжемся с вами в течение 5 минут

Адрес
ул. Большая Спасская, 10к1
Телефон
+7 (495) 125-25-20
Время работы
Пн-Сб с 10:00 до 21:00
Напишите нам: