Комсомольская
Сухаревская
Проспект Мира
ул. Большая Спасская, 10к1
Пн-Сб с 10:00 до 21:00
Поиск
Услуги
Услуги
Диагностика
Диагностика
3D сканирование зубов
Конусно-лучевая компьютерная томография
Панорамный снимок зубов
Прицельный снимок
Рентген-снимок зубов
ТРГ-иследование
Имплантация зубов
Имплантация зубов
Виды имплантации зубов
Имплантация зубов под ключ
Двухэтапная имплантация
Дентальная имплантация зубов
Имплантация зубов верхней челюсти
Имплантация зубов нижней челюсти
Имплантация одного зуба
Одномоментная имплантация зубов
Одноэтапная имплантация зубов
Имплантация ALL-ON-4
Имплантация ALL-ON-6
Имплантация ALL-ON-8
Имплантация при патологиях
Имплантация зубов при сахарном диабете
Имплантация при пародонтозе и пародонтите
Подготовка к имплантации
Анализы перед имплантацией
При недостатке кости или десны
Закрытый синус-лифтинг
Костная пластика
Открытый синус-лифтинг
Пластика десны при имлантации
Синус-лифтинг
Установка имплантов
Имплантаты Impro (Германия)
Импланты Ankylos (Германия)
Импланты Astra Tech (Швеция)
Импланты MIS
Импланты Noris Medical (Израиль)
Импланты Osstem (Осстем)
Импланты Нобель (Nobel Biocare)
Протезирование на имплантах
Протезирование на имплантах
Имплантация при полной адентии
Коронки на имплант
Несъемные протезы на имплантах
Съемный протез на имплантах
Протезирование зубов
Протезирование зубов
Условно-съемные протезы
Люминиры
Съемные протезы
Акриловые протезы
Бюгельные протезы
Нейлоновые протезы
Протезы Акри Фри
Протезы Квадротти
Коронки на зубы
Зубной мост
Керамические вкладки
Керамические коронки
Металлокерамические коронки
Циркониевые коронки
Виниры
Керамические виниры
Композитные виниры
Циркониевые виниры
Лечение зубов
Лечение зубов
Гнатология
Лечение зубов под микроскопом
Лечение каналов зуба
Лечение кариеса
Лечение периодонтита
Лечение пульпита
Пломбирование зуба
Реставрация зубов
Гигиена полости рта
Гигиена полости рта
Пародонтологическая чистка
Реминерализация зубов
Снятие зубного камня Air Flow
Ультразвуковая чистка зубов
Фторирование зубов
Лазерная стоматология
Лазерная стоматология
Вестибулопластика
Лечение десен лазером
Лечение свища на десне
Ортодонтическое лечение
Ортодонтическое лечение
Брекет-системы
Брекеты Damon
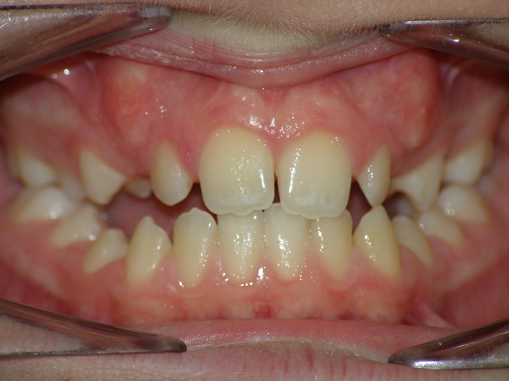
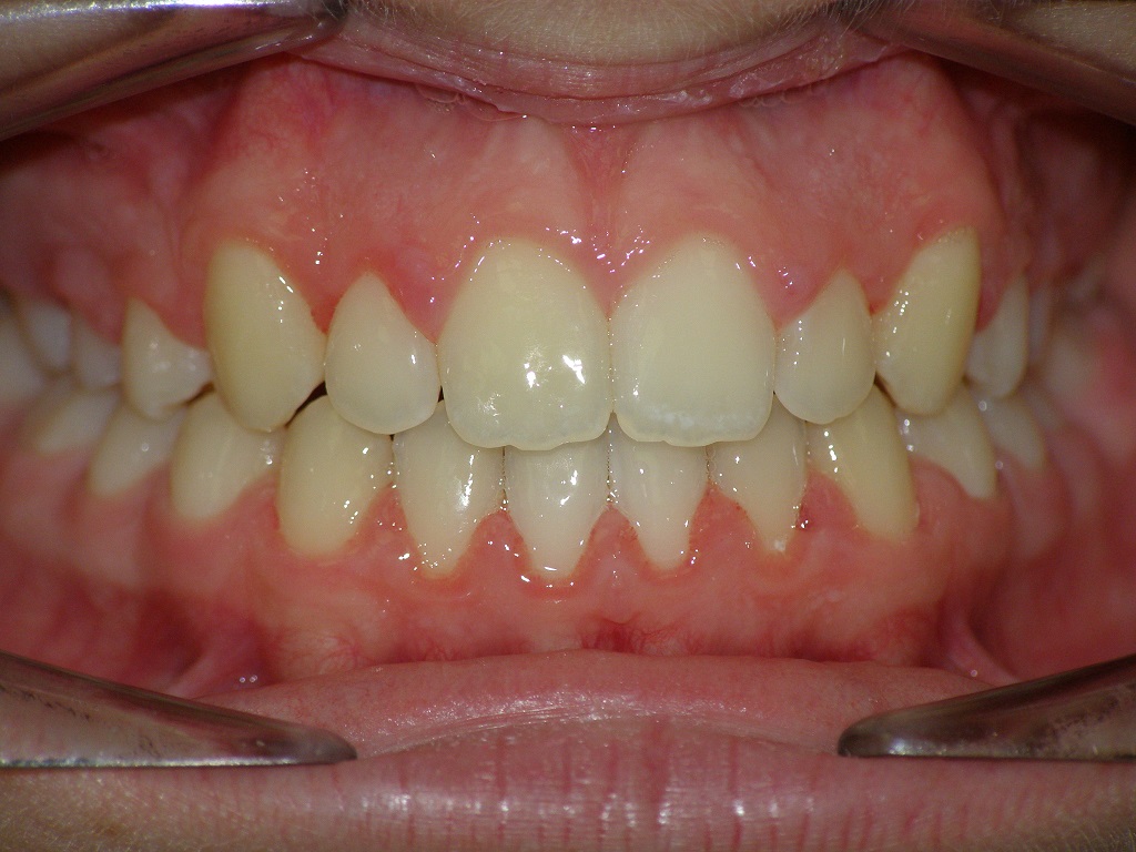
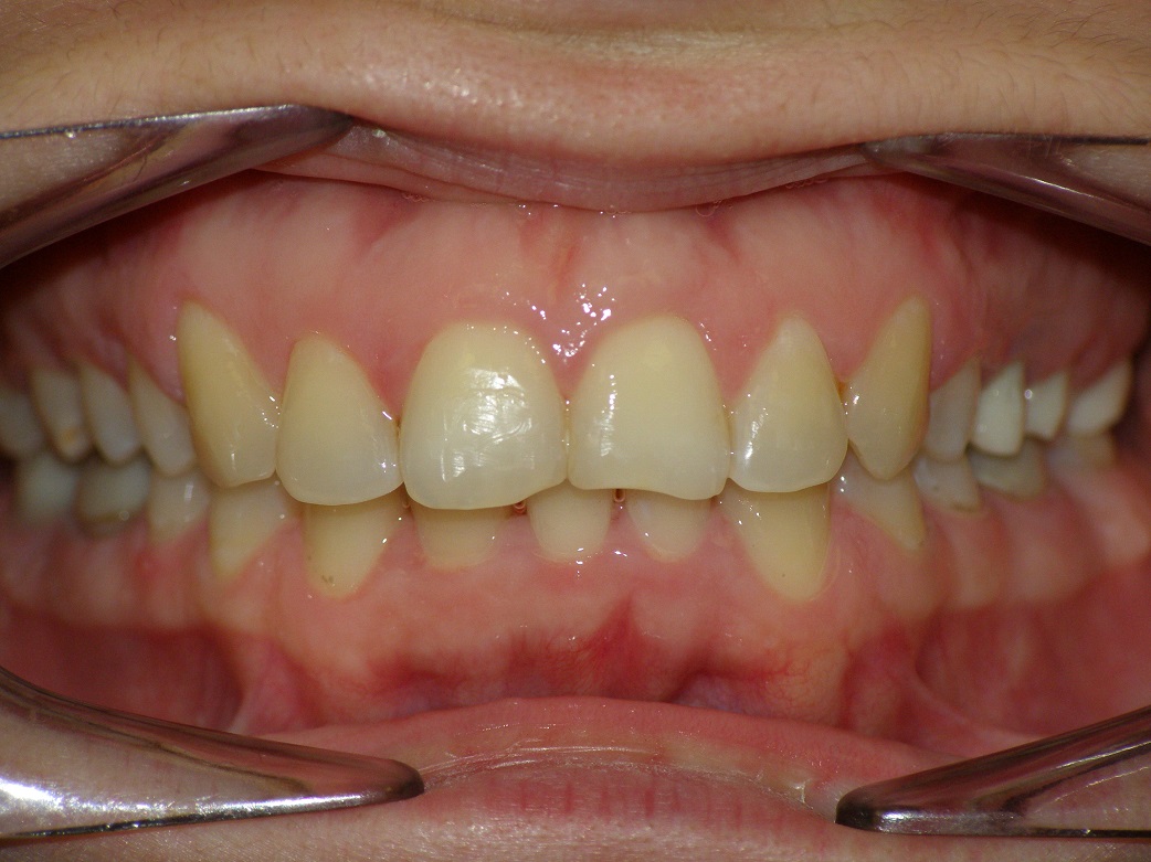
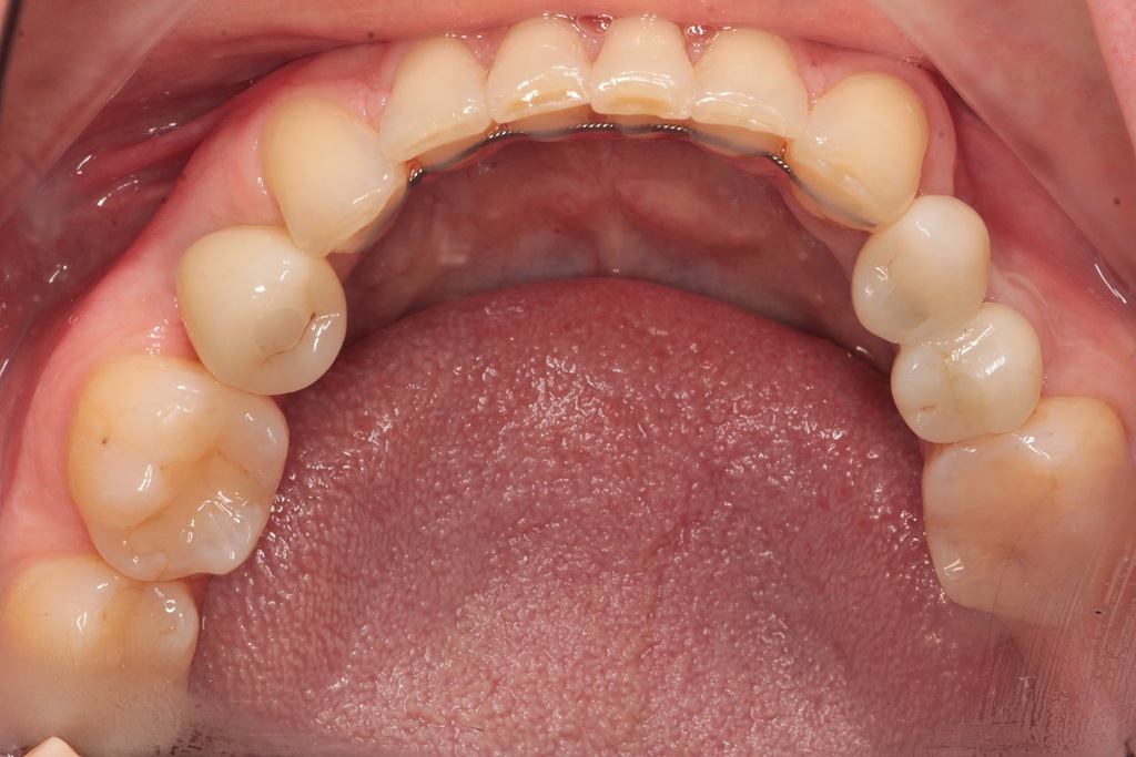
Исправление прикуса
Каппы Инвизилайн
Капы 3D Smile
Керамические брекеты
Лингвальные брекеты
Металлические брекеты
Сапфировые брекеты
Установка брекетов
Элайнеры
Отбеливание зубов
Отбеливание зубов
Внутриканальное отбеливание зубов
Лазерное отбеливание зубов
Отбеливание Opalescense Boost
Отбеливание зубов ZOOM
Холодное отбеливание зубов
Парадонтология (Лечение десен)
Парадонтология (Лечение десен)
Гингивотомия
Гингивэктомия
Закрытие рецессии десны
Кюретаж десен
Лечение гингивита
Лечение пародонтита
Лечение пародонтоза
Лечение стоматита
Лоскутная операция
Пластика десен
Пластика уздечки языка
Шинирование зубов
Хирургия
Хирургия
Альвеолэктомия
Вскрытие абсцесса десны
Гемисекция корня зуба
Консультация стоматолога-хирурга
Лечение альвеолита
Лечение остеомиелита
Лечение периостита
Плазмолифтинг десен
Простое удаление зуба
Резекция верхушки корня зуба
Сложное удаление зуба
Удаление дистопированного зуба
Удаление зуба
Удаление зуба мудрости
Удаление кисты зуба
Удаление корня зуба
Удаление ретинированного зуба
Удаление сверхкомплектного зуба
Удаление экзостозов
Врачи
Цены
Акции
Кейсы
Отзывы
О нас
О клинике
Собственная лаборатория
Пациентам
Лечение в рассрочку
Налоговый вычет
Лечение по ДМС
Цифровой протокол лечения
Статьи
Контакты
+7 (495) 125-25-20
Пн-Сб с 10:00 до 21:00
ул. Большая Спасская, 10к1
Записаться
+7 (495) 125-25-20
Записаться
Главная
Наши работы
Наши работы
Все врачи
Медведев Роман Сергеевич
Катаев Антон Викторович
Полянская Карина Витальевна
Попович Павел Леонидович
Габараева Наталия Валерьевна
Мкртчян Каринэ Егиевна
Собиров Аслиддин Худойбердиевич
Сучкова Мария Павловна
Все услуги
Протезировнаие
Отбеливание
Виниры Е маx
Композитные виниры
Гигиена
Ортодонтия
Лечение кариеса
Пародонтология
Имплантация
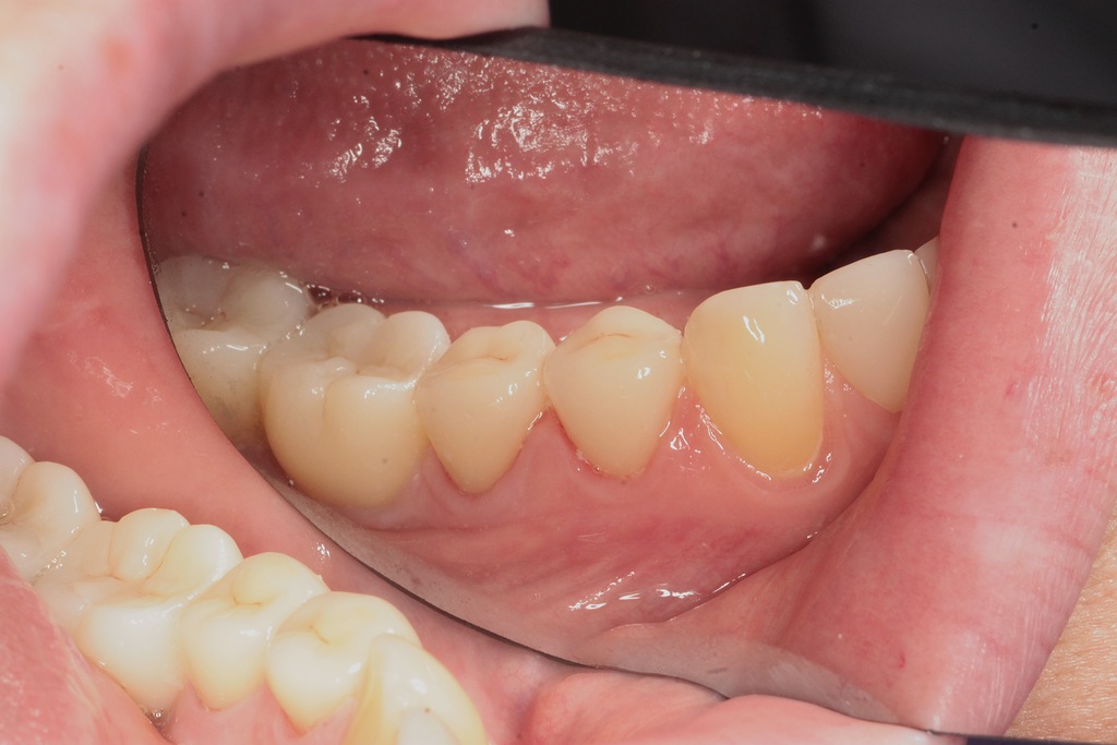
Восстановление верхней челюсти по системе All-on-6
Лечащие врачи
Медведев Роман
Сергеевич
Подробнее
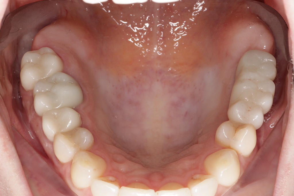
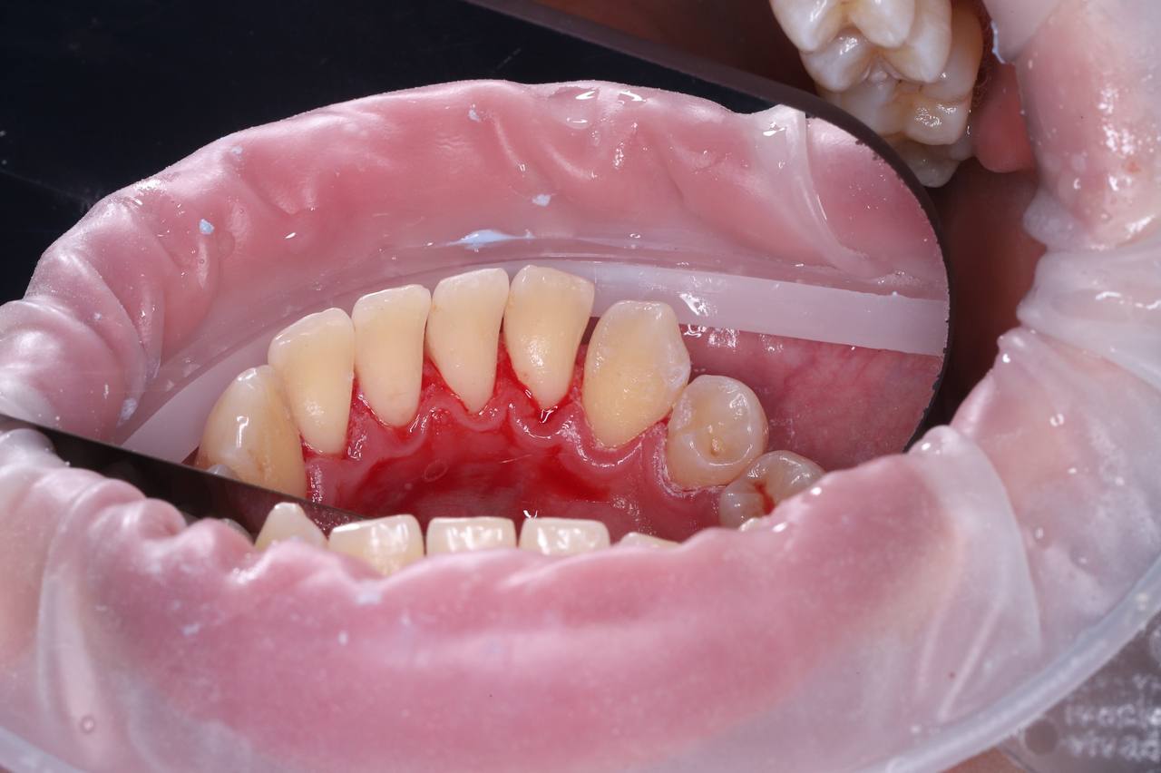
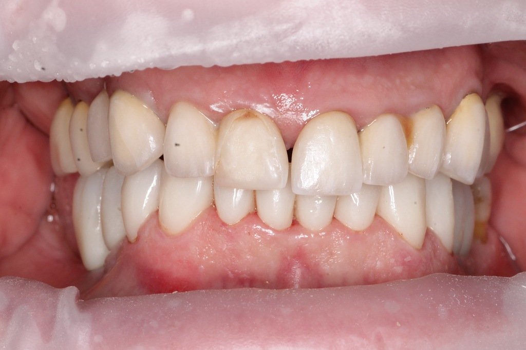
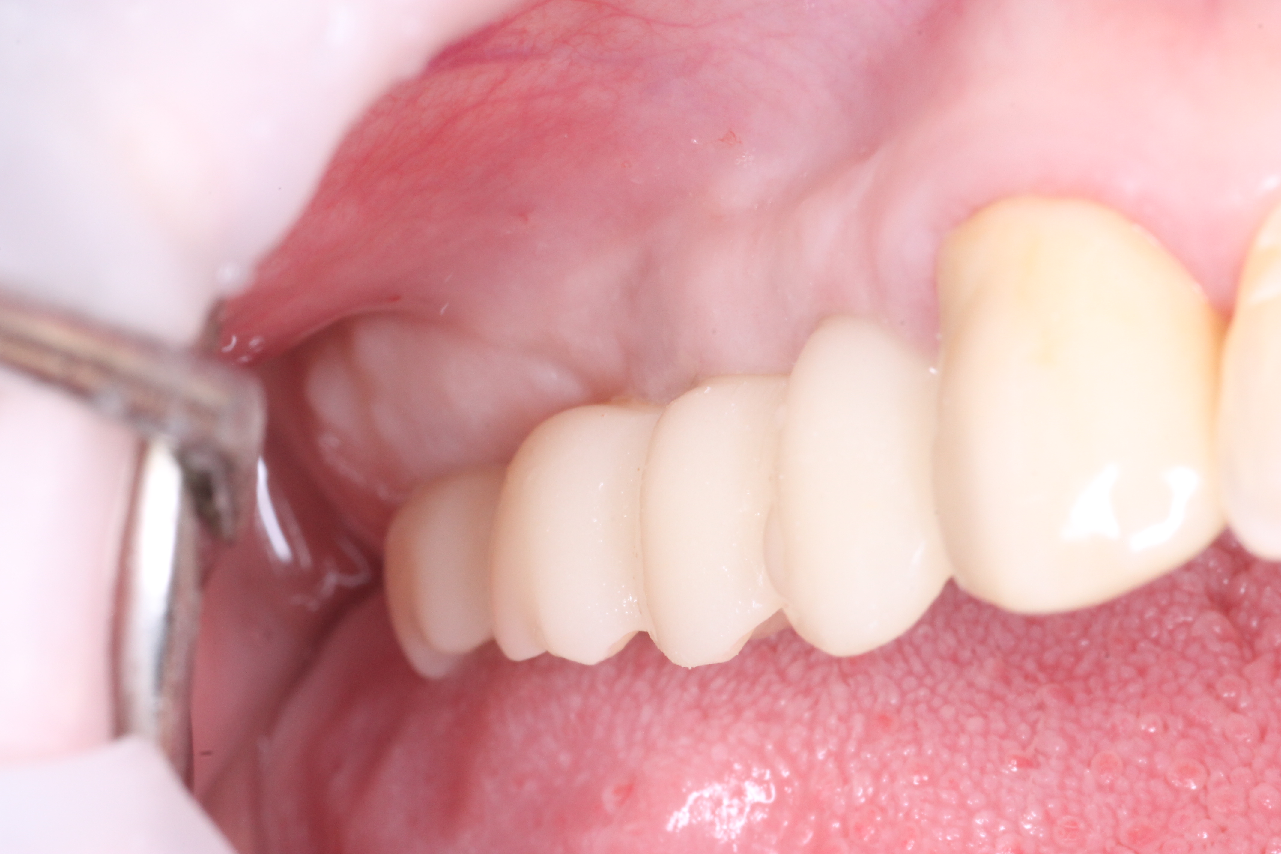
Десневая пластика в области имплантатов
Лечащие врачи
Полянская Карина
Витальевна
Подробнее
Десневая пластика в области имплантатов
Лечащие врачи
Полянская Карина
Витальевна
Подробнее
Десневая пластика в области имплантатов
Лечащие врачи
Полянская Карина
Витальевна
Подробнее
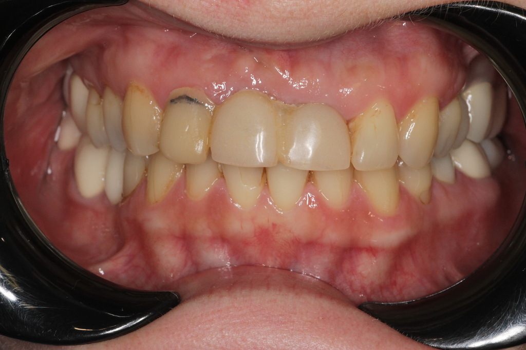
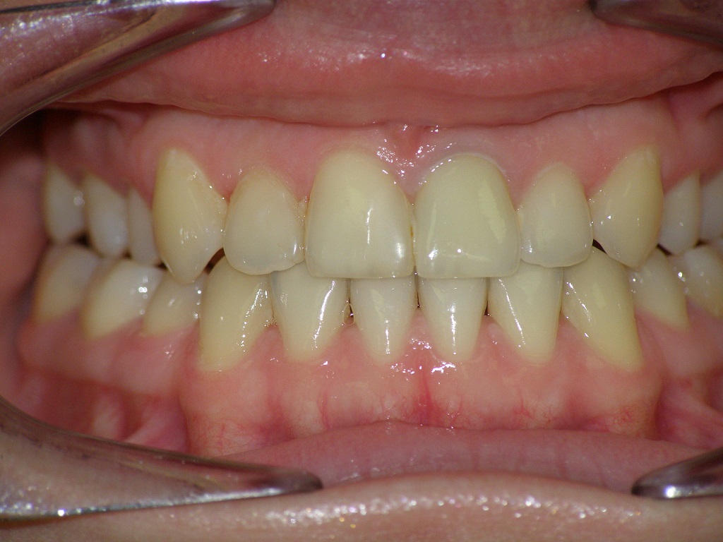
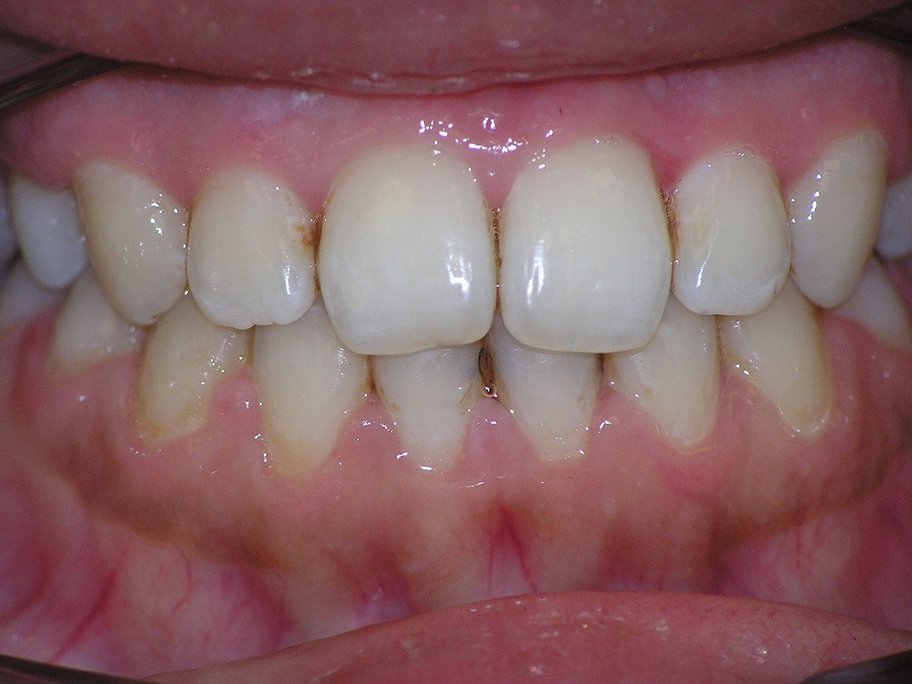
Художественная реставрация зубов
Лечащие врачи
Сучкова Мария
Павловна
Подробнее
Лечение кариеса
Лечащие врачи
Сучкова Мария
Павловна
Подробнее
Металлокерамические коронки
Лечащие врачи
Медведев Роман
Сергеевич
Подробнее
Циркониевые коронки
Лечащие врачи
Медведев Роман
Сергеевич
Подробнее
Коронки из диоксид циркония
Лечащие врачи
Медведев Роман
Сергеевич
Подробнее
Коронки из диоксид циркония
Лечащие врачи
Медведев Роман
Сергеевич
Подробнее
Коронки E-max
Лечащие врачи
Катаев Антон
Викторович
Подробнее
Виниры E-max
Лечащие врачи
Катаев Антон
Викторович
Подробнее
Виниры E-max
Лечащие врачи
Медведев Роман
Сергеевич
Подробнее
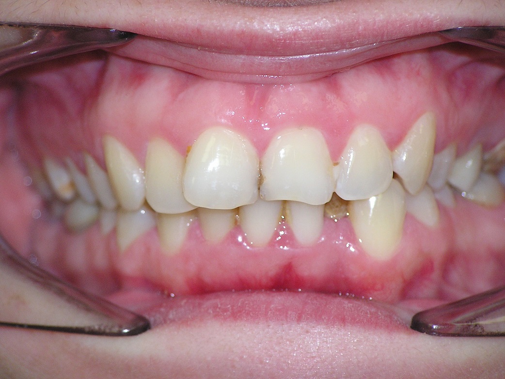
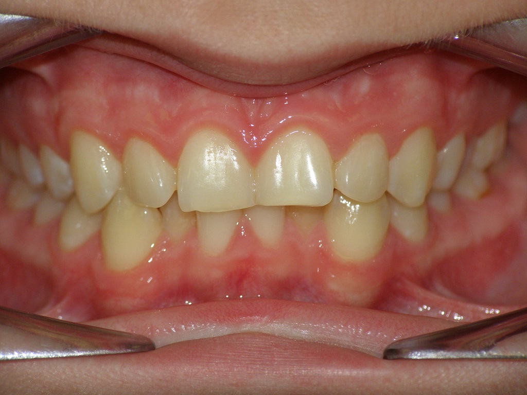
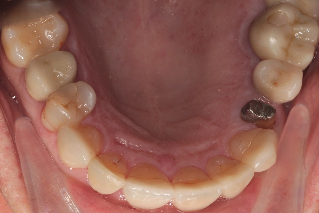
Имплантация и протезирование
Лечащие врачи
Катаев Антон
Викторович
Подробнее
Восстановление зубов ALL-ON-6
Лечащие врачи
Медведев Роман
Сергеевич
Подробнее
Имплантация 4 и 5 зубов нижней челюсти
Лечащие врачи
Медведев Роман
Сергеевич
Подробнее
Имплантация зуба в зоне улыбки
Лечащие врачи
Медведев Роман
Сергеевич
Подробнее
Имплантация жевательных зубов
Лечащие врачи
Медведев Роман
Сергеевич
Подробнее
Лечение гингивита
Лечащие врачи
Полянская Карина
Витальевна
Подробнее
Лечение гингивита
Лечащие врачи
Полянская Карина
Витальевна
Подробнее
Закрытие рецессий
Лечащие врачи
Полянская Карина
Витальевна
Подробнее
Лечение пародонтита
Лечащие врачи
Полянская Карина
Витальевна
Подробнее
Удлинение клинической коронки зуба
Лечащие врачи
Полянская Карина
Витальевна
Подробнее
Удлинение клинической коронки зуба
Лечащие врачи
Полянская Карина
Витальевна
Подробнее
Отбеливание Zoom 4
Лечащие врачи
Полянская Карина
Витальевна
Подробнее
Гигиена
Лечащие врачи
Полянская Карина
Витальевна
Подробнее
Гигиена
Лечащие врачи
Полянская Карина
Витальевна
Подробнее
Гигиена
Лечащие врачи
Полянская Карина
Витальевна
Подробнее
Отбеливание
Лечащие врачи
Полянская Карина
Витальевна
Подробнее
Отбеливание
Лечащие врачи
Полянская Карина
Витальевна
Подробнее
Отбеливание
Лечащие врачи
Полянская Карина
Витальевна
Подробнее
Отбеливание
Лечащие врачи
Полянская Карина
Витальевна
Подробнее
Отбеливание
Лечащие врачи
Полянская Карина
Витальевна
Подробнее
Отбеливание
Лечащие врачи
Полянская Карина
Витальевна
Подробнее
Исправление прикуса
Лечащие врачи
Попович Павел
Леонидович
Подробнее
Исправление прикуса
Лечащие врачи
Попович Павел
Леонидович
Подробнее
Исправление прикуса
Лечащие врачи
Попович Павел
Леонидович
Подробнее
Исправление прикуса
Лечащие врачи
Попович Павел
Леонидович
Подробнее
Исправление прикуса
Лечащие врачи
Попович Павел
Леонидович
Подробнее
Композитные виниры
Лечащие врачи
Габараева Наталия
Валерьевна
Подробнее
Композитные виниры
Лечащие врачи
Габараева Наталия
Валерьевна
Подробнее
Композитные виниры
Лечащие врачи
Габараева Наталия
Валерьевна
Подробнее
Композитные виниры
Лечащие врачи
Габараева Наталия
Валерьевна
Подробнее
Композитные виниры
Лечащие врачи
Габараева Наталия
Валерьевна
Подробнее
Композитные виниры
Лечащие врачи
Габараева Наталия
Валерьевна
Подробнее
Композитные виниры
Лечащие врачи
Габараева Наталия
Валерьевна
Подробнее
Композитные виниры
Лечащие врачи
Габараева Наталия
Валерьевна
Подробнее
Композитные виниры
Лечащие врачи
Габараева Наталия
Валерьевна
Подробнее
Композитные виниры
Лечащие врачи
Габараева Наталия
Валерьевна
Подробнее
Композитные виниры
Лечащие врачи
Габараева Наталия
Валерьевна
Подробнее
Композитные виниры
Лечащие врачи
Габараева Наталия
Валерьевна
Подробнее
Композитные виниры
Лечащие врачи
Габараева Наталия
Валерьевна
Подробнее
Композитные виниры
Лечащие врачи
Габараева Наталия
Валерьевна
Подробнее
Композитные виниры
Лечащие врачи
Габараева Наталия
Валерьевна
Подробнее
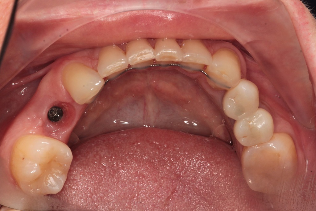
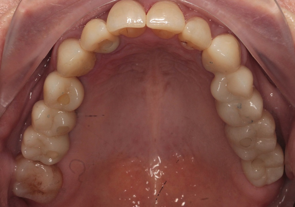
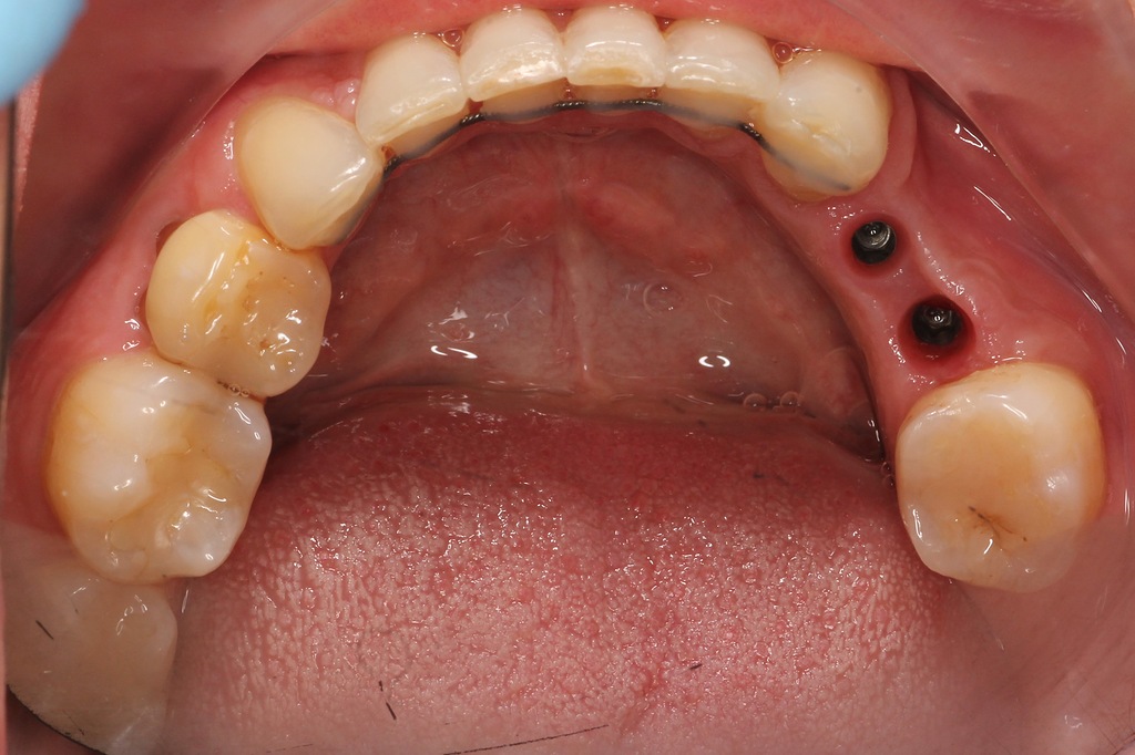
Установка имплантата
Лечащие врачи
Медведев Роман
Сергеевич
Подробнее
Имплантация зубов
Лечащие врачи
Медведев Роман
Сергеевич
Подробнее
Имплантация зубов
Лечащие врачи
Медведев Роман
Сергеевич
Подробнее
Имплантация зуба
Лечащие врачи
Медведев Роман
Сергеевич
Подробнее
Установка имплантата
Лечащие врачи
Медведев Роман
Сергеевич
Подробнее
Установка имплантата
Лечащие врачи
Медведев Роман
Сергеевич
Подробнее
Установка имплантата
Лечащие врачи
Медведев Роман
Сергеевич
Подробнее
Установка имплантата
Лечащие врачи
Медведев Роман
Сергеевич
Подробнее
All-on-6
Лечащие врачи
Катаев Антон
Викторович
Подробнее
Керамические виниры
Лечащие врачи
Катаев Антон
Викторович
Подробнее
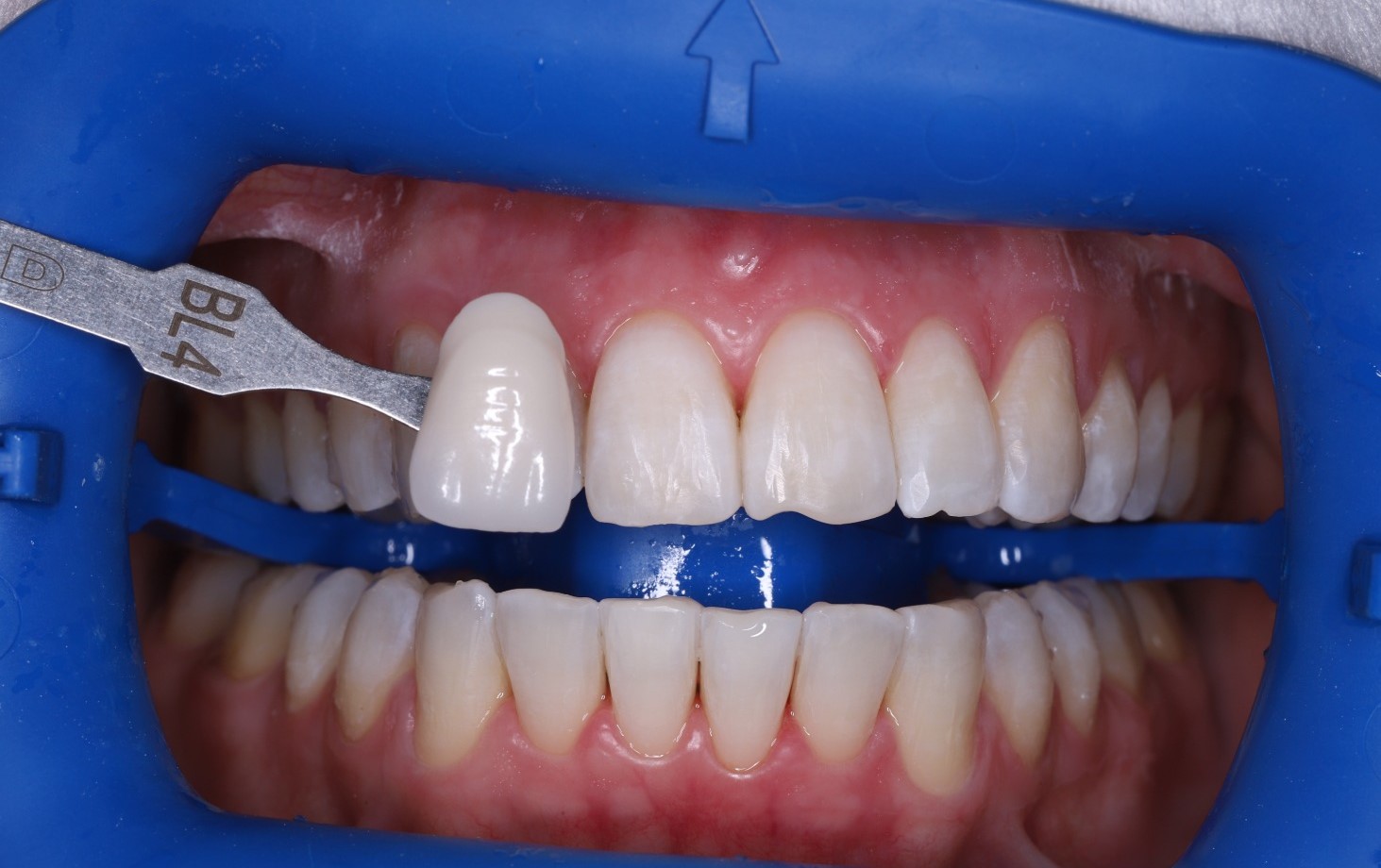
Виниры E-Max
Лечащие врачи
Катаев Антон
Викторович
Подробнее
Виниры E-Max
Лечащие врачи
Катаев Антон
Викторович
Подробнее
Виниры E-Max
Лечащие врачи
Катаев Антон
Викторович
Подробнее
Виниры E-Max
Лечащие врачи
Катаев Антон
Викторович
Подробнее
Виниры E-Max
Лечащие врачи
Катаев Антон
Викторович
Подробнее
Виниры E-Max
Лечащие врачи
Катаев Антон
Викторович
Подробнее
Виниры E-Max
Лечащие врачи
Катаев Антон
Викторович
Подробнее
Исправление прикуса брекетами
Лечащие врачи
Попович Павел
Леонидович
Подробнее
Исправление прикуса брекетами
Лечащие врачи
Попович Павел
Леонидович
Подробнее
Исправление прикуса брекетами
Лечащие врачи
Попович Павел
Леонидович
Подробнее
Исправление прикуса брекетами
Лечащие врачи
Попович Павел
Леонидович
Подробнее
Исправление прикуса брекетами
Лечащие врачи
Попович Павел
Леонидович
Подробнее
Исправление прикуса брекетами
Лечащие врачи
Попович Павел
Леонидович
Подробнее
Исправление прикуса брекетами
Лечащие врачи
Попович Павел
Леонидович
Подробнее
Исправление прикуса брекетами
Лечащие врачи
Попович Павел
Леонидович
Подробнее
Исправление прикуса брекетами
Лечащие врачи
Попович Павел
Леонидович
Подробнее
Исправление прикуса брекетами
Лечащие врачи
Попович Павел
Леонидович
Подробнее
Исправление прикуса брекетами
Лечащие врачи
Мкртчян Каринэ
Егиевна
Подробнее
Исправление прикуса брекетами
Лечащие врачи
Мкртчян Каринэ
Егиевна
Подробнее
Исправление прикуса брекетами
Лечащие врачи
Мкртчян Каринэ
Егиевна
Подробнее
Исправление прикуса брекетами
Лечащие врачи
Мкртчян Каринэ
Егиевна
Подробнее
Исправление прикуса брекетами
Лечащие врачи
Мкртчян Каринэ
Егиевна
Подробнее
Лечение кариеса
Лечащие врачи
Собиров Аслиддин
Худойбердиевич
Подробнее
Лечение кариеса
Лечащие врачи
Собиров Аслиддин
Худойбердиевич
Подробнее
Лечение кариеса
Лечащие врачи
Собиров Аслиддин
Худойбердиевич
Подробнее
Лечение кариеса
Лечащие врачи
Собиров Аслиддин
Худойбердиевич
Подробнее
Гигиена
Лечащие врачи
Полянская Карина
Витальевна
Подробнее
Гигиена
Лечащие врачи
Полянская Карина
Витальевна
Подробнее
Гигиена
Лечащие врачи
Полянская Карина
Витальевна
Подробнее
Гигиена
Лечащие врачи
Полянская Карина
Витальевна
Подробнее
Гигиена
Лечащие врачи
Полянская Карина
Витальевна
Подробнее
Лечение кариеса
Лечащие врачи
Собиров Аслиддин
Худойбердиевич
Подробнее
Лечение кариеса
Лечащие врачи
Собиров Аслиддин
Худойбердиевич
Подробнее
Лечение кариеса
Лечащие врачи
Собиров Аслиддин
Худойбердиевич
Подробнее
Лечение кариеса
Лечащие врачи
Собиров Аслиддин
Худойбердиевич
Подробнее
Записаться на приём
Оставьте заявку, и мы свяжемся с вами в течение 5 минут
Жду звонка
Я соглашаюсь на
обработку персональных данных
.
Адрес
ул. Большая Спасская, 10к1
Телефон
+7 (495) 125-25-20
Время работы
Пн-Сб с 10:00 до 21:00
Напишите нам: