• Комсомольская
  • Сухаревская
  • Проспект Мира
ул. Большая Спасская, 10к1
Пн-Сб с 10:00 до 21:00
ДентаЛюкс-М +7 (495) 125-25-20
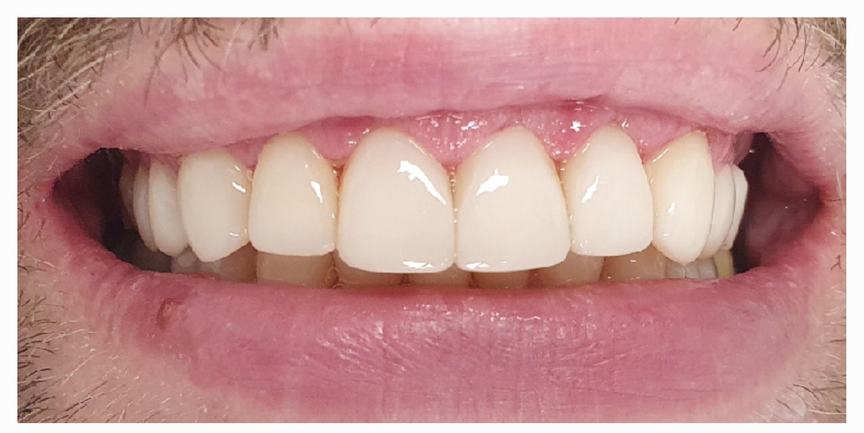
Лучшее современное решение для восстановления зубов

Композитные виниры

Композитные виниры

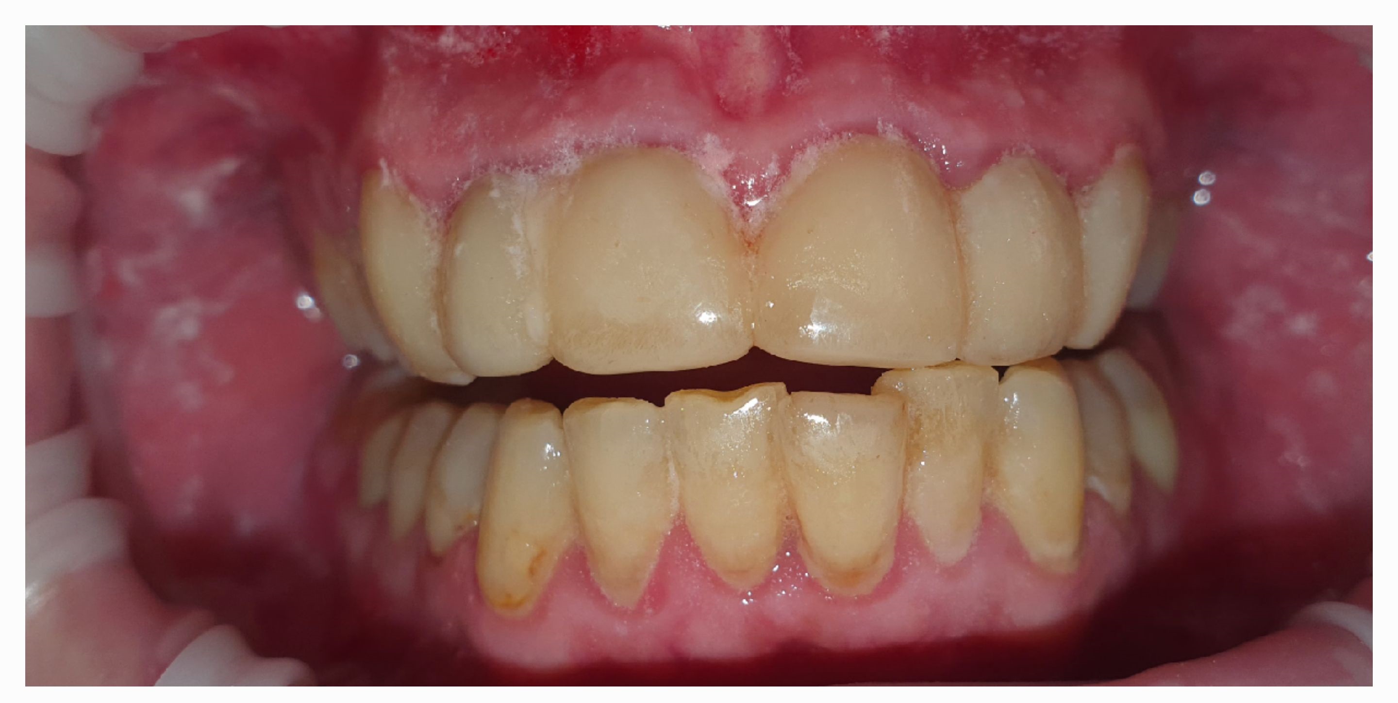
Особенности композитных виниров

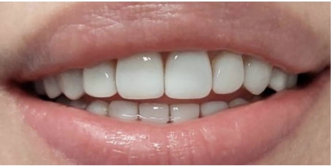
Художественная реставрация композитными винирами требует высокого мастерства от стоматолога. Анатомическое воссоздание поверхности эмали выполняется вручную в сжатые сроки, и результат должен быть максимально естественным и эстетичным. Важным этапом является точный подбор оттенка композита, чтобы виниры идеально гармонировали с натуральными зубами.

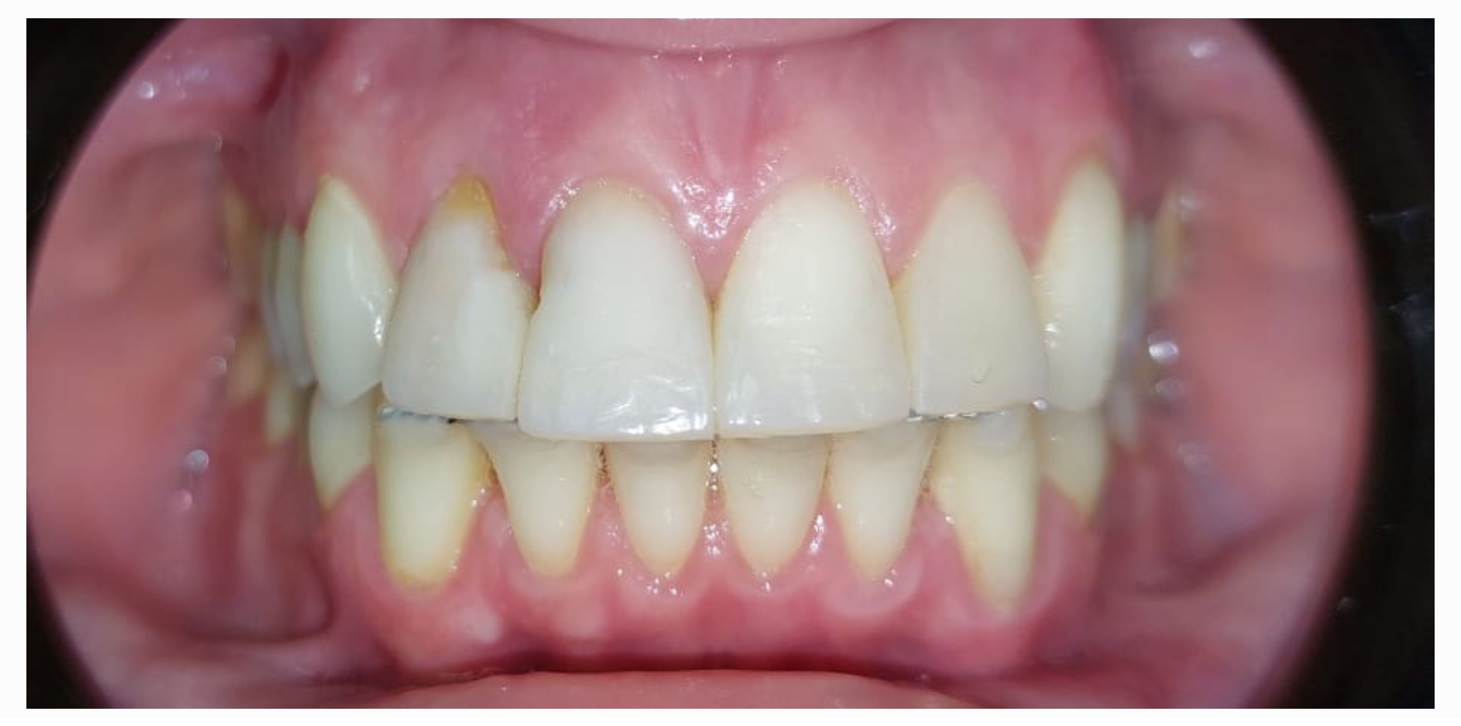
Композит — это материал, используемый для создания пломб и виниров. Он состоит из композитных смол, которые отвердевают под воздействием ультрафиолетовых лучей. Виниры из композитного материала обладают хорошей твердостью, но со временем их структура может разрушаться. Тем не менее, установка композитных виниров позволяет значительно улучшить внешний вид зубов, корректируя их форму и цвет. Композитные виниры на передние зубы эффективно маскируют неровности, пятна и небольшие зазоры между зубами. Если понадобится провести повторную коррекцию или снять композитные виниры, это будет легко и быстро для стоматолога.

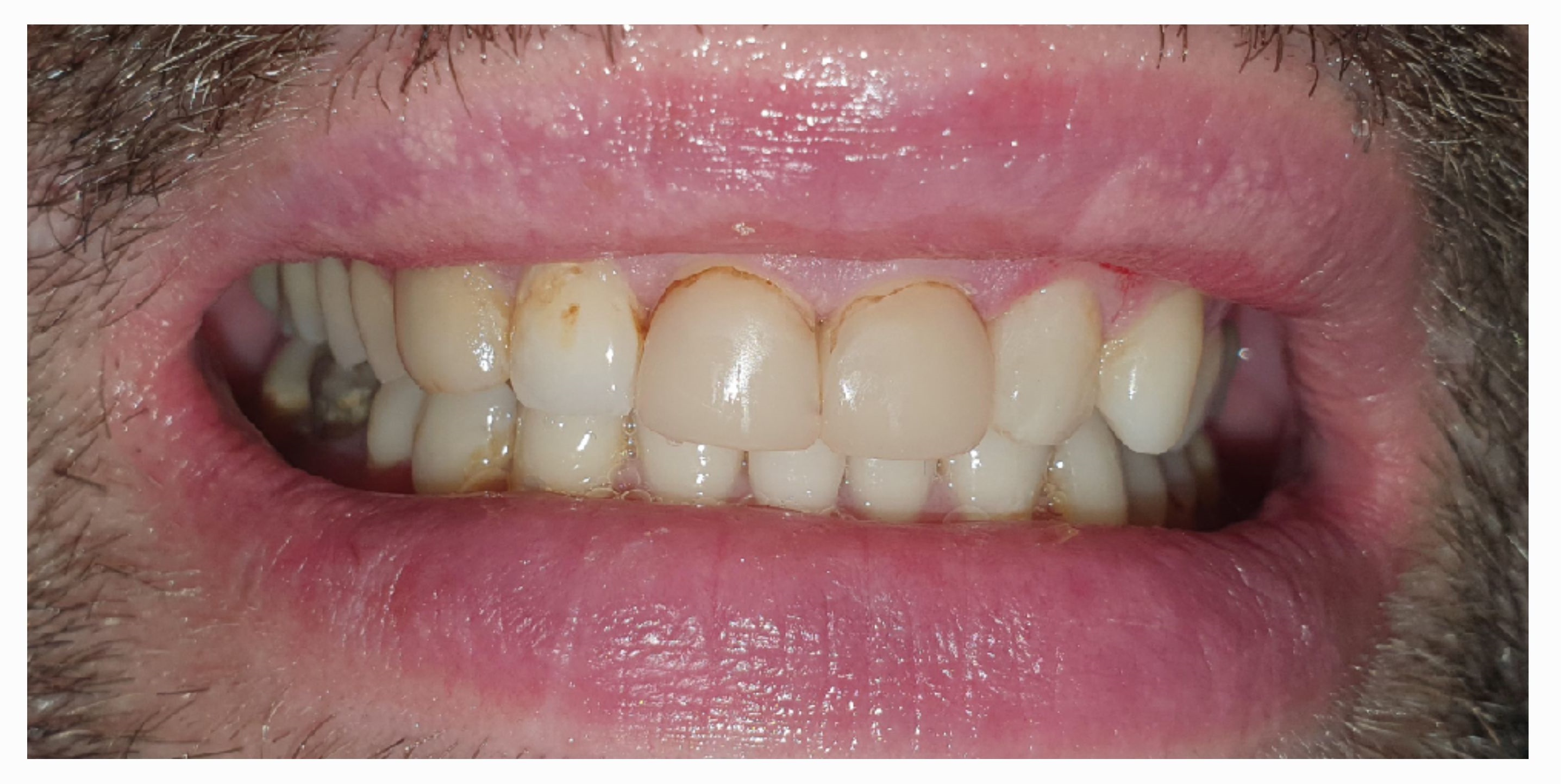
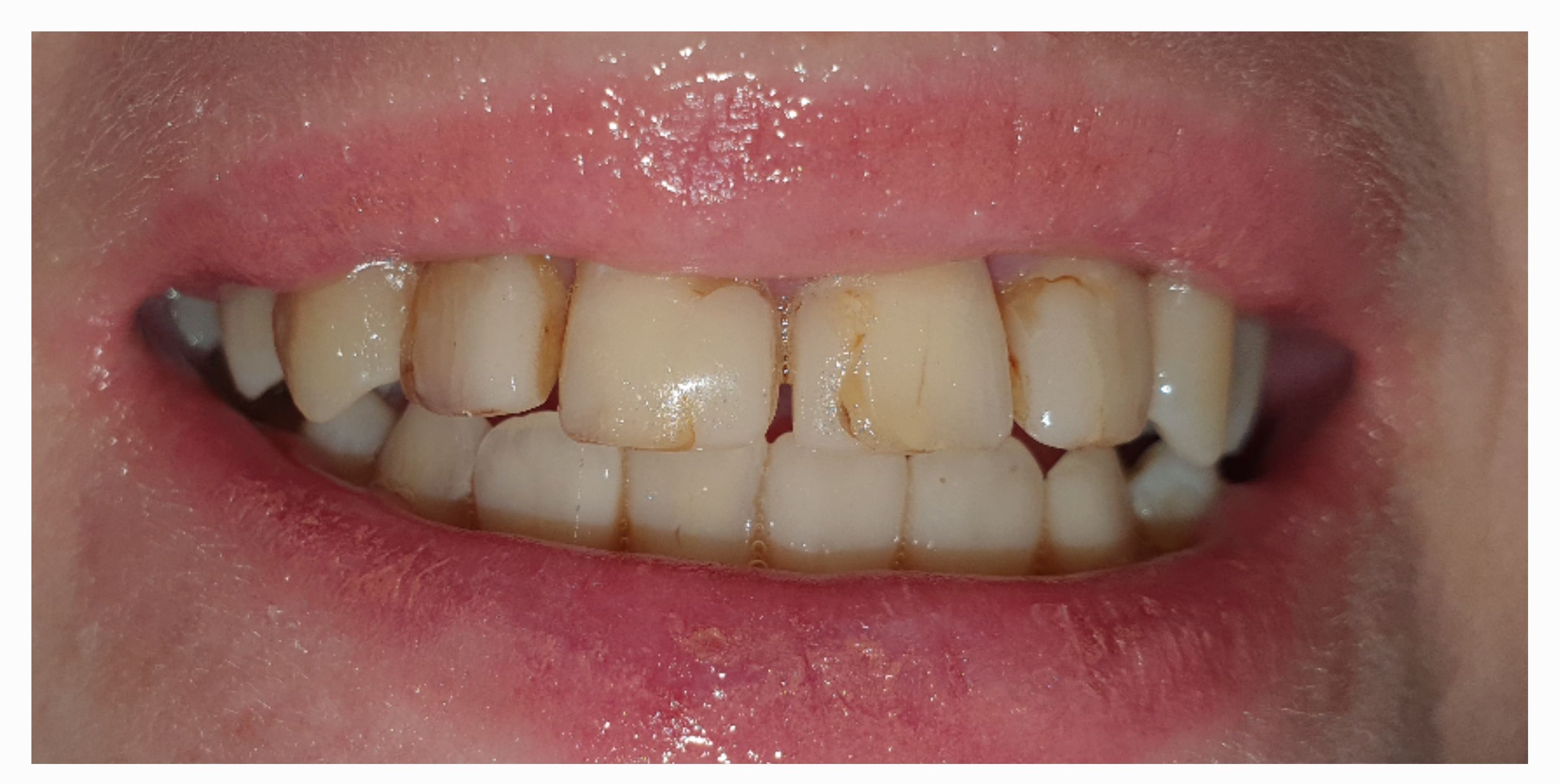
Несмотря на свои преимущества, композитные виниры со временем могут впитывать пигменты от пищи, напитков или никотина, что приводит к изменению цвета. В этом отношении керамические и циркониевые виниры более долговечны.

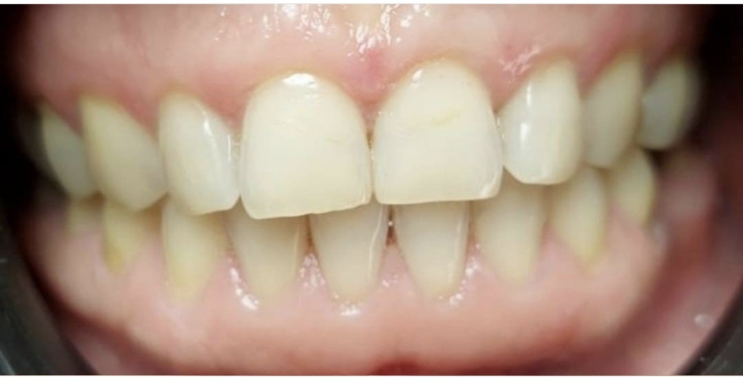
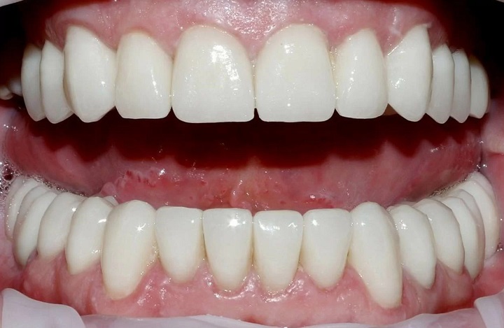
Композитные виниры для зубов — это быстрый и доступный способ вернуть себе красивую улыбку, скрывая мелкие дефекты и неровности передних зубов.

Цена композитных виниров складывается из количества необходимого материала, работы стоматолога и расходных материалов. Дополнительно могут потребоваться обследования или лечебные мероприятия. Стоимость композитных виниров за 1 зуб в стоматологии «ДентаЛюкс-М» стартует от 7500 рублей. Первичная консультация врача – бесплатная.

  • Фиксируем цены

    Цены не меняются в процессе лечения

  • Налоговый вычет

  • Собственная лаборатория

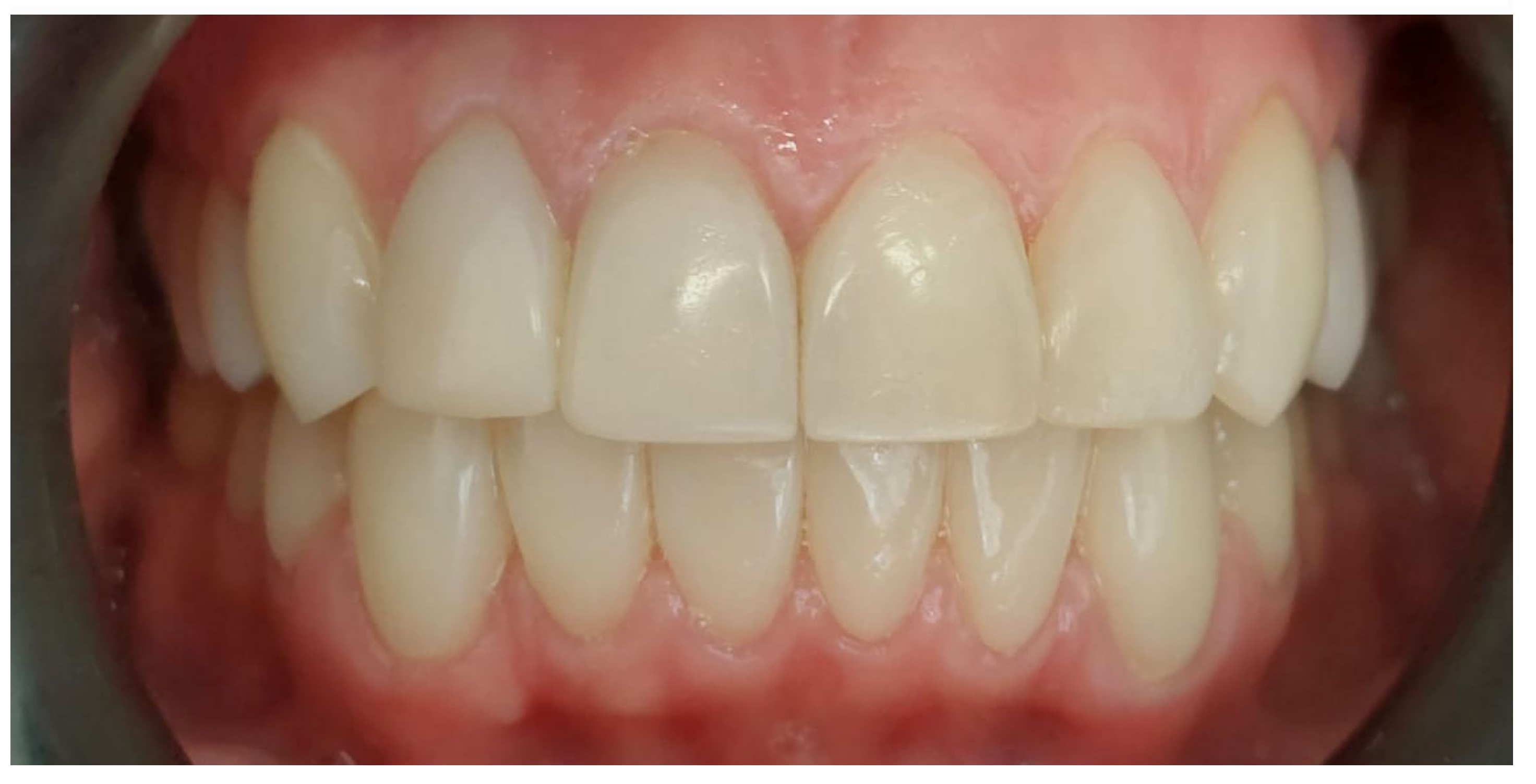
Композитные виниры на зубы являются доступной альтернативой керамическим пластинкам. Они также известны как прямые композитные виниры, поскольку не требуют отдельного изготовления накладок в зуботехнической лаборатории и формируются послойно прямо в ротовой полости пациента. Материал, используемый для композитных виниров, — это композит, который применяется для пломбирования. Установка композитных виниров проходит за один прием, что делает процедуру быстрой и удобной.

Реставрация композитными винирами высокого качества доступна в стоматологической клинике «ДентаЛюкс-М» в Москве. Композитные виниры — это специфические микропротезы, которые используются для устранения эстетических дефектов зубов. В отличие от керамических виниров, композитные виниры без обточки создаются путем послойного нанесения композита на зубы, что делает процесс схожим с художественной реставрацией.

Методика эффективна для устранения трещин, сколов, потемнений эмали и щелей между зубами. Композитные виниры без обточки на передние зубы — это отличный выбор для тех, кто ищет щадящий подход. Композитный винир цена в Москве зависит от сложности работы, но данная методика позволяет достичь естественной формы и цвета зубов после реставрации.

Цена композитных виниров

Наша цена
Средняя в Москве

Протезирование

  • Композитные виниры

    Акция
    от 15 000 7 500 ₽
    Средняя цена в Москве 18 000 ₽
Все цены

Виды виниров

Все виниры подразделяются на типы в зависимости от материала изготовления.

Керамические виниры

Керамические виниры - это идеальное решение для тех, кто стремится к безупречной эстетике. Они восхитительно похожи на натуральные зубы, вплоть до мельчайших деталей. Особенно популярны пластины E-max, изготовленные из высокопрочной прессованной стеклокерамики, которая превосходит аналоги из фарфора по прочности.

Диоксид-циркониевые виниры

Диоксид-циркониевые виниры, несмотря на сложность обработки, всегда доставляют отличные результаты. Изделия из диоксида циркония высококачественные, прочные и имеют длительный срок службы. Циркониевые виниры практически неотличимы от естественных зубов.

Несъёмное протезирование

Несъёмное протезирование — это коронки, мостовидные конструкции и виниры, которые фиксируются на зубах или имплантах. Они не требуют снятия, обеспечивают комфорт при жевании и выглядят максимально естественно. Для изготовления применяются металлокерамика, диоксид циркония и прессованная керамика. Врач подбирает оптимальный материал исходя из клинической ситуации и пожеланий пациента. Такие протезы служат 10 лет и более при регулярной профилактике.

Композитные виниры

Композитные виниры отличаются быстротой установки. Они позволяют восстановить зубную эмаль всего за одно посещение, поэтому их также называют "реставрационными винирами". Однако срок службы таких изделий наименьший по сравнению с другими аналогами, их потребуется заменить через 5-7 лет.

Как проходит диагностика и почему это важно

Диагностика перед протезирование зубов включает первичный осмотр у стоматолога, рентгенологические исследования (в том числе КТ) и анализы крови, а также сбор анамнеза.

Первичный осмотр и сбор анамнеза

Стоматолог оценивает состояние полости рта, слизистых оболочек, выявляет сопутствующие заболевания (например, заболевания десен), аллергии, хронические болезни и принимаемые препараты

Первичный осмотр

Ортопантомограмма (ОПГ)

Панорамный снимок челюсти для общего понимания состояния зубов, челюстной системы и окружающих тканей.

Компьютерная томография (КТ)

Трехмерное сканирование для получения максимально точной информации о плотности, объеме и структуре костной ткани, а также о расположении нервов, пазух и корней соседних зубов.

Рентгенологические исследования

Показания к установке

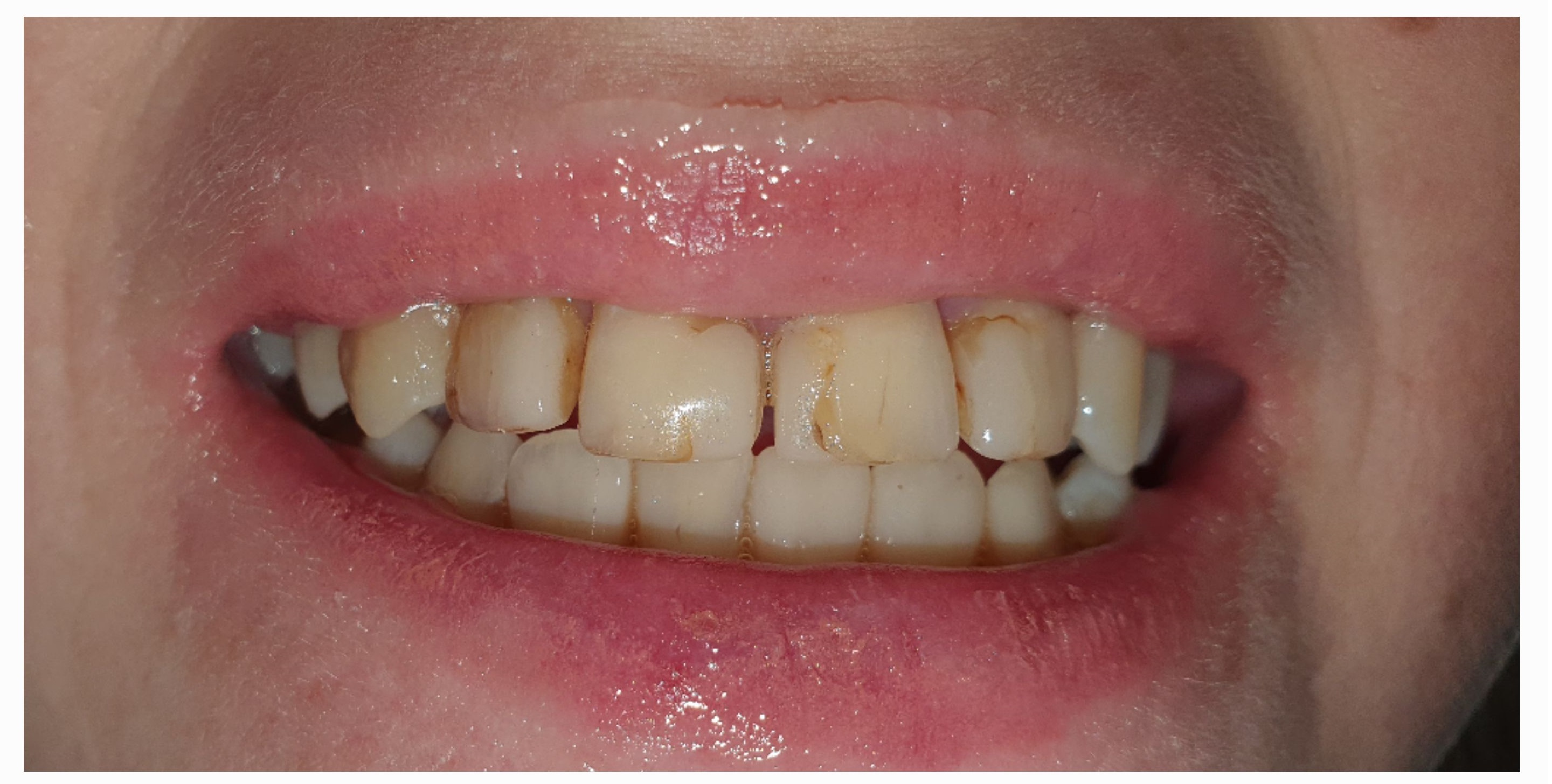
Установка композитных виниров показана при наличии:

  • небольших сколов и трещин;
  • неровностей зубной поверхности;
  • пигментации эмали;
  • межзубных промежутков.

Кому виниры противопоказаны?

Перед тем как сделать композитные виниры, необходимо устранить воспалительные процессы в полости рта.

Абсолютные

  • Отсутствие большого количества зубов (виниры не заменяют протезирование).
  • Сильное разрушение зубов, когда нет достаточного объема тканей для фиксации.
  • Невылеченные заболевания: активный кариес, пульпит, периодонтит.
  • Патологическая стираемость зубов в тяжелой форме.
  • Прямой прикус или обратный резцовый перекрытие (глубокий прикус), при котором происходит прямое травмирующее соприкосновение режущих краев нижних и верхних зубов.
  • Бруксизм (тяжелая форма ночного скрежетания зубами) — является одним из главных противопоказаний.

Относительные

  • Недостаточная гигиена полости рта. Установка виниров возможна после обучения гигиене и мотивации пациента.
  • Наличие старых, некачественных пломб в зоне улыбки. Требуется их замена.
  • Бруксизм (в легкой форме). Решается изготовлением защитной каппы на ночь.
  • Большие пломбы на вестибулярной (передней) поверхности зуба. Требуют особого подхода к препарированию и фиксации.
  • Небольшая скученность зубов или незначительные аномалии прикуса. Иногда виниры можно использовать в рамках "маскировки" после консультации с ортодонтом.
  • Живые зубы с крупной пульповой камерой. Препарирование может быть рискованным и требует щадящих методов.

Мнение врача

Прямые композитные виниры до сих пор остаются востребованными в эстетической стоматологии. Эта доступная по цене альтернатива керамике популярна среди пациентов.
Ребрий Астемир Васильевич

Ребрий Астемир Васильевич

Хирург-имплантолог, Ортопед
Ребрий Астемир Васильевич

Собственная лаборатория и премиальное качество материалов

Доступные цены, быстрые сроки изготовления и возможность оперативной корректировки достигаются благодаря эффективной работе собственной лаборатории и поставкам напрямую от производителя.

Лаборатория
Европейские
стандарты Лаборатория
Конструкции
любой сложности
Импортные
материалы Лаборатория
Из чего складывается стоимость

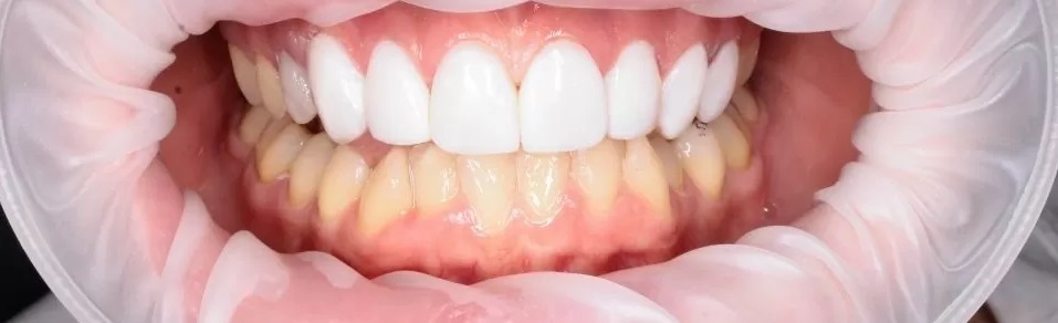
Композитные виниры: срок службы и особенности ухода

Длительность службы композитных виниров всего лишь несколько лет. Поддержание личной гигиены и следование рекомендациям врача может немного продлить срок эксплуатации. Реставрация композитных виниров требуется по истечение эстетических и функциональных характеристик, так как материал теряет блеск и стирается.

Этапы

  • Этап 1

    Консультация и планирование: Врач проводит осмотр и обсуждает желаемый результат с пациентом. Определяются цвет, форма и размер виниров.

  • Этап 2

    Подготовительная процедура: Врач удаляет тонкий слой эмали с передней поверхности зубов (обычно около 0,5 мм) для создания места под виниры. В некоторых случаях может потребоваться местное обезболивание

  • Этап 3

    Отпечаток: Врач делает отпечаток зубов, чтобы изготовить индивидуальные виниры в зуботехнической лаборатории. Отпечаток отправляется в лабораторию для изготовления точных копий зубов пациента.

  • Этап 4

    Временные виниры: Врач может установить временные виниры, чтобы защитить зубы до получения окончательных виниров.

  • Этап 5

    Проверка и подгонка: При получении готовых виниров из лаборатории, врач проводит проверку подгонки и цвета. Если необходимо, виниры могут быть немного подогнаны и отшлифованы для достижения оптимального результата.

  • Этап 6

    Конечная установка: После окончательной проверки и подгонки, врач применяет специальный клей или светоотверждаемую смолу для закрепления виниров на зубы. Затем производится финальная полировка для достижения естественного и блестящего вида.

  • Этап 7

    Последующий уход: Врач объясняет пациенту правила ухода за винирами, включая регулярную гигиену полости рта и регулярные посещения стоматолога для проверки состояния виниров.

Установка композитных виниров бывает прямой и непрямой

Прямые композитные виниры наносятся послойно, каждый слой засвечивается УФ-лампой. Установка проводится за один визит. Непрямые композитные виниры требуют участия зубного техника, так как они изготавливаются по слепкам в лаборатории. Такой метод занимает больше времени, но виниры из композита, созданные непрямым способом, служат дольше.

Изготовление композитных виниров в клинике

Для изготовления композитных виниров в Москве в клинике «ДентаЛюкс-М» используются качественные материалы. Врачи тщательно подбирают оттенок композита, воссоздают форму зубов, что гарантирует положительный результат.
Медведев Роман Сергеевич

Медведев Роман Сергеевич

Главный врач, Хирург-имплантолог, Ортопед
Медведев Роман Сергеевич

Срок службы и гарантия

В клинике «Денталюкс-М» используются разные виды виниров. Срок гарантии зависит от материала. Наш стоматологический центр сотрудничает только с теми компаниями, которые предоставляют пожизненную гарантию на каждый винир.

  • 10 лет

    Гарантии на работу врача

  • Бесплатно

    Заменим протез в течении гарантийного срока

Срок службы виниров зависит от материала, но в среднем равен 10-15 годам при правильном уходе

Подробнее о гарантиях

Аналоги

Керамические виниры

Изготавливаются из прочной стеклокерамики. Служат 10 и более лет, идеально имитируют настоящие зубы. Оптимальный вариант для зоны улыбки.
28 000 ₽
Подробнее
Керамические виниры

Циркониевые виниры

Изготавливаются из диоксида циркония, менее хороши в эстетике, но более прочные, чем керамика. Подходят для боковых зубов. В стоматологии «ДентаЛюкс-М» проводят все виды современной реставрации зубов по новейшим технологиям. Каждому клиенту мы предлагаем несколько вариантов решения проблемы, после чего принимается совместное решение.
28 000 ₽
Подробнее
Циркониевые виниры

Наши партнёры

  • Наши партнёры
  • Наши партнёры
  • Наши партнёры
  • Наши партнёры
  • Наши партнёры
  • Наши партнёры
  • Наши партнёры
  • Наши партнёры
Медведев Роман Сергеевич
Автор статьи

Медведев Роман Сергеевич

Главный врач, Хирург-имплантолог, Ортопед

Ведущие врачи Москвы

Собрали лучших специалистов своей области

Все врачи

Наши работы

Все работы

Возвращаем вам улыбку c 1998 года

Хорошее место 2026
Выбор пользовталей Яндекса
Пациенты Пациенты Пациенты Пациенты Пациенты Пациенты Пациенты Пациенты Пациенты Пациенты Пациенты
47 тыс+
Идеальных улыбок
Смотреть кейсы
Все отзывы

Независимый рейтинг

Нас рекомендуют 92% наших пациентов, оставляя отзывы на независимых порталах и в соцсетях. Клиника не может на них повлиять, поэтому они так ценны для нас.

Отзывы

Яндекс
Laura

Laura

19.06.2025

Хочу выразить благодсрность за теплый прием и высокое качество обслуживания в клинике! Чувствуется желание уделить внимание пациенту с учетом индивидуальных особеннлстей возникшей проблемы у пациента и психолически настроить пациента к предстоящей имплантации. Хочу выразить благодарность хирургу- имплантологу Медведеву Роману Сергеевичу за высокий профессионализм и чуткое отношение к пациенту во время проведения операции и во весь период до установки протеза на импланты! Врач от Бога! Никаких осложнений, синяков и прочее...Буду рекомендовать своим знакомым! Спасибо большое всему персоналу клиники за слаженную работу!

Ответы на частые вопросы

Существуют ли какие-либо риски, связанные с установкой виниров?
Установка виниров сопряжена с некоторыми рисками, такими как чувствительность зубов и возможность растрескивания или поломки виниров. Однако эти риски можно свести к минимуму, если выбрать опытного стоматолога и соблюдать правила гигиены полости рта.
Каков процесс установки виниров?
Первый шаг включает в себя консультацию со стоматологом, который определит, подходят ли вам виниры. Если да, то следующие шаги включают подготовку зубов, снятие слепков и создание виниров в зуботехнической лаборатории. Наконец, виниры приклеиваются к зубам во время последующего визита к врачу.
Как долго обычно служат виниры?
Виниры могут прослужить 10-15 лет, в зависимости от того, насколько хорошо за ними ухаживают и правильно ли их поддерживают.
Кому могут быть полезны виниры?
Виниры могут быть полезны людям с пятнами, сколами, трещинами или неправильным расположением зубов. Они также могут быть использованы для устранения промежутков между зубами.
Что такое виниры?
Виниры - это тонкие оболочки из фарфора или композитной смолы, которые приклеиваются к поверхности зубов для улучшения их внешнего вида.

Записаться на приём

Оставьте заявку, и мы свяжемся с вами в течение 5 минут

Адрес
ул. Большая Спасская, 10к1
Телефон
+7 (495) 125-25-20
Время работы
Пн-Сб с 10:00 до 21:00
Напишите нам: