• Комсомольская
  • Сухаревская
  • Проспект Мира
ул. Большая Спасская, 10к1
Пн-Сб с 10:00 до 21:00
ДентаЛюкс-М +7 (495) 125-25-20
Лучшее современное решение для востановления зубов

Импланты Osstem (Осстем)

Импланты Osstem (Осстем)

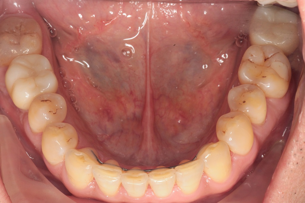
Дентальная имплантация – это метод восстановления зубного ряда путем вживления искусственных корней зубов в челюсть.​ Импланты служат основой для установки заменяющих зубов – керамических коронок или мостов.​ Такой метод позволяет восстановить не только эстетику улыбки‚ но и ее функциональность.​

Для установки дентального импланта необходимо пройти несколько этапов⁚ сначала врач оценивает состояние полости рта и определяет наличие достаточного объема костной ткани для установки имплантов. Если костная ткань в недостатке‚ может потребоваться дополнительная операция по ее увеличению.​

Затем проводится сама операция по установке имплантов.​ Импланты вводятся в кость под место отсутствующего зуба и закрепляются в нее.​ После этого следует период ожидания‚ когда импланты интегрируются с костью.​ Этот процесс требует времени – от нескольких недель до нескольких месяцев.

После окончания периода ожидания выполняется этап протезирования. На установленные импланты крепятся специальные абатменты и затем проводится изготовление и установка коронки или моста. В результате пациент получает красивую и функциональную зубную протезную конструкцию‚ которая восстанавливает полноценность его улыбки.​

Дентальная имплантация является безопасной и эффективной методикой‚ которая дает отличные результаты.​ Импланты обладают высокой прочностью и долговечностью‚ а также способностью полностью восстановить функцию жевания и эстетику улыбки.​

Зафиксируйте стоимость имплантации по акции — 🔥 за 45 000 ₽ Osstem

Вы уже видели рекламу имплантации за 7-10 тысяч рублей?
Вот, что входит в настоящую имплантацию «под ключ» и без доплат:

1. Хирургический этап лечения

— это этап, на котором ставят только имплант и который выдаётся некоторыми клиниками за имплантацию «под ключ»

Имплант Osstem (Корея)
Имплант Osstem (Корея)
Работа имплантолога
Работа имплантолога
Формирователь десны
Формирователь десны
Цена за 1 этап
19 000 ₽ 19 900 ₽
🔥 Акция до 31.12
Цена за 1 этап
19 000 ₽ 19 900 ₽
🔥 Акция до 31.12

2. Ортопедический этап лечения

Создаем коронки премиального качества в собственной лаборатории

Абатмент
Абатмент
Циркониевая коронка на имплант
Циркониевая коронка на имплант
Работа ортопеда
Работа ортопеда
Цена за 2 этап
26 000 ₽
Цена за 2 этап
26 000 ₽
Итого за готовый зуб
🔥 Акция до 31.12

Итого за готовый зуб

45 000 ₽ 54 900 ₽

Нажимая кнопку «Забронировать цену», вы даёте согласие на обработку персональных данных в соответствии с персональных данных

  • Фиксируем цены

    Цены не меняются в процессе лечения

  • Налоговый вычет

  • Собственная лаборатория

Импланты Osstem и их цена под ключ в Москве

Наша цена
Средняя в Москве

Имплантация зубов

  • Имплантация зубов OSSTEM

    имплантат, установка диоксид циркониевой коронки
    Корея
    Корея
    Акция
    54 900 45 000 ₽
    Средняя цена в Москве 56 000 ₽
  • Имплантация зубов NOBEL

    имплантат, установка диоксид циркониевой коронки
    Швейцария
    Швейцария
    Акция
    78 000 73 000 ₽
    Средняя цена в Москве 88 000 ₽
  • Имплантация зубов MIS (Израиль)

    имплантат, установка диоксид циркониевой коронки
    Акция
    74 000 57 000 ₽
    Средняя цена в Москве 75 000 ₽
  • Имплантация зубов Ankylos (Германия)

    имплантат, установка диоксид циркониевой коронки
    Акция
    79 400 65 000 ₽
    Средняя цена в Москве 86 000 ₽
  • Имплантация зубов IMPRO (Германия)

    имплантат, установка диоксид циркониевой коронки
    Акция
    71 500 55 900 ₽
    Средняя цена в Москве 92 000 ₽
  • Имплантация зубов ASTRA (Швеция)

    имплантат, установка диоксид циркониевой коронки
    Акция
    120 000 85 000 ₽
    Средняя цена в Москве 110 000 ₽
  • Имплантация ALL-ON-4

    установка 4 имплантатов, установка композитного протеза с винтовой фиксацией
    235 000 ₽
    Средняя цена в Москве 250 000 ₽
  • Имплантация ALL-ON-6

    установка 6 имплантатов, установка композитного протеза с винтовой фиксацией
    290 000 ₽
    Средняя цена в Москве 320 000 ₽
Все цены

Методы имплантации и стадии процедуры

Проблему отсутствия зубов, в зависимости от анамнеза, можно разрешить различными методами. Стоматолог принимает решение после комплексного обследования ротовой полости пациента. Специалисты «Денталюкс-М» практикуют индивидуальный подход к каждому клиенту и выбирают наиболее оптимальный метод операции для конкретного клинического случая.

Классический протокол

Самый эффективный метод для восстановления единичных дефектов, заключающийся в двухэтапной имплантации. Вся терапия занимает примерно 6 месяцев. На первом этапе устанавливаются импланты, накладываются швы, затем их оставляют в состоянии покоя на 3-4 месяца.

Второй этап заключается в установке постоянных протезов.

Одноэтапный протокол

Это метод восстановления имплантами с немедленной нагрузкой. Устанавливается через прокол без разрезов и дает возможность немедленно получить результат. Этапы одноэтапной имплантации:

  • консультация
  • подготовительная диагностика
  • установка имплантов
  • фиксация на них временных протезов

Через год можно временный протезы сменить постоянными.

Одномоментная имплантация

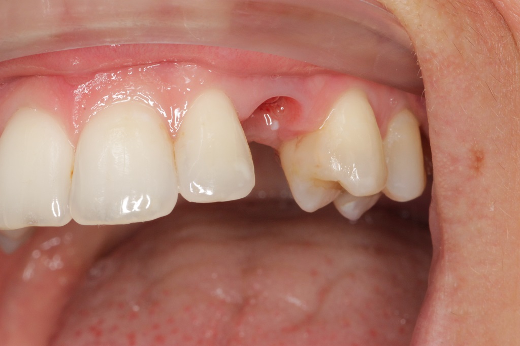
Одномоментная имплантация назначается при наличии проблемного зуба, который еще не удален.

Во время процедуры врач производит удаление зуба и сразу в эту же лунку ставит имплант. В зависимости от клинической картины дальше имплантация может осуществляться с незамедлительной или с отложенной нагрузкой.

All-on-4 имплантация

Это установка четырех имплантатов, на которые сразу устанавливается один общий протез всего зубного ряда. Данный метод дает возможность быстро решить проблему полной адентии.

Как проходит диагностика и почему это важно

Диагностика перед имплантацией зубов включает первичный осмотр у стоматолога, рентгенологические исследования (в том числе КТ) и анализы крови, а также сбор анамнеза.

Первичный осмотр и сбор анамнеза

Стоматолог оценивает состояние полости рта, слизистых оболочек, выявляет сопутствующие заболевания (например, заболевания десен), аллергии, хронические болезни и принимаемые препараты

Первичный осмотр

Ортопантомограмма (ОПГ)

Панорамный снимок челюсти для общего понимания состояния зубов, челюстной системы и окружающих тканей.

Компьютерная томография (КТ)

Трехмерное сканирование для получения максимально точной информации о плотности, объеме и структуре костной ткани, а также о расположении нервов, пазух и корней соседних зубов.

Рентгенологические исследования

Анализы крови

Общий анализ крови (для выявления воспалений, анемии), биохимический анализ (уровень глюкозы, состояние почек и печени), анализы на ВИЧ, гепатиты, сифилис, группу крови, резус-фактор.

Коагулограмма

Анализ свертываемости крови, необходимый перед любой операцией.

Дополнительные анализы

По назначению врача могут потребоваться анализы на гормоны щитовидной железы и уровень витамина D3.

Лабораторные исследования

Показания

Имплантация проводится при утрате одного, нескольких или всех зубов ряда. С помощью процедуры можно восстановить зубной ряд в любой клинической ситуации. Разнообразие имплантов и методов имплантации позволяют найти оптимальное решение для каждого клиента.

  • Отсутствие одного, двух зубов
  • Отсутствие нескольких зубов
  • Полное отсутствие зубов
  • Планирование удаления зубов в связи с порчей

Особо стоит отметить о таком показании к одномоментной адентии, как присутствие проблемного зуба, который готовится к удалению. В этом случае, важным условием является качество костной ткани, которое даст возможность установить имплантат сразу после удаления зуба.

Какие минусы для организма от имплантов?

Несмотря на многолетний опыт использования имплантатов, до сих пор существуют противники такого способа восстановления зубов. Однако, при правильной установке, конструкции не причиняют вреда организму человека в целом и ротовой полости в частности.
Возможный вред от имплантатов связан с неправильной их установкой и обусловлен некачественными процедурами. Правильно установленные импланты отличаются высокой стабильностью и долговечностью, предоставляя пациентам красивую улыбку и комфорт при жевании.

Виды имплантов Osstem

Компания Osstem предлагает несколько видов имплантов, предназначенных для различных клинических случаев:

TS система

Универсальная система имплантов, подходящая для большинства стандартных случаев.

SS система

Импланты с узкой платформой, предназначенные для установки в зонах с ограниченным пространством.

MS система

Мини-импланты, используемые для временного протезирования и в случае недостаточного объема костной ткани.

ES система

Импланты с уникальной системой стабилизации, предназначенные для установки в сложных клинических случаях.

Особенности имплантов Osstem

Импланты имеют уникальные особенности, обеспечивающие их высокую эффективность:

  • Микроструктура поверхности.
  • Система внутреннего соединения.
  • Разнообразие размеров.
Медведев Роман Сергеевич

Медведев Роман Сергеевич

Главный врач, Хирург-имплантолог, Ортопед
Медведев Роман Сергеевич

Собственная лаборатория и премиальное качество материалов

Доступные цены, быстрые сроки изготовления и возможность оперативной корректировки достигаются благодаря эффективной работе собственной лаборатории и поставкам напрямую от производителя.

Лаборатория
Европейские
стандарты Лаборатория
Конструкции
любой сложности
Импортные
материалы Лаборатория
Из чего складывается стоимость

Варианты установки Osstem

Импланты от компании Osstem можно успешно применять в клинических ситуациях любой сложности. Независимо от типа имплантации, стоматолог найдет подходящую конструкцию, наилучшим образом соответствующую особенностям каждого пациента. Врачи стоматологии "ДентаЛюкс-М" проводят тщательную оценку всех возможных рисков и оптимально выбирают время для проведения операции, чтобы обеспечить наилучшие результаты для пациентов.

Этапы

  • Подготовка и планирование

    - Консультация, диагностика (КТ челюсти).
    - Составление 3D-плана лечения, изготовление хирургического шаблона для точности.

  • Хирургический этап

    - Установка титанового импланта (искусственного корня) в кость.
    - Наложение швов. Имплант закрывается десной для приживления.

  • Период приживления (Остеоинтеграция)

    - Нижняя челюсть: 2-4 месяца.
    - Верхняя челюсть: 4-6 месяцев.

  • Установка формирователя десны

    - Небольшое вмешательство для установки детали, которая формирует ровный и красивый контур десны вокруг будущего зуба. Занимает 1-2 недели.

  • Протезирование (Установка коронки)

    - Снимаются слепки.
    - Изготавливается и фиксируется постоянная коронка.

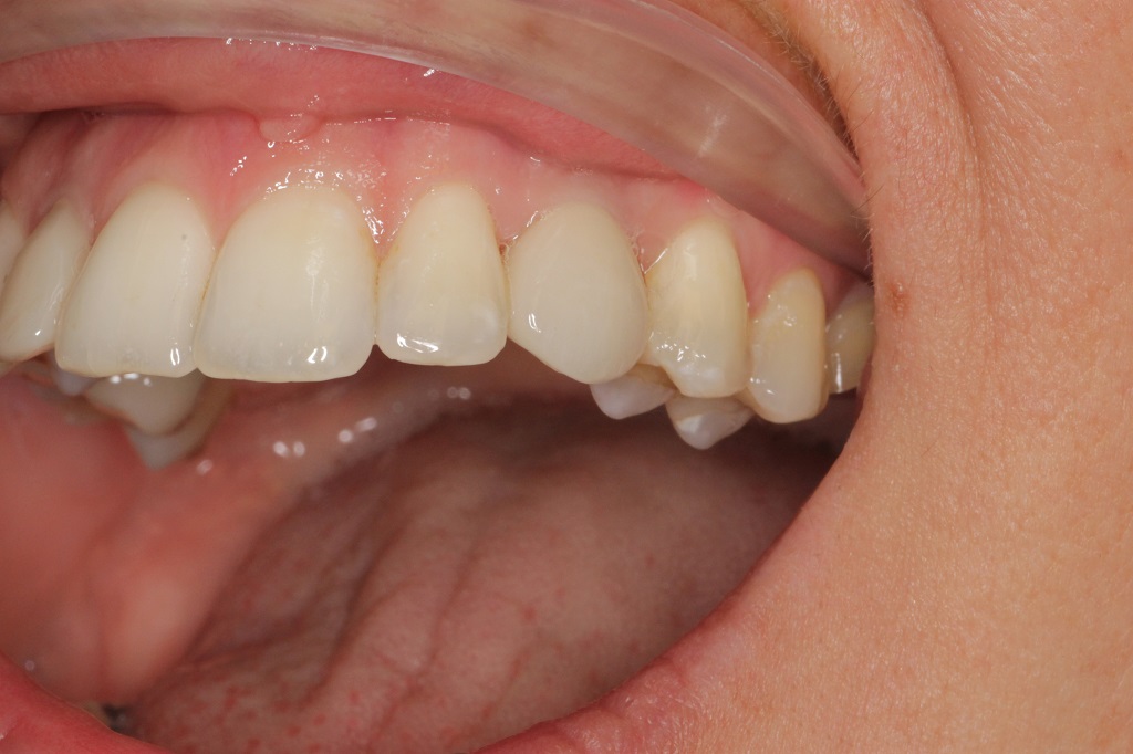
Какие протезы устанавливаются на импланты

Если вы планируете имплантацию зубов, немаловажно понимать, что на вживленный в костную ткань имплантат можно поставить любой протез.

К примеру, коронковая часть может быть изготовлена из:

  • цельнолитой керамики Е-Max (быстрое протезирование)
  • металлокерамики (универсальный способ, когда металлический базис снабжает протезу надежную прочность, а керамика – сходство с натуральными зубами)
  • диоксида циркония – метод элитного протезирования, характеризующегося долговечностью, крепостью и высоким уровнем эстетического вида

Мы советуем коронки из диоксида циркония

  • Износостойкие: Служат 15-20 лет, не подвержены стираемости
  • Практичные в эксплуатации: Практически не меняют цвет в процессе использования
  • Не отличить от своих зубов: Пропускают свет — выглядят более естественно
Светлов Александр Станиславович

Светлов Александр Станиславович

Стоматолог-терапевт
Светлов Александр Станиславович

Срок службы и гарантия

Клиника «Денталюкс-М» является официальным партнером компании Osstem (Коррея). Это означает, что мы не только используем лучшие в мире имплантационные системы, но и предоставляем нашим пациентам пожизненную гарантию на имплантаты, которую дает производитель.

  • Пожизненная

    Гарантия на импланты

  • 10 лет

    Гарантии на работу врача

  • Бесплатно

    Заменим имплант в течении гарантийного срока

Срок службы коронок зависит от материала, но в среднем равен 10-15 годам при правильном уходе.

Подробнее о гарантиях

Аналоги Osstem

Astra Tech

Аналогом Osstem является шведская компания - Astra Tech, которая не уступает в качестве и других характеристиках. Их имплантаты премиального класса обладают мощной научной базой и постоянно совершенствуются.

85 000 ₽
Подробнее
Astra Tech

Ankylos

Каталог имплантов Ankylos представляет несколько вариантов конструкций – по длине, диаметру платформы и наличию шестигранника. В систему входит 4 варианта конструкции, что облегчает их подбор согласно индивидуальным особенностям строения костной ткани и упрощает установку коронки из диоксида циркония.

65 000 ₽
Подробнее
Ankylos

Nobel

Одноэтапная имплантация зубов Nobel под ключ считается самой востребованной стоматологической процедурой на сегодняшний день.

73 000 ₽
Подробнее
Nobel

Наши партнёры

  • Наши партнёры
  • Наши партнёры
  • Наши партнёры
  • Наши партнёры
  • Наши партнёры
  • Наши партнёры
  • Наши партнёры
  • Наши партнёры
Медведев Роман Сергеевич
Автор статьи

Медведев Роман Сергеевич

Главный врач, Хирург-имплантолог, Ортопед

Ведущие врачи Москвы

Собрали лучших специалистов своей области

Все врачи

Возвращаем вам улыбку c 1998 года

Хорошее место 2026
Выбор пользовталей Яндекса
Пациенты Пациенты Пациенты Пациенты Пациенты Пациенты Пациенты Пациенты Пациенты Пациенты Пациенты
47 тыс+
Идеальных улыбок
Смотреть кейсы
Все отзывы

Независимый рейтинг

Нас рекомендуют 92% наших пациентов, оставляя отзывы на независимых порталах и в соцсетях. Клиника не может на них повлиять, поэтому они так ценны для нас.

Отзывы

Яндекс
Laura

Laura

19.06.2025

Хочу выразить благодсрность за теплый прием и высокое качество обслуживания в клинике! Чувствуется желание уделить внимание пациенту с учетом индивидуальных особеннлстей возникшей проблемы у пациента и психолически настроить пациента к предстоящей имплантации. Хочу выразить благодарность хирургу- имплантологу Медведеву Роману Сергеевичу за высокий профессионализм и чуткое отношение к пациенту во время проведения операции и во весь период до установки протеза на импланты! Врач от Бога! Никаких осложнений, синяков и прочее...Буду рекомендовать своим знакомым! Спасибо большое всему персоналу клиники за слаженную работу!

Ответы на частые вопросы

Как крепится коронка к импланту Osstem?
Коронка крепится к импланту Osstem с помощью абатмента, который устанавливается на имплант и фиксируется внутри него, обеспечивая прочное и стабильное соединение для установки коронки. Если у вас есть дополнительные вопросы, не стесняйтесь связаться с нами для получения более подробной информации и консультации.
Сколько лет на рынке корейские импланты Osstem?
Корейские импланты Остем находятся на рынке более 20 лет, зарекомендовав себя как надежные и эффективные изделия для дентальной имплантации.
Чем имплант Osstem отличается от Dentium?
Импланты Osstem отличаются уникальной микроструктурой поверхности, улучшенной системой внутреннего соединения и широким ассортиментом размеров, что обеспечивает лучшую приживляемость и стабильность по сравнению с Dentium.
Сколько стоят корейские импланты?
Корейские импланты Osstem стоят 42 000 рублей по акционной цене.
Кто производитель имплантов Остем?
Импланты производит компания Osstem из Южной Кореи, один из ведущих мировых производителей зубных имплантов, известная своим качеством и инновациями.

Записаться на приём

Оставьте заявку, и мы свяжемся с вами в течение 5 минут

Адрес
ул. Большая Спасская, 10к1
Телефон
+7 (495) 125-25-20
Время работы
Пн-Сб с 10:00 до 21:00
Напишите нам: