• Комсомольская
  • Сухаревская
  • Проспект Мира
ул. Большая Спасская, 10к1
Пн-Сб с 10:00 до 21:00
ДентаЛюкс-М +7 (495) 125-25-20
Лучшее современное решение для восстановления зубов

Холодное отбеливание зубов

Холодное отбеливание зубов

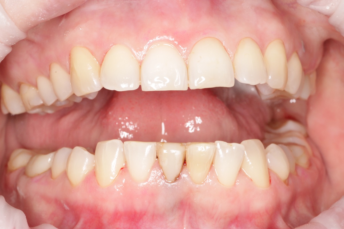
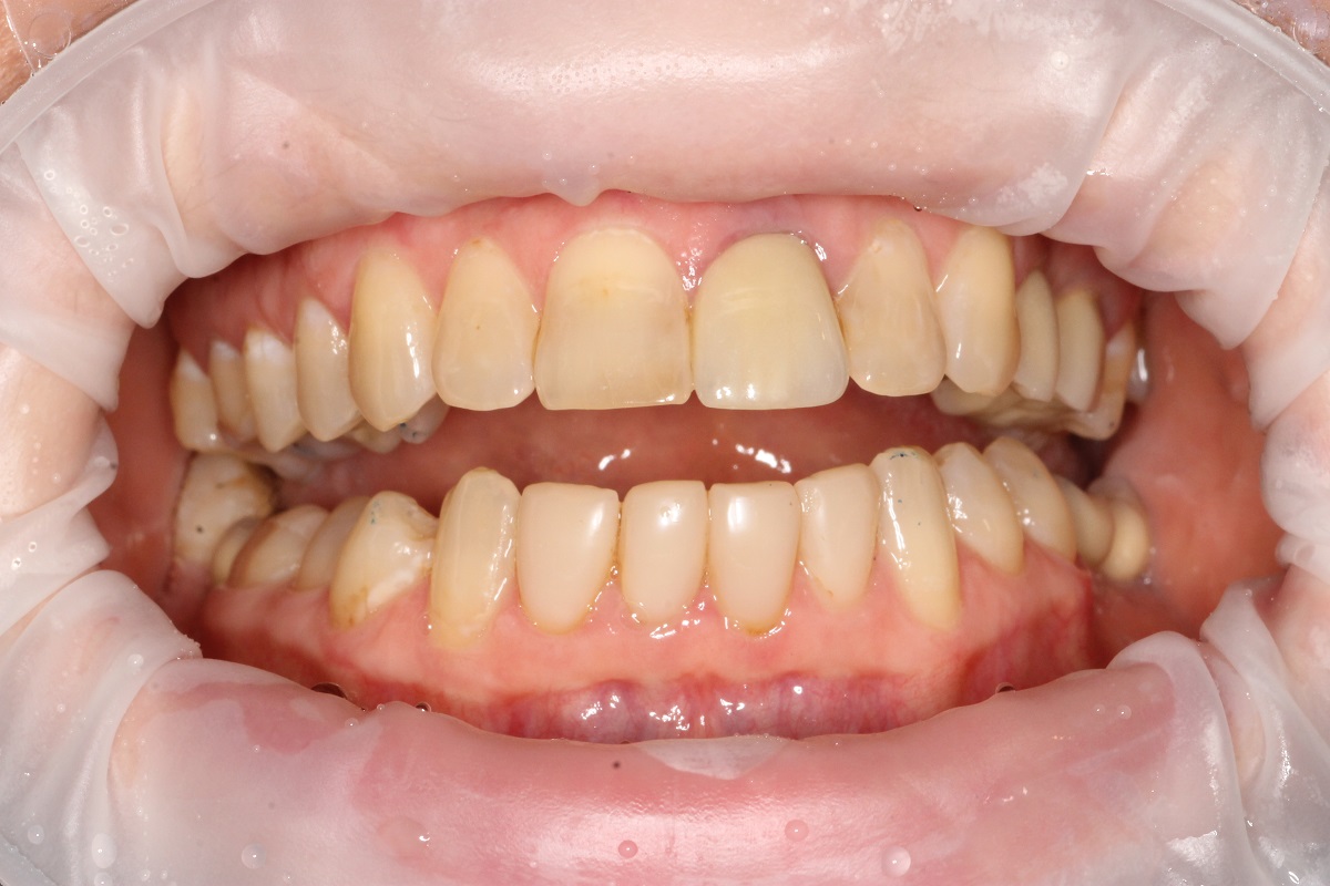
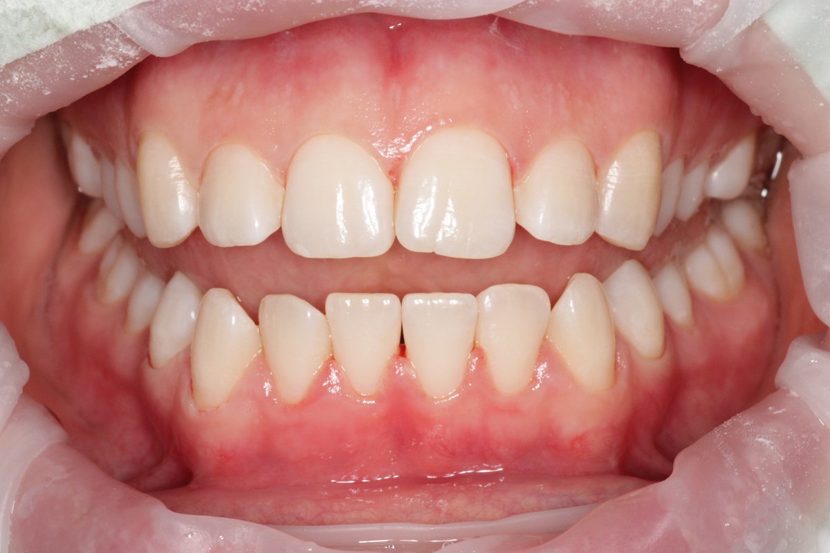
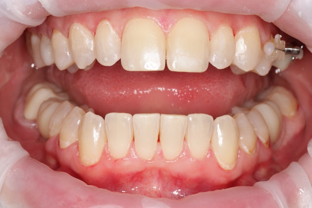
Сегодня существует множество способов обрести белизну зубов. Одним из таких способов является холодное отбеливание. Оно отличается от других методик применением особых ламп, не излучающих тепло. В результате осветление зубов на 5-12 тонов происходит без риска получить ожог ротовой слизистой или раздражение десен.

  • Фиксируем цены

    Цены не меняются в процессе лечения

  • Налоговый вычет

  • Собственная лаборатория

Отбеливание холодным светом обеспечивают лампы Beyond, работающие по уникальной технологии LightBridge, которая устраняет инфракрасное и УФ-излучение во время пропускания света через специальные фильтры. Эта технология позволяет полностью исключить вероятность травмирования тканей, а значит, избежать распространенного побочного эффекта осветления эмали: повышения чувствительности зубов после процедуры.

Стоимость холодного отбеливания зубов

Наша цена
Средняя в Москве

Отбеливание зубов

  • Профессиональное отбеливание зубов клиническое ZOOM-4: 1 часовое за один визит (1 зубной ряд в линии улыбки)

    37 000 ₽
    Средняя цена в Москве 44 000 ₽
  • Профессиональное отбеливание зубов клиническое ZOOM-4 часовое за один визит ( 2 зубных ряда в линии улыбки)

    35 000 ₽
    Средняя цена в Москве 40 000 ₽
Все цены

Преимущества методики

При этом, несмотря на наличие столь существенных преимуществ, цена отбеливания холодным светом не завышена, что делает процедуру одной из наиболее популярных методик осветления зубов, применяемых в стоматологических клиниках.

Отсутствие ультрафиолетового излучения, что существенно повышает безопасность процедуры

Быстрота проведения (около получаса)

Отсутствие неприятных или болезненных ощущений (которые нередко возникают во время отбеливающих сеансов, сопровождающихся нагреванием зубов и окружающих мягких тканей)

Как проходит диагностика и почему это важно

Консультация и осмотр

Врач выясняет ваши цели и состояние здоровья, проверяет зубы на наличие кариеса, старых пломб и воспаления десен.

Первичный осмотр

Аппаратная диагностика и определение цвета

При необходимости делаются рентген-снимки для выявления скрытых проблем. Точный исходный цвет зубов фиксируется по специальной шкале.

Аппаратная диагностика

Профессиональная чистка и план лечения

Перед отбеливанием обязательно снимают зубной камень и налет. Врач согласовывает с вами метод отбеливания и прогнозируемый результат.

Профессиональная чистка и план лечения

Особенности проведения процедуры

  • Во избежание попадания осветляющего вещества проводится предварительное изолирование десен: на них наносится особый гель
  • Губы покрывают бальзамом, чтобы избежать пересушивания кожи
  • На область воздействия наносят отбеливающий гель с содержанием перекиси водорода
  • Начинается непосредственно сеанс отбеливания холодным светом. Во время интенсивного светового воздействия происходит реакция геля на излучение: выделяется активный кислород, который глубоко проникает в зубную эмаль и осветляет ее, устраняя даже выраженные темные пятна

Виды отбеливания зубов

Существует два основных типа отбеливания: домашний и профессиональный. Для домашнего отбеливания используются специальные химические средства, осветляющие эмаль. Методики, проводимые в условиях стоматологической клиники, в свою очередь подразделяются на:

Лазерное отбеливание

Химическое отбеливание

Ультразвуковое отбеливание

Фотоотбеливание отбеливание

Мнение стоматолога

"Холодное отбеливание" — это современный, безопасный и эффективный метод кабинетного (офисного) отбеливания с использованием LED-лампы. Это щадящая альтернатива лазерному отбеливанию, дающая сопоставимый результат.
Габараева Наталия Валерьевна

Габараева Наталия Валерьевна

Стоматолог-терапевт микроскопист, Эндодонтист (реставратор), Стоматолог-хирург
Габараева Наталия Валерьевна

Собственная лаборатория и премиальное качество материалов

Доступные цены, быстрые сроки изготовления и возможность оперативной корректировки достигаются благодаря эффективной работе собственной лаборатории и поставкам напрямую от производителя.

Лаборатория
Европейские
стандарты Лаборатория
Конструкции
любой сложности
Импортные
материалы Лаборатория
Из чего складывается стоимость

Этапы отбеливания

Перед процедурой отбеливание зубов аппаратом zoom обязательны подготовительные мероприятия, они помогают добиться ожидаемого и долгосрочного эффекта.

Этапы

  • Консультация и диагностика

  • Подготовка к отбеливанию

  • Нанесение геля и активация светом

  • Завершение процедуры

Рекомендации после отбеливания

Эффективность холодного отбеливания сохраняется на протяжении примерно года. Чтобы закрепить результат, важно отказаться от употребления красящих продуктов и напитков (а также цветных паст и ополаскивателей для полости рта) на протяжении первых нескольких дней после процедуры. Кроме того, хотя бы в первые сутки желательно не курить.

Оганесян (Мкртчян) Каринэ Егиевна

Оганесян (Мкртчян) Каринэ Егиевна

Стоматолог–ортодонт, Детский стоматолог
Оганесян (Мкртчян) Каринэ Егиевна

Популярные виды процедур отбеливания

Лазерное отбеливание зубов

Отбеливание лазером проводится посредством диодного луча, который активизирует действие особого геля, нейтрализующего зубной налет за счет расщепления белковых соединений.
25 000 ₽
Подробнее
Лазерное отбеливание зубов

Отбеливание зубов ZOOM

В стоматологии «DentaLux» мы используем только оригинальные гели ZOOM, что гарантирует качественное отбеливание зубов
37 000 ₽
Подробнее
Отбеливание зубов ZOOM

Холодное отбеливание зубов

Оно отличается от других методик применением особых ламп, не излучающих тепло. В результате осветление зубов на 5-12 тонов происходит без риска получить ожог ротовой слизистой или раздражение десен.
15 000 ₽
Подробнее
Холодное отбеливание зубов

Внутриканальное отбеливание зубов

В клинике "ДентаЛюкс-М" стоимость процедуры внутриканального отбеливания зубов зависит от сложности случая и количества сеансов, необходимых для достижения желаемого результата.
1 000 ₽
Подробнее
Внутриканальное отбеливание зубов

Наши партнёры

  • Наши партнёры
  • Наши партнёры
  • Наши партнёры
  • Наши партнёры
  • Наши партнёры
  • Наши партнёры
  • Наши партнёры
  • Наши партнёры
Габараева Наталия Валерьевна
Автор статьи

Габараева Наталия Валерьевна

Стоматолог-терапевт микроскопист, Эндодонтист (реставратор), Стоматолог-хирург

Ведущие врачи Москвы

Собрали лучших специалистов своей области

Все врачи

Возвращаем вам улыбку c 1998 года

Хорошее место 2026
Выбор пользовталей Яндекса
Пациенты Пациенты Пациенты Пациенты Пациенты Пациенты Пациенты Пациенты Пациенты Пациенты Пациенты
47 тыс+
Идеальных улыбок
Смотреть кейсы
Все отзывы

Независимый рейтинг

Нас рекомендуют 92% наших пациентов, оставляя отзывы на независимых порталах и в соцсетях. Клиника не может на них повлиять, поэтому они так ценны для нас.

Отзывы

Яндекс
Laura

Laura

19.06.2025

Хочу выразить благодсрность за теплый прием и высокое качество обслуживания в клинике! Чувствуется желание уделить внимание пациенту с учетом индивидуальных особеннлстей возникшей проблемы у пациента и психолически настроить пациента к предстоящей имплантации. Хочу выразить благодарность хирургу- имплантологу Медведеву Роману Сергеевичу за высокий профессионализм и чуткое отношение к пациенту во время проведения операции и во весь период до установки протеза на импланты! Врач от Бога! Никаких осложнений, синяков и прочее...Буду рекомендовать своим знакомым! Спасибо большое всему персоналу клиники за слаженную работу!

Записаться на приём

Оставьте заявку, и мы свяжемся с вами в течение 5 минут

Адрес
ул. Большая Спасская, 10к1
Телефон
+7 (495) 125-25-20
Время работы
Пн-Сб с 10:00 до 21:00
Напишите нам: