• Комсомольская
  • Сухаревская
  • Проспект Мира
ул. Большая Спасская, 10к1
Пн-Сб с 10:00 до 21:00
ДентаЛюкс-М +7 (495) 125-25-20

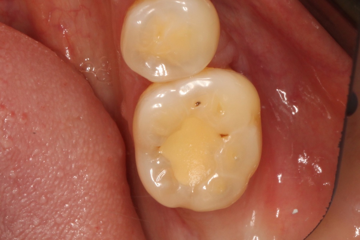
Пломбирование зуба — это базовый метод лечения кариеса и восстановления повреждённых тканей зуба. Во время процедуры врач удаляет поражённые участки, обрабатывает полость и устанавливает пломбу, которая возвращает зубу форму и защищает его от дальнейшего разрушения. Современные материалы позволяют добиться прочности и естественного внешнего вида, особенно при лечении передних зубов.

Поставить пломбу на зуб цена зависит от материала, глубины поражения и объёма работы. Стоимость пломбирования при лечении кариеса или каналов формируется индивидуально: учитывается количество каналов, необходимость дополнительной обработки и выбранный тип пломбировочного материала. Например, самый доступный вариант — стеклоиономерный цемент (Fuji, Adgesor), который можно установить от 2 400 ₽. Фотополимерная пломба стоит примерно в 2 раза дороже, но при этом служит до 3 раз дольше и выглядит более эстетично.

Цена на пломбирование каналов всегда выше, так как это более сложная процедура, требующая тщательной очистки и обработки корневой системы зуба. Такой этап занимает больше времени и требует высокой точности, что влияет на итоговую стоимость лечения. Точная цена определяется после осмотра, когда врач оценивает состояние зуба и подбирает оптимальный вариант восстановления.

  • Фиксируем цены

    Цены не меняются в процессе лечения

  • Налоговый вычет

  • Собственная лаборатория

Поставить пломбу на зуб: цена и от чего зависит стоимость лечения


Поставить пломбу на зуб цена зависит от глубины поражения, выбранного материала и объёма лечения. В каждом случае стоимость рассчитывается индивидуально, так как пломбирование может включать как простое лечение кариеса, так и более сложную работу с каналами зуба.

Пломба на зуб цены варьируются в зависимости от используемого материала. Например, самый доступный вариант — стеклоиономерный цемент (Fuji, Adgesor), который можно установить от 2 400 ₽. Более современное решение — фотополимерная пломба: она стоит примерно в 2 раза дороже, но отличается высокой прочностью, эстетикой и служит в 3 раза дольше.

Если требуется лечение каналов, цена на пломбирование зуба увеличивается, так как процедура становится более сложной и требует больше времени. В этом случае врач проводит очистку и герметичное заполнение каналов, что напрямую влияет на итоговую стоимость.

Таким образом, поставить пломбу на зуб цена определяется после диагностики, когда врач оценивает состояние зуба и подбирает оптимальный вариант лечения. Пациент заранее получает понятный расчёт стоимости и рекомендации по выбору материала.

Недорогое пломбирование зубов в Москве

Наша цена
Средняя в Москве

Лечение зубов

  • Пломба стеклоиономерный цемент (Fuji, Adgesor)

    2 400 ₽
    Средняя цена в Москве 3 800 ₽
  • Пломбирование постоянное 1-канального зуба

    2 500 ₽
    Средняя цена в Москве 3 500 ₽
  • Пломбирование постоянное 2-канального зуба

    5 000 ₽
    Средняя цена в Москве 5 700 ₽
  • Пломбирование постоянное 3-канального зуба

    7 500 ₽
    Средняя цена в Москве 8 900 ₽
Все цены

Важность своевременного пломбирования зубов

Если на протяжении долгого времени после появления кариеса не будет проведена реставрация зуба пломбой, поражение начнет быстро распространяться и может привести к сильному разрушению. Кроме того, возможно появление таких осложнений, как пульпит, периодонтит и развитие кисты. Своевременное реставрация зуба пломбой помогает предотвратить эти серьезные проблемы и сохранить здоровье полости рта.

Показания к установке пломбы на зуб

Восстановление зуба пломбой может понадобиться, если есть:

Кариес

Средний, когда кариозное поражение небольшое, или глубокий, с повреждением дентина и образованием большой и глубокой полости;

Пульпит

Завершающим этапом эндодонтического лечения является пломбировка корневых каналов, причем она может быть временной, с использованием лечебной прокладки, и постоянной;

Выпала старая пломба

На ее место ставится новая, более надежная;

Травма, скол

Если корень не затронут, то пломбировочным материалом можно восстановить целостность зуба.

Как проходит диагностика и почему это важно

Диагностика включает первичный осмотр у стоматолога, рентгенологические исследования (в том числе КТ) и анализы крови, а также сбор анамнеза.

Первичный осмотр и сбор анамнеза

Стоматолог оценивает состояние полости рта, слизистых оболочек, выявляет сопутствующие заболевания (например, заболевания десен), аллергии, хронические болезни и принимаемые препараты

Первичный осмотр

Ортопантомограмма (ОПГ)

Панорамный снимок челюсти для общего понимания состояния зубов, челюстной системы и окружающих тканей.

Компьютерная томография (КТ)

Трехмерное сканирование для получения максимально точной информации о плотности, объеме и структуре костной ткани, а также о расположении нервов, пазух и корней соседних зубов.

Рентгенологические исследования

Анализы крови

Общий анализ крови (для выявления воспалений, анемии), биохимический анализ (уровень глюкозы, состояние почек и печени), анализы на ВИЧ, гепатиты, сифилис, группу крови, резус-фактор.

Коагулограмма

Анализ свертываемости крови, необходимый перед любой операцией.

Дополнительные анализы

По назначению врача могут потребоваться анализы на гормоны щитовидной железы и уровень витамина D3.

Лабораторные исследования

Пломбирование передних зубов

При лечении кариеса и пломбировании фронтальнх зубов, участвующих в формировании улыбки, на первый план встает аспект эстетики. Поэтому работа стоматолога схожа с ювелирным мастерством. Он должен не только убрать, очистить кариозную полость, но и сверхаккуратно и красиво поставить пломбу: подобрать по цвету, заполировать ее так, чтобы она не выделялась на фоне всего зубного ряда. В некоторых случаях прибегают к установке винира или коронки. Выбор решения зависит от степени разрушения зубной поверхности.

Методы пломбирования зубов

В зависимости от особенностей состояния и строения зуба, его каналов, стоматолог подбирает один из методов реставрации зуба пломбой, которые отличаются по своим характеристикам:

Гуттаперча

Гуттаперча – классический материал на основе смол, который применяется уже давно для пломбирования каналов. Различают горячий и холодный способ заполнения гуттаперчей подготовленных полостей.

Штифт

Когда требуется укрепить корни, коронковая часть зуба значительно разрушена, то используются штифты (металлические, гуттаперчивые, из стекловолокна), которые закладываются в корневые каналы, а потом герметизируются пломбировочным материалом.

Силер-герметик

Силеры более плотно прилегают к стенкам зубных каналов и обладают антисептическим свойством, что препятствует возникновению вторичного инфицирования. Силер-герметики бывают на основе оксида цинка, полимеров, стеклоиономеров, гидроксида кальция.

Пломбирование жевательных зубов: когда нужна вкладка

Дальние зубы, моляры и премоляры, обладают очень сложной анатомической формой. Из-за чего их трудно хорошо чистить во время ежедневной гигиены. Поэтому налет там скапливается быстрее, как и чаще образуется кариес. При пломбировании жевательных зубов, восстанавливаются все фиссуры и бугорки. Работа проверяется на комфортное смыкание челюстей.
Габараева Наталия Валерьевна

Габараева Наталия Валерьевна

Стоматолог-терапевт микроскопист, Эндодонтист (реставратор), Стоматолог-хирург
Габараева Наталия Валерьевна

Собственная лаборатория и премиальное качество материалов

Доступные цены, быстрые сроки изготовления и возможность оперативной корректировки достигаются благодаря эффективной работе собственной лаборатории и поставкам напрямую от производителя.

Лаборатория
Европейские
стандарты Лаборатория
Конструкции
любой сложности
Импортные
материалы Лаборатория
Из чего складывается стоимость

Замена пломбы зуба

Со временем любая пломба может износиться, повреждаться или терять свои первоначальные свойства. Существуют несколько ситуаций, при которых замена пломбы в зубе становится необходимой:

Этапы

  • Износ пломбы

    Пломбы могут со временем стираться и терять свою эффективность, что приводит к появлению зазоров и риску развития кариеса под пломбой.

  • Появление трещин

    Появление трещин или сколов на пломбе снижает её защитные свойства и может привести к проникновению бактерий в зуб.

  • Пигментация

    Изменение цвета пломбы может указывать на её износ или неплотное прилегание к зубу.

  • Боль или дискомфорт

    Если после пломбирования зуба появляется боль или дискомфорт, это может свидетельствовать о повреждении пломбы или развитии кариеса под ней.

  • Регулярный осмотр у стоматолога

    На плановых осмотрах стоматолог может выявить необходимость замены пломбы для предотвращения дальнейших проблем с зубом.

Выбор пломбы

  • Фотополимерные или светоотверждаемые
  • Химически отверждаемые
  • Стеклоиономерные цементные
  • Пластмассовые
  • Металлические
Мкртчян Каринэ Егиевна

Мкртчян Каринэ Егиевна

Стоматолог–ортодонт, Детский стоматолог
Мкртчян Каринэ Егиевна

Популярные виды процедур по лечению зубов

Пломбирование

Пломбирование используется для восстановления зубов‚ пораженных кариесом или повреждёнными․ Во время этой процедуры стоматолог очищает полость кариозного поражения‚ а затем заполняет ее пломбой — материалом‚ который восстанавливает форму и функцию зуба․
2 400 ₽
Подробнее
Пломбирование

Установка коронки

Коронка или "зубная шляпка" — это искусственная часть зуба‚ которая накладывается на оставшуюся часть зуба после его обработки․ Коронки используются для восстановления зубов с большими повреждениями‚ ослабленной эмалью или после эндодонтической (корневой) лечения․
19 000 ₽
Подробнее
Установка коронки

Эндодонтическое лечение

Эндодонтическое лечение‚ также известное как корневое лечение‚ проводится для лечения зуба с поврежденной или воспаленной пульпой․ Во время процедуры зуб очищается от воспаления‚ а затем пульпа удаляется и заменяется пломбировочным материалом․
2 420 ₽
Подробнее
Эндодонтическое лечение

Имплантация зубов

Имплантация зубов — это процедура восстановления пропущенных зубов путем установки искусственных зубных коронок на имплантаты — металлические штифты‚ которые врастают в кость челюсти․ Это долговременное и стабильное решение для замены пропущенных зубов․
45 000 ₽
Подробнее
Имплантация зубов

Ортодонтическое лечение

Ортодонтическое лечение направлено на исправление неправильного прикуса и выравнивание зубов․ Брекеты‚ инвизибл-ретейнеры и пластинки для прикуса используются для постепенного перемещения зубов в желаемое положение․
230 000 ₽
Подробнее
Ортодонтическое лечение

Профессиональная чистка зубов

Профессиональная чистка зубов проводится стоматологом или гигиенистом полости рта и помогает удалить зубной налет и камень‚ которые нельзя удалить обычной чисткой․ Эта процедура помогает поддерживать здоровье десен и предотвращает развитие заболеваний полости рта․
8 500 ₽
Подробнее
Профессиональная чистка зубов

Наши партнёры

  • Наши партнёры
  • Наши партнёры
  • Наши партнёры
  • Наши партнёры
  • Наши партнёры
  • Наши партнёры
  • Наши партнёры
  • Наши партнёры
Габараева Наталия Валерьевна
Автор статьи

Габараева Наталия Валерьевна

Стоматолог-терапевт микроскопист, Эндодонтист (реставратор), Стоматолог-хирург

Ведущие врачи Москвы

Собрали лучших специалистов своей области

Все врачи

Возвращаем вам улыбку c 1998 года

Хорошее место 2026
Выбор пользовталей Яндекса
Пациенты Пациенты Пациенты Пациенты Пациенты Пациенты Пациенты Пациенты Пациенты Пациенты Пациенты
47 тыс+
Идеальных улыбок
Смотреть кейсы
Все отзывы

Независимый рейтинг

Нас рекомендуют 92% наших пациентов, оставляя отзывы на независимых порталах и в соцсетях. Клиника не может на них повлиять, поэтому они так ценны для нас.

Отзывы

Яндекс
Laura

Laura

19.06.2025

Хочу выразить благодсрность за теплый прием и высокое качество обслуживания в клинике! Чувствуется желание уделить внимание пациенту с учетом индивидуальных особеннлстей возникшей проблемы у пациента и психолически настроить пациента к предстоящей имплантации. Хочу выразить благодарность хирургу- имплантологу Медведеву Роману Сергеевичу за высокий профессионализм и чуткое отношение к пациенту во время проведения операции и во весь период до установки протеза на импланты! Врач от Бога! Никаких осложнений, синяков и прочее...Буду рекомендовать своим знакомым! Спасибо большое всему персоналу клиники за слаженную работу!

Ответы на частые вопросы

Можно ли поставить пломбу без лечения каналов?

Да, если кариес не затронул нерв зуба, лечение ограничивается удалением поражённых тканей и установкой пломбы. Это самый простой и быстрый вариант восстановления зуба.

Если же инфекция проникла глубже и затронула пульпу, потребуется лечение каналов. В таком случае пломбирование становится завершающим этапом более сложного лечения, что влияет на итоговую стоимость и длительность процедуры.

Какая пломба лучше — световая или обычная?

Световая (фотополимерная) пломба считается более современным и надёжным вариантом. Она отличается высокой прочностью, хорошей адгезией к тканям зуба и естественным внешним видом, что особенно важно для передних зубов.

Обычные цементные пломбы дешевле, но уступают по сроку службы и эстетике. Они чаще используются как временное решение или при восстановлении жевательных зубов. Выбор зависит от клинической ситуации и рекомендаций врача.

Сколько стоит поставить пломбу на зуб?

Поставить пломбу на зуб цена зависит от сложности лечения, глубины кариеса и выбранного материала. В среднем стоимость начинается от доступных вариантов при поверхностном лечении и увеличивается при необходимости работы с каналами.

Пломба на зуб цены могут отличаться в зависимости от используемых материалов: от базовых цементов до современных фотополимеров с высокой эстетикой. Точная стоимость определяется после диагностики, когда врач оценивает состояние зуба и предлагает оптимальный вариант лечения.

Когда нужно менять пломбу?

Замена пломбы требуется в случае её износа, появления трещин, сколов или вторичного кариеса. Иногда проблема может быть незаметной визуально, поэтому важно регулярно проходить осмотры у стоматолога.

Также поводом для замены может стать потемнение материала или нарушение прилегания пломбы к зубу. Своевременное обновление позволяет избежать более сложного и дорогостоящего лечения в будущем.

Сколько служит пломба на зубе?

Срок службы пломбы зависит от выбранного материала и качества выполнения работы. Современные фотополимерные пломбы могут служить от 5 до 10 лет, сохраняя форму, прочность и эстетичный внешний вид.

Более бюджетные материалы, такие как стеклоиономерные цементы, имеют меньший срок службы, но хорошо подходят для временного лечения или восстановления жевательных зубов. Регулярная гигиена и профилактические осмотры помогают значительно продлить срок службы пломбы.

Какая пломба лучше: дешёвая или фотополимерная?

Поставить пломбу на зуб цена может быть ниже при использовании стеклоиономерных материалов, однако такие пломбы уступают по прочности и сроку службы. Это хороший вариант для временного решения или лечения в жевательной зоне при ограниченном бюджете.

Фотополимерные пломбы стоят дороже, но служат в 2–3 раза дольше, лучше держат форму и выглядят максимально естественно. Поэтому чаще всего именно они рекомендуются для постоянного лечения.

Сколько стоит поставить пломбу на зуб с лечением каналов?

Поставить пломбу на зуб цена при лечении каналов всегда выше, чем при обычном кариесе. Это связано с тем, что врач проводит очистку и герметичное заполнение корневых каналов, что требует больше времени и профессиональной точности.

Пломба на зуб цены в таких случаях формируются с учётом количества каналов и сложности анатомии зуба. Чем больше каналов, тем выше стоимость лечения.

Сколько стоит пломба при лечении кариеса?

При поверхностном и среднем кариесе пломба на зуб цены остаются на минимальном уровне, так как объём вмешательства небольшой. В таких случаях лечение проводится быстро, без сложных этапов.

Если кариес глубокий, стоимость увеличивается из-за необходимости дополнительной обработки и защиты нерва. Итоговая цена определяется после диагностики.

Записаться на приём

Оставьте заявку, и мы свяжемся с вами в течение 5 минут

Адрес
ул. Большая Спасская, 10к1
Телефон
+7 (495) 125-25-20
Время работы
Пн-Сб с 10:00 до 21:00
Напишите нам: