• Комсомольская
  • Сухаревская
  • Проспект Мира
ул. Большая Спасская, 10к1
Пн-Сб с 10:00 до 21:00
ДентаЛюкс-М +7 (495) 125-25-20
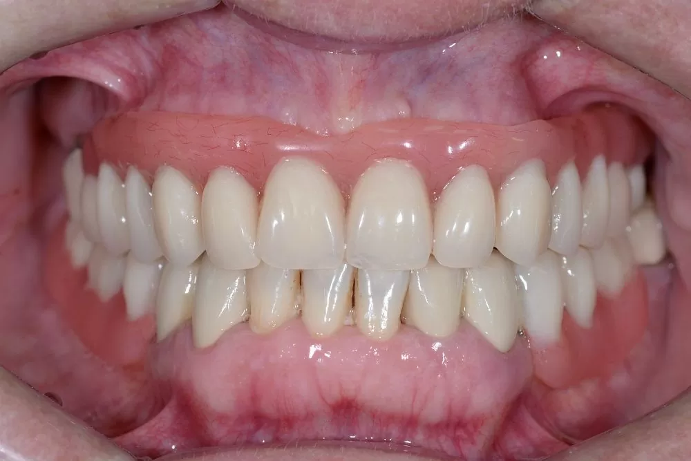
Лучшее современное решение для восстановления зубов

Несъемные протезы на имплантах

Несъемные протезы на имплантах

При значительной потере зубов или полном отсутствии зубного ряда одной из основных задач лечения становится восстановление стабильной жевательной функции и естественного внешнего вида улыбки. Несъёмные протезы на имплантах позволяют закрепить ортопедическую конструкцию на имплантах, установленных в костную ткань челюсти. В результате протез фиксируется надёжно и не требует ежедневного снятия.

Импланты выполняют роль искусственных корней зубов и служат опорой для протеза. Благодаря этому жевательная нагрузка передаётся на костную ткань, как при естественных зубах. Такой принцип фиксации обеспечивает устойчивость конструкции во время разговора и приёма пищи, а также снижает риск смещения протеза.

Перед планированием лечения проводится диагностика, которая включает компьютерную томографию челюсти. Исследование позволяет оценить объём костной ткани, расположение анатомических структур и выбрать оптимальное количество имплантов для фиксации протеза. На основании этих данных врач определяет наиболее подходящий способ восстановления зубного ряда.

Несъёмные протезы могут применяться как при отсутствии нескольких зубов, так и при полной адентии. Такой метод позволяет восстановить зубной ряд одной конструкцией, вернуть полноценную жевательную функцию и обеспечить более естественные ощущения по сравнению со съёмными протезами.

Зафиксируйте стоимость имплантации ALL ON 4 Osstem — 🔥 за 205 000 ₽

Вы уже видели рекламу имплантации за 7-10 тысяч рублей?
Вот, что входит в настоящую имплантацию «под ключ» и без доплат:

1. Этапы лечения

Этап, на котором ставят только имплант и который выдаётся некоторыми клиниками за имплантацию «под ключ»

4 импланта Osstem (Юж. Корея)
4 импланта Osstem (Юж. Корея)
Работа имплантолога
Работа имплантолога
Заживляющие колпачки
Заживляющие колпачки
Цена за 1 этап
180 000 ₽ 250 000 ₽
🔥 Акция до 31.03
Цена за 1 этап
180 000 ₽ 250 000 ₽
🔥 Акция до 31.03

2. Ортопедический этап лечения

Создаем протезы премиального качества в собственной лаборатории

Абатмент
Абатмент
Сьемный протез на фрезерованной балке
Сьемный протез на фрезерованной балке
Работа ортопеда
Работа ортопеда
Цена за 2 этап
55 000 ₽
Цена за 2 этап
55 000 ₽
Итого за готовый зуб
🔥 Акция до 31.03

Итого за одну челюсть

205 000 ₽ 250 000 ₽

Нажимая кнопку «Забронировать цену», вы даёте согласие на обработку персональных данных в соответствии с персональных данных

  • Фиксируем цены

    Цены не меняются в процессе лечения

  • Налоговый вычет

  • Собственная лаборатория

Стоимость несъемного протеза на имплантах в медицинской клинике "ДентаЛюкс-М" рассчитывается персонально, учитывая различные факторы. Мы предоставляем бесплатные предварительные консультации для точного определения затрат на восстановление вашей улыбки. Разнообразные аспекты влияют на общие расходы, включая выбор метода протезирования, тип используемого материала и количество восстанавливаемых зубов. Наши специалисты готовы помочь вам выбрать оптимальное решение, учитывая ваши эстетические предпочтения и финансовые возможности. Восстановите свою улыбку с уверенностью, зная, что наши профессионалы подберут оптимальное решение, соответствующее вашим потребностям.

Цены на неcъемный протез на имплантах

Наша цена
Средняя в Москве

Имплантация зубов

  • Имплантация зубов OSSTEM

    имплантат, установка диоксид циркониевой коронки
    Корея
    Корея
    🔥 Акция до 30.04
    54 900 45 000 ₽
    Средняя цена в Москве 56 000 ₽
  • Имплантация зубов NOBEL

    имплантат, установка диоксид циркониевой коронки
    Швейцария
    Швейцария
    🔥 Акция до 30.04
    78 000 73 000 ₽
    Средняя цена в Москве 88 000 ₽
  • Имплантация зубов MIS (Израиль)

    имплантат, установка диоксид циркониевой коронки
    🔥 Акция до 30.04
    74 000 57 000 ₽
    Средняя цена в Москве 75 000 ₽
  • Имплантация зубов Ankylos (Германия)

    имплантат, установка диоксид циркониевой коронки
    🔥 Акция до 30.04
    79 400 65 000 ₽
    Средняя цена в Москве 86 000 ₽
  • Имплантация зубов IMPRO (Германия)

    имплантат, установка диоксид циркониевой коронки
    🔥 Акция до 30.04
    71 500 55 900 ₽
    Средняя цена в Москве 92 000 ₽
  • Имплантация зубов ASTRA (Швеция)

    имплантат, установка диоксид циркониевой коронки
    🔥 Акция до 30.04
    120 000 85 000 ₽
    Средняя цена в Москве 110 000 ₽
  • Имплантация ALL-ON-4

    установка 4 имплантатов, установка композитного протеза с винтовой фиксацией
    235 000 ₽
    Средняя цена в Москве 250 000 ₽
  • Имплантация ALL-ON-6

    установка 6 имплантатов, установка композитного протеза с винтовой фиксацией
    290 000 ₽
    Средняя цена в Москве 320 000 ₽
Все цены

Что это такое?

Несъемный протез на имплантах — это искусственная зубная дуга (полная или частичная), которая постоянно фиксируется на вживленные в челюсть титановые импланты. В отличие от съемных конструкций, вы не можете снять их самостоятельно. Они ощущаются и функционируют как ваши собственные зубы.

Основные компоненты системы:

Импланты

От 2 до 6-8 (иногда больше) титановых «корней», вживленных в кость челюсти.

Протез

Цельная конструкция, имитирующая зубной ряд и десну, изготовленная из акрила, композита или циркония.

Крепление: Система фиксации, которая намертво соединяет протез с имплантами (цементная или винтовая фиксация).

Крепление

Система фиксации, которая намертво соединяет протез с имплантами (цементная или винтовая фиксация).

Как проходит диагностика и почему это важно

Диагностика перед имплантацией зубов включает первичный осмотр у стоматолога, рентгенологические исследования (в том числе КТ) и анализы крови, а также сбор анамнеза.

Первичный осмотр и сбор анамнеза

Стоматолог оценивает состояние полости рта, слизистых оболочек, выявляет сопутствующие заболевания (например, заболевания десен), аллергии, хронические болезни и принимаемые препараты

Первичный осмотр

Ортопантомограмма (ОПГ)

Панорамный снимок челюсти для общего понимания состояния зубов, челюстной системы и окружающих тканей.

Компьютерная томография (КТ)

Трехмерное сканирование для получения максимально точной информации о плотности, объеме и структуре костной ткани, а также о расположении нервов, пазух и корней соседних зубов.

Рентгенологические исследования

Анализы крови

Общий анализ крови (для выявления воспалений, анемии), биохимический анализ (уровень глюкозы, состояние почек и печени), анализы на ВИЧ, гепатиты, сифилис, группу крови, резус-фактор.

Коагулограмма

Анализ свертываемости крови, необходимый перед любой операцией.

Дополнительные анализы

По назначению врача могут потребоваться анализы на гормоны щитовидной железы и уровень витамина D3.

Лабораторные исследования

Полная улыбка за 4-6 имплантов

Если вы потеряли все или большинство зубов на одной или обеих челюстях, современная стоматология предлагает решение, кардинально меняющее качество жизни — несъемные протезы на имплантах. Это не просто замена утраченным зубам, это возвращение к полноценной жизни: возможности есть любую пищу, уверенно улыбаться и не беспокоиться о том, что протез может выпасть.

Виды несъемных протезов на имплантах

Существует следующие основные подходы, которые выбираются в зависимости от клинической ситуации, состояния костной ткани и бюджета пациента.

Если отсутствует один зуб, обычно устанавливается коронка на имплант. Для этого используется абатмент, выступающий над костью, а коронка скрывается под слизистой для улучшения эстетики. Чаще всего применяются металлокерамика или цирконий. Циркониевые коронки особенно подходят для передних зубов благодаря их природному цвету и долговечности.

При немедленной нагрузке коронка может быть установлена в день имплантации. Она изготавливается из металла и пластмассы, высота зуба при этом корректируется, чтобы избежать давления на имплант и сохранить эстетику.

Если отсутствует несколько зубов, обычно устанавливаются два или более имплантов. При наличии достаточной десны можно закрепить мост, состоящий из коронок. В случае нехватки десны возможна хирургическая коррекция или использование мостов с искусственной десной, которая скрывает неровности.

Для таких мостов используются металлокерамика и цирконий. Благодаря прочности и эстетичности, цирконий отлично подходит для протезов, состоящих из пяти и более коронок. Несъемные протезы из циркония служат более 20 лет, как и сами импланты.

Протез на 4 имплантах — современное решение для восстановления утраченных зубов. Импланты устанавливаются в челюсть, обеспечивая надежную фиксацию несъемного протеза. Этот метод восстанавливает жевательные функции, комфорт и естественный внешний вид.

Количество имплантов может варьироваться в зависимости от клинической ситуации, но использование 4 имплантов — распространённое и эффективное решение для большинства пациентов.

Какие импланты устанавливаются?

В клинике «ДентаЛюкс-М» используются имплантационные системы надежных и известных марок:

Совместно с хирургом-имплантологом можно подобрать импланты приемлемой ценовой категории, отвечающие всем требованиям клинической картины.

Nobel Boicare

Nobel – одна из самых старых компаний-производителей имплантатов из Швейцарии. На протяжении многих лет является лидером рынка, так как обеспечивает высочайшее качество имплантов, постоянно развивает технологии, создает новые линейки конструкции для любых клинических ситуаций. Недостаток – стоят дороже всего.

ASTRA

Компания-производитель имплантов ASTRA – Швеция. Это конструкции высочайшего качества, которые делят лидерскую позицию с Nobel на рынке. Каждый имплантат проходит многократную проверку качества, имеет свой специфический номер. Подделать импланты очень сложно. Стоимость таких конструкций соответствующая.

Ankylos

Импланты немецкого производства, которые отличаются следующими достоинствами:

  • Гарантия отсутствия даже минимальной подвижности импланта в кости
  • Возможность фиксации импланта под костным гребнем для более надежной фиксации и сохранения здоровья твердых тканей
  • Обеспечение специальной поддержки мягким тканям для длительной службы

Доказано, что система способствует сохранению и восстановлению окружающих тканей. Недостаток – высокая стоимость в сравнении с экономными вариантами.

MIS

Конструкции израильского производства со строгим контролем качества. Компания входит в 10 лучших производителей имплантатов во всем мире и выпускает только проверенные сертифицированные конструкции разных видов. При этом стоимость имплантатов, в сравнении с конструкциями премиум класса, остается в доступных пределах.

IMPRO

Импланты германского производства, которые успели хорошо зарекомендовать себя на рынке. Преимущества:

  • Особая форма резьбы, позволяющая плотнее зафиксировать имплант в кости
  • Специальная обработка поверхности исключает риск попадания микроскопических инородных тел в лунку
  • Семикратная очистка гарантирует абсолютную чистоту конструкции перед установкой
  • Есть возможность проведения имплантации с немедленной нагрузкой

Компания предлагает широкий ассортимент конструкций, поэтому можно подобрать имплант для любой ситуации. Относительный недостаток: компания появилась недавно

Osstem

Зубные импланты Osstem пользуются высоким спросом благодаря своим многочисленным преимуществам.

  • Долговечность: Изготовленные из высококачественных материалов, эти импланты гарантируют долгий срок службы.
  • Эстетика: Импланты Osstem идеально имитируют натуральные зубы, обеспечивая естественный внешний вид.
  • Биосовместимость: Высокий уровень биосовместимости материалов снижает риск отторжения и воспалений, обеспечивая надежное приживление.
  • Удобство установки: Современные технологии и методики позволяют проводить процедуру установки быстро и с минимальным дискомфортом для пациента.

Преимущества несъемных протезов

  • Устойчивость и комфорт
  • Естественный вид
  • Высокая жевательная функция
  • Предотвращение атрофии кости
  • Долговечность
Медведев Роман Сергеевич

Медведев Роман Сергеевич

Главный врач, Хирург-имплантолог, Ортопед
Медведев Роман Сергеевич

Собственная лаборатория и премиальное качество материалов

Доступные цены, быстрые сроки изготовления и возможность оперативной корректировки достигаются благодаря эффективной работе собственной лаборатории и поставкам напрямую от производителя.

Лаборатория
Европейские
стандарты Лаборатория
Конструкции
любой сложности
Импортные
материалы Лаборатория
Из чего складывается стоимость

Этапы протезирования зубов на имплантах

Процесс протезирования начинается с диагностики и планирования. Затем проводится установка имплантов, которые интегрируются с костью челюсти. После периода заживления крепится постоянная коронка или мост. Каждый этап важен для достижения долговечного и естественного результата.

Этапы

  • Диагностика и планирование

    Консультация, КТ, 3D-моделирование. Врач определяет количество и места установки имплантов.
  • Хирургический этап

    Вживление имплантов в кость. Может проводиться по одноэтапному (сразу с временным протезом) или двухэтапному протоколу.
  • Период остеоинтеграции

    Импланты приживаются в кости (от 3 до 6 месяцев). В это время пациент носит временный протез.
  • Протезирование

    Снятие слепков, изготовление и фиксация постоянного несъемного протеза.

Показания для установки несъемных протезов

  • Значительные повреждения зуба:  Если зуб серьезно поврежден и требует удаления.
  • Отсутствие одного зуба: Когда отсутствует один зуб, возможно его замещение несъемным протезом.
  • Потеря нескольких соседних зубов: В случае потери нескольких зубов, расположенных друг за другом.
  • Полная утрата зубов (тотальная адентия): Когда все зубы отсутствуют, требуется комплексное решение, такое как несъемные протезы.

Уход и эксплуатация

Успешная эксплуатация несъемных протезов на имплантах во многом зависит от правильного ухода. Соблюдение рекомендаций по уходу способствует долговечности протезов, предотвращению проблем и поддержанию общего здоровья полости рта. В этом контексте представляются основные действия по уходу за несъемными протезами на имплантах.
Светлов Александр Станиславович

Светлов Александр Станиславович

Стоматолог-терапевт
Светлов Александр Станиславович

Срок службы и гарантия

В клинике «Денталюкс-М» используются разные виды имплантатов. Срок гарантии зависит от производителя. Наш стоматологический центр сотрудничает только с теми компаниями, которые предоставляют пожизненную гарантию на каждый имплантат.

  • Пожизненная

    Гарантия на импланты

  • 10 лет

    Гарантии на работу  врача

  • Бесплатно

    Заменим имплант в течении гарантийного срока

Срок службы коронок зависит от материала, но в среднем равен 10-15 годам при правильном уходе

Подробнее о гарантиях

Альтернативные методы лечения

Протезы на имплантах

Полные протезы на имплантах (All-on-4, All-on-6) - Этот способ используется при полной адентии — отсутствии всех зубов на одной или обеих челюстях. На 4 или 6 имплантах фиксируется полноценный зубной ряд, который выглядит и ощущается как естественные зубы. Методика All-on-4 позволяет установить временный протез уже в день операции, что особенно важно для пациентов, не желающих оставаться без зубов даже на короткий период. Через несколько месяцев временная конструкция заменяется на постоянную. Результат — прочная фиксация, восстановление нормального прикуса и уверенная улыбка.
260 000 ₽
Подробнее
Протезы на имплантах

Съемные протезы

Условно-съёмные гибридные протезы - Гибридные конструкции объединяют преимущества съёмных и несъёмных систем. Они надёжно крепятся к имплантам с помощью специальных фиксаторов, что обеспечивает стабильность и комфорт при ношении. При этом стоматолог может снять протез для профессиональной чистки или технического обслуживания. Такой тип протезирования выбирают пациенты, которые хотят совместить эстетику несъёмных конструкций и удобство ухода за съёмными протезами. Гибридные решения позволяют сохранить чёткую дикцию, комфорт при приёме пищи и полностью восстановить внешний вид зубного ряда.
18 000 ₽
Подробнее
Съемные протезы

Наши партнёры

  • Наши партнёры
  • Наши партнёры
  • Наши партнёры
  • Наши партнёры
  • Наши партнёры
  • Наши партнёры
  • Наши партнёры
  • Наши партнёры
Медведев Роман Сергеевич
Автор статьи

Медведев Роман Сергеевич

Главный врач, Хирург-имплантолог, Ортопед

Ведущие врачи Москвы

Собрали лучших специалистов своей области

Все врачи

Возвращаем вам улыбку c 1998 года

Хорошее место 2026
Выбор пользовталей Яндекса
Пациенты Пациенты Пациенты Пациенты Пациенты Пациенты Пациенты Пациенты Пациенты Пациенты Пациенты
47 тыс+
Идеальных улыбок
Смотреть кейсы
Все отзывы

Независимый рейтинг

Нас рекомендуют 92% наших пациентов, оставляя отзывы на независимых порталах и в соцсетях. Клиника не может на них повлиять, поэтому они так ценны для нас.

Отзывы

Яндекс
Laura

Laura

19.06.2025

Хочу выразить благодсрность за теплый прием и высокое качество обслуживания в клинике! Чувствуется желание уделить внимание пациенту с учетом индивидуальных особеннлстей возникшей проблемы у пациента и психолически настроить пациента к предстоящей имплантации. Хочу выразить благодарность хирургу- имплантологу Медведеву Роману Сергеевичу за высокий профессионализм и чуткое отношение к пациенту во время проведения операции и во весь период до установки протеза на импланты! Врач от Бога! Никаких осложнений, синяков и прочее...Буду рекомендовать своим знакомым! Спасибо большое всему персоналу клиники за слаженную работу!

Ответы на частые вопросы

Сколько времени занимает изготовление несъёмного протеза?

После установки имплантов необходимо время для их приживления. Этот период позволяет имплантам надёжно соединиться с костной тканью.

После этого изготавливается постоянная ортопедическая конструкция, которая фиксируется на имплантах.

Можно ли заменить старый съёмный протез на несъёмный?

Да, многие пациенты переходят со съёмных протезов на конструкции на имплантах. Это позволяет повысить стабильность зубного ряда и улучшить комфорт при жевании.

Перед лечением проводится диагностика, которая определяет возможность установки имплантов и тип будущего протеза.

Можно ли установить несъёмный протез только на одной челюсти?

Да, протезирование может проводиться отдельно для верхней или нижней челюсти. Вторая челюсть может иметь собственные зубы или другую ортопедическую конструкцию.

При планировании лечения врач учитывает прикус и нагрузку между челюстями, чтобы обеспечить стабильность всей системы.

Можно ли снять несъёмный протез самостоятельно?

Такие конструкции не предназначены для самостоятельного снятия. Протез фиксируется на имплантах и снимается только врачом при необходимости профилактического обслуживания.

Это обеспечивает стабильность конструкции и предотвращает её смещение во время жевания.

Чем несъёмный протез отличается от обычных зубных мостов?

Зубной мост фиксируется на собственных зубах пациента. Для этого соседние зубы обычно обтачиваются и становятся опорой конструкции.

Несъёмный протез на имплантах крепится на имплантах, поэтому соседние зубы не подвергаются обработке и не несут дополнительной нагрузки.

Можно ли поставить несъёмный протез сразу после удаления зубов?

Иногда протезирование возможно вскоре после установки имплантов. В таких случаях используется временная конструкция, которая помогает сохранить эстетику и функцию зубного ряда.

Постоянный протез устанавливается после завершения периода приживления имплантов, когда ткани вокруг них стабилизируются.

Будет ли протез ощущаться как собственные зубы?

После адаптационного периода большинство пациентов практически не ощущают разницы между протезом и собственными зубами. Конструкция фиксируется жёстко и не смещается во время еды или разговора.

Это связано с тем, что импланты передают жевательную нагрузку на костную ткань аналогично естественным корням зубов.

Сколько зубов может заменить один несъёмный протез на имплантах?

Несъёмный протез может замещать как один зуб, так и сразу несколько или весь зубной ряд. В случае полной адентии протез фиксируется на нескольких имплантах и восстанавливает все зубы челюсти.

Такой подход позволяет распределить жевательную нагрузку между имплантами и обеспечить стабильность всей конструкции.

Как крепится несъёмный протез к имплантам?

Протез фиксируется на имплантах с помощью специальных соединительных элементов — абатментов. Они соединяют имплант, установленный в костной ткани, и ортопедическую конструкцию.

Существует несколько способов фиксации. Конструкция может крепиться винтовым методом или фиксироваться стоматологическим цементом. Выбор способа зависит от конструкции протеза и клинической ситуации.

Сколько имплантов требуется для установки несъёмного протеза?

Количество имплантов зависит от клинической ситуации, объёма костной ткани и выбранного метода лечения. Иногда достаточно нескольких имплантов, равномерно распределённых по челюсти.

Точный план лечения определяется после диагностики. Врач оценивает состояние костной ткани и выбирает оптимальное расположение имплантов для равномерного распределения нагрузки.

Можно ли восстановить всю челюсть несъёмными зубами на имплантах?

Да, такой вариант лечения применяется при полном отсутствии зубов. В челюсть устанавливаются несколько имплантов, которые служат опорой для полного зубного ряда.

После фиксации протеза пациент получает устойчивую конструкцию, которая не требует ежедневного снятия. Это позволяет восстановить функцию жевания и улучшить эстетику улыбки.

Чем несъёмный протез на имплантах отличается от классического мостовидного протеза?

Классический мост фиксируется на собственных зубах пациента, которые служат опорой для конструкции. Для этого соседние зубы обычно приходится обтачивать, что увеличивает нагрузку на них.

Несъёмный протез на имплантах фиксируется на имплантах, установленных в костную ткань. Благодаря этому соседние зубы не участвуют в протезировании, а жевательная нагрузка распределяется через импланты на кость.

Как долго приживается имплант?
Средний срок приживления импланта составляет от 2 до 4 месяцев. В этот период происходит процесс остеоинтеграции — сращивание импланта с костной тканью. Это ключевой этап, от которого зависит долговечность результата. Скорость приживления зависит от качества импланта, состояния костной ткани и соблюдения рекомендаций врача. В некоторых случаях процесс может проходить быстрее или, наоборот, требовать больше времени. Имплантация зубов с использованием современных технологий позволяет добиться стабильного приживления и высокого уровня надёжности. После завершения этого этапа можно переходить к установке коронки.

Записаться на приём

Оставьте заявку, и мы свяжемся с вами в течение 5 минут

Адрес
ул. Большая Спасская, 10к1
Телефон
+7 (495) 125-25-20
Время работы
Пн-Сб с 10:00 до 21:00
Напишите нам: