• Комсомольская
  • Сухаревская
  • Проспект Мира
ул. Большая Спасская, 10к1
Пн-Сб с 10:00 до 21:00
ДентаЛюкс-М +7 (495) 125-25-20
Лучшее современное решение для востановления зубов

Керамические виниры

Керамические виниры

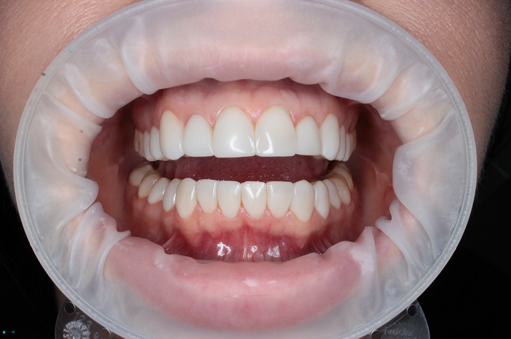
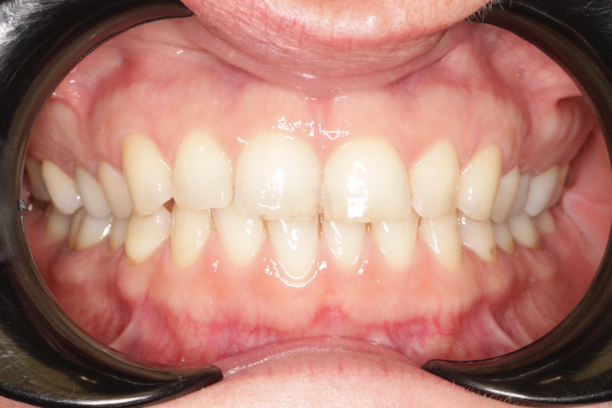
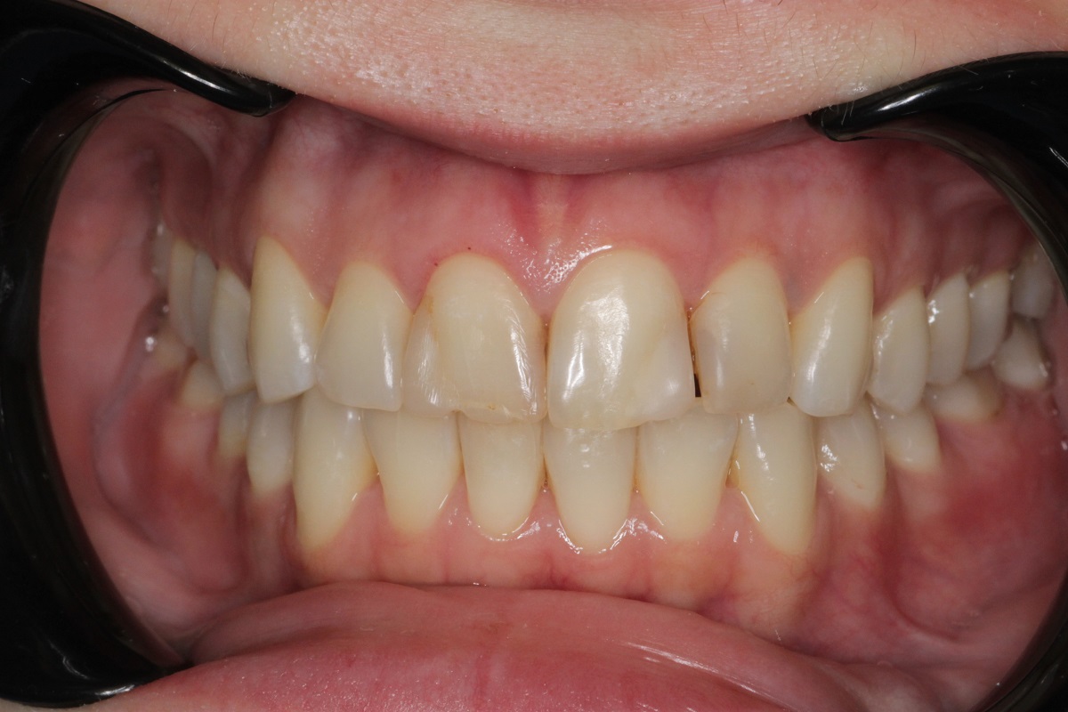
Керамические виниры — это тонкие ортопедические накладки из безметалловой керамики, фиксируемые на передней поверхности зубов для коррекции цвета, формы и незначительных дефектов положения. Метод применяется при стойком изменении оттенка эмали, сколах, трещинах или наличии старых реставраций в зоне улыбки. В отличие от композитных реставраций, керамика обладает стабильностью цвета и высокой износостойкостью. Это позволяет сохранить естественный внешний вид зубов на длительный срок. В стоматологии «Денталюкс-М» в Москве установка проводится после клинической оценки состояния эмали и прикуса.

  • Фиксируем цены

    Цены не меняются в процессе лечения

  • Налоговый вычет

  • Собственная лаборатория

В каких случаях рекомендуется установка керамических виниров


Перед установкой проводится диагностика состояния зубов и тканей пародонта, анализируется прикус и объём эмали. При необходимости выполняется минимальная подготовка поверхности зуба для обеспечения точной посадки конструкции.

Керамические накладки изготавливаются по индивидуальным параметрам с использованием цифрового сканирования. Точное прилегание снижает риск вторичного кариеса и воспаления десны.

Фиксация выполняется адгезивным методом, что обеспечивает прочное соединение с тканями зуба и стабильность конструкции при жевательной нагрузке.

Цена на керамические виниры

Наша цена
Средняя в Москве

Протезирование

  • Керамические виниры E-MAX

    Акция
    32 000 28 000 ₽
    Средняя цена в Москве 33 000 ₽
Все цены

Виды виниров

Все виниры подразделяются на типы в зависимости от материала изготовления.

Керамические виниры

Керамические виниры - это идеальное решение для тех, кто стремится к безупречной эстетике. Они восхитительно похожи на натуральные зубы, вплоть до мельчайших деталей. Особенно популярны пластины E-max, изготовленные из высокопрочной прессованной стеклокерамики, которая превосходит аналоги из фарфора по прочности.

Диоксид-циркониевые виниры

Диоксид-циркониевые виниры, несмотря на сложность обработки, всегда доставляют отличные результаты. Изделия из диоксида циркония высококачественные, прочные и имеют длительный срок службы. Циркониевые виниры практически неотличимы от естественных зубов.

Несъёмное протезирование

Несъёмное протезирование — это коронки, мостовидные конструкции и виниры, которые фиксируются на зубах или имплантах. Они не требуют снятия, обеспечивают комфорт при жевании и выглядят максимально естественно. Для изготовления применяются металлокерамика, диоксид циркония и прессованная керамика. Врач подбирает оптимальный материал исходя из клинической ситуации и пожеланий пациента. Такие протезы служат 10 лет и более при регулярной профилактике.

Композитные виниры

Композитные виниры отличаются быстротой установки. Они позволяют восстановить зубную эмаль всего за одно посещение, поэтому их также называют "реставрационными винирами". Однако срок службы таких изделий наименьший по сравнению с другими аналогами, их потребуется заменить через 5-7 лет.

Как проходит диагностика и почему это важно

Диагностика перед протезирование зубов включает первичный осмотр у стоматолога, рентгенологические исследования (в том числе КТ) и анализы крови, а также сбор анамнеза.

Первичный осмотр и сбор анамнеза

Стоматолог оценивает состояние полости рта, слизистых оболочек, выявляет сопутствующие заболевания (например, заболевания десен), аллергии, хронические болезни и принимаемые препараты

Первичный осмотр

Ортопантомограмма (ОПГ)

Панорамный снимок челюсти для общего понимания состояния зубов, челюстной системы и окружающих тканей.

Компьютерная томография (КТ)

Трехмерное сканирование для получения максимально точной информации о плотности, объеме и структуре костной ткани, а также о расположении нервов, пазух и корней соседних зубов.

Рентгенологические исследования

О керамических винирах

Виниры из керамики изготовливаются из высококачественного материала, который практически неразличим от натуральных зубов. Они обеспечивают долговечность, эстетическую привлекательность и идеальную посадку на вашу переднюю поверхность зубов. Виниры из керамики могут изменить форму, цвет и выравнивание зубов, придавая вашей улыбке совершенство.

Показания к установке

Реставрация керамическими винирами проводится при:

  •  Изменение оттенка эмали без возможности восстановления методом отбеливания
  • Трещины и сколы на зубах
  • Широкие щели между зубами
  • Незначительные искривления зубов
  • Слишком маленький размер зубов

Строгих медицинских показаний процедура не имеет, так как относится к сфере эстетической стоматологии. Виниры, в отличие от вкладок и коронок, не оказывают терапевтического эффекта.

Кому виниры противопоказаны?

Установка керамических виниров подходит не всегда:

Абсолютные

  • Отсутствие большого количества зубов (виниры не заменяют протезирование).
  • Сильное разрушение зубов, когда нет достаточного объема тканей для фиксации.
  • Невылеченные заболевания: активный кариес, пульпит, периодонтит.
  • Патологическая стираемость зубов в тяжелой форме.
  • Прямой прикус или обратный резцовый перекрытие (глубокий прикус), при котором происходит прямое травмирующее соприкосновение режущих краев нижних и верхних зубов.
  • Бруксизм (тяжелая форма ночного скрежетания зубами) — является одним из главных противопоказаний.

Относительные

  • Недостаточная гигиена полости рта. Установка виниров возможна после обучения гигиене и мотивации пациента.
  • Наличие старых, некачественных пломб в зоне улыбки. Требуется их замена.
  • Бруксизм (в легкой форме). Решается изготовлением защитной каппы на ночь.
  • Большие пломбы на вестибулярной (передней) поверхности зуба. Требуют особого подхода к препарированию и фиксации.
  • Небольшая скученность зубов или незначительные аномалии прикуса. Иногда виниры можно использовать в рамках "маскировки" после консультации с ортодонтом.
  • Живые зубы с крупной пульповой камерой. Препарирование может быть рискованным и требует щадящих методов.

Мнение врача

Многие клиенты стоматологий боятся ставить виниры из-за необходимости препарирования зубов. Однако обточка не несет никаких негативных последствий для зубного ряда. так как снимается минимально необходимый верхний слой эмали важное значение в условиях ношения виниров имеет соблюдение личной гигиены.
Ребрий Астемир Васильевич

Ребрий Астемир Васильевич

Хирург-имплантолог, Ортопед
Ребрий Астемир Васильевич

Собственная лаборатория и премиальное качество материалов

Доступные цены, быстрые сроки изготовления и возможность оперативной корректировки достигаются благодаря эффективной работе собственной лаборатории и поставкам напрямую от производителя.

Лаборатория
Европейские
стандарты Лаборатория
Конструкции
любой сложности
Импортные
материалы Лаборатория
Из чего складывается стоимость

Чем отличаются композитные виниры от керамических?

Клиентам клиники предлагают несколько способов реставрации зубов. Это могут быть либо керамические конструкции, либо прямые композитные виниры. В отличие от керамических виниров, которые на фото выглядят как тонкие пластинки, композитные формируются прямо в ротовой полости пациента. Стоматологи в современных клиниках предпочитают ставить керамику, так как композит требует постоянной коррекции и не прослужит долго. Хотя цена керамических виниров достаточно высокая, зато пациент экономит на повторных визитах к врачу, может не бояться есть любимые блюда и улыбаться при искусственном освещении.

Этапы

  • Этап 1

    Консультация, фотопротокол, составление общего и финансового планов лечения. Диагностическое сканирование с использованием 3D сканера или снятие оттисков, для цифрового моделирования будущей улыбки.

  • Этап 2

    Согласование будущей эстетики и функции. Примерка результата воскового моделирования из временного композитного материала. Гигиена и при необходимости пролечивание зубов.

  • Этап 3

    Подготовка зубов под постоянные керамические накладки проводится под местным обезболиванием. Изготовление и фиксация временной композитной реставрации (временные коронки)

  • Этап 4

    Изготовление виниров в зуботехнической лаборатории (в среднем на это нужно 14 дней).

  • Этап 5

    Примерка и фиксация керамических виниров в полости рта.

Керамические виниры на передние зубы

Керамические виниры предоставляют уникальные преимущества, позволяя достичь желаемого цвета без отбеливания. Они способны идеально скрыть промежутки между зубами и корректировать форму и размер передних зубов, обеспечивая внешний вид, который вас удовлетворит. Важно отметить, что этот процесс сохраняет здоровье зубов, не требуя удаления нервов или здоровых тканей. Таким образом, цельнокерамические виниры представляют собой эстетическое и функциональное решение, обеспечивая идеальный внешний вид при сохранении здоровья зубов.

Керамическая накладка на жевательный зуб

Керамические виниры обычно не применяются на жевательные зубы. Этот выбор обусловлен особенностями функции и нагрузкой на задние зубы во время жевания. Вместо виниров на жевательные зубы часто ставят коронки. Коронки, изготовленные из керамики, предоставляют более прочное и долговечное решение для моляров и прочих жевательных зубов. Они устойчивы к механическим воздействиям, предотвращая износ и обеспечивая долгосрочную функциональность при ежедневном использовании.
Медведев Роман Сергеевич

Медведев Роман Сергеевич

Главный врач, Хирург-имплантолог, Ортопед
Медведев Роман Сергеевич

Срок службы и гарантия

В клинике «Денталюкс-М» используются разные виды виниров. Срок гарантии зависит от материала. Наш стоматологический центр сотрудничает только с теми компаниями, которые предоставляют пожизненную гарантию на каждый винир.

  • 10 лет

    Гарантии на работу врача

  • Бесплатно

    Заменим протез в течении гарантийного срока

Срок службы виниров зависит от материала, но в среднем равен 10-15 годам при правильном уходе

Подробнее о гарантиях

Аналоги

Циркониевые виниры

Изготавливаются из диоксида циркония, менее хороши в эстетике, но более прочные, чем керамика. Подходят для боковых зубов. В стоматологии «ДентаЛюкс-М» проводят все виды современной реставрации зубов по новейшим технологиям. Каждому клиенту мы предлагаем несколько вариантов решения проблемы, после чего принимается совместное решение.
28 000 ₽
Подробнее
Циркониевые виниры

Керамические виниры

Керамические виниры – самый оптимальный способ восстановления красоты передних зубов без каких-либо рисков и неблагоприятных последствий. Они представляют собой тонкие накладки на переднюю поверхность зубов. Керамика имеет множество оттенков, поэтому легко подобрать подходящий цвет эмали.
28 000 ₽
Подробнее
Керамические виниры

Наши партнёры

  • Наши партнёры
  • Наши партнёры
  • Наши партнёры
  • Наши партнёры
  • Наши партнёры
  • Наши партнёры
  • Наши партнёры
  • Наши партнёры
Медведев Роман Сергеевич
Автор статьи

Медведев Роман Сергеевич

Главный врач, Хирург-имплантолог, Ортопед

Ведущие врачи Москвы

Собрали лучших специалистов своей области

Все врачи

Возвращаем вам улыбку c 1998 года

Хорошее место 2026
Выбор пользовталей Яндекса
Пациенты Пациенты Пациенты Пациенты Пациенты Пациенты Пациенты Пациенты Пациенты Пациенты Пациенты
47 тыс+
Идеальных улыбок
Смотреть кейсы
Все отзывы

Независимый рейтинг

Нас рекомендуют 92% наших пациентов, оставляя отзывы на независимых порталах и в соцсетях. Клиника не может на них повлиять, поэтому они так ценны для нас.

Отзывы

Яндекс
Laura

Laura

19.06.2025

Хочу выразить благодсрность за теплый прием и высокое качество обслуживания в клинике! Чувствуется желание уделить внимание пациенту с учетом индивидуальных особеннлстей возникшей проблемы у пациента и психолически настроить пациента к предстоящей имплантации. Хочу выразить благодарность хирургу- имплантологу Медведеву Роману Сергеевичу за высокий профессионализм и чуткое отношение к пациенту во время проведения операции и во весь период до установки протеза на импланты! Врач от Бога! Никаких осложнений, синяков и прочее...Буду рекомендовать своим знакомым! Спасибо большое всему персоналу клиники за слаженную работу!

Ответы на частые вопросы

Можно ли устанавливать керамические виниры при бруксизме?
Возможность установки определяется степенью нагрузки на зубы. При подтверждённом бруксизме рекомендуется использование защитной капы для снижения риска сколов и перегрузки.
Подходят ли керамические виниры при незначительном искривлении зубов?
При лёгких нарушениях положения виниры могут использоваться для визуальной коррекции. Однако при выраженной скученности или нарушении прикуса предпочтительна предварительная ортодонтическая подготовка.
Можно ли заменить старые пломбы керамическими винирами?
Да, при достаточном объёме сохранённой эмали. Перед установкой проводится оценка качества существующих реставраций и состояния твёрдых тканей зуба.
Есть ли ограничения после установки керамических виниров?
После фиксации рекомендуется избегать избыточной механической нагрузки. Не следует раскусывать твёрдые предметы, использовать зубы как инструмент и игнорировать регулярную гигиену. Плановые осмотры позволяют контролировать состояние конструкции и тканей десны.
Можно ли устанавливать керамические виниры при отсутствии жевательных зубов?
Установка керамических виниров при отсутствии жевательных зубов возможна не во всех случаях. При потере моляров нагрузка на передние зубы увеличивается, что может привести к перегрузке виниров. Перед эстетической коррекцией рекомендуется восстановление жевательной группы для стабилизации прикуса.
Сколько стоит поставить керамические виниры?
Стоимость керамических виниров зависит от множества факторов, включая количество виниров, сложность случая и местоположение клиники. Обычно цена на один винир может варьироваться от нескольких тысяч до нескольких десятков тысяч рублей.
Когда невозможно поставить виниры?
Некоторые противопоказания для установки керамических виниров включают значительную кариозную пораженность зубов, серьезные проблемы с деснами, зубные заболевания, пародонтит или отсутствие достаточного объема эмали для фиксации виниров.
Можно ли поставить виниры без обточки зубов?
В большинстве случаев для установки керамических виниров требуется небольшая обточка зубов, чтобы создать место для нанесения виниров и обеспечить их естественную и прочную фиксацию. Однако существуют техники, такие как "непрямая винировая реставрация", которые могут позволить установку виниров без обточки, но они имеют свои ограничения. га для профессиональной очистки и осмотра.
Сколько служат керамические виниры?
Керамические виниры могут служить в течение 10-15 лет, при условии правильного ухода и регулярных посещений стоматолога.

Записаться на приём

Оставьте заявку, и мы свяжемся с вами в течение 5 минут

Адрес
ул. Большая Спасская, 10к1
Телефон
+7 (495) 125-25-20
Время работы
Пн-Сб с 10:00 до 21:00
Напишите нам: