• Комсомольская
  • Сухаревская
  • Проспект Мира
ул. Большая Спасская, 10к1
Пн-Сб с 10:00 до 21:00
ДентаЛюкс-М +7 (495) 125-25-20
Опубликовано: 18 августа 2023 Обновлено: 29 ноября 2025 3 мин. чтения

Как исправить дистальный прикус

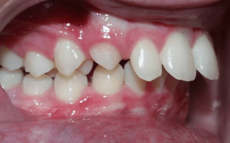
Дистальный прикус – это одно из наиболее распространенных нарушений окклюзии, при котором верхняя челюсть заметно выдается вперед относительно нижней. Это не только эстетическая проблема, но и серьезное медицинское состояние, которое может привести к различным осложнениям, если его не лечить своевременно. В этой статье мы рассмотрим, что такое дистальный прикус, причины его возникновения, методы лечения, продолжительность коррекции и важность раннего вмешательства.

  • Неправильный прикус
Как исправить дистальный прикус
  • Фиксируем цены

  • Налоговый вычет

  • Собственная лаборатория

Что такое дистальный прикус

Дистальный прикус, также известный как прогнатия, характеризуется значительным выступом верхней челюсти по отношению к нижней. Это состояние может быть вызвано как аномалиями роста костей, так и неправильным положением зубов.

При дистальном прикусе часто наблюдаются следующие признаки:

  • Выступающая верхняя челюсть: Верхняя челюсть заметно выдается вперед по сравнению с нижней, создавая дисбаланс в лице.
  • Неправильное смыкание зубов: Зубы верхней и нижней челюсти не смыкаются должным образом, что приводит к затруднениям при жевании и даже при закрывании рта.
  • Трудности при жевании и разговоре: Неправильное положение зубов затрудняет пережевывание пищи и может вызывать проблемы с дикцией, делая речь менее четкой.
  • Асимметрия лица: Лицо может выглядеть асимметричным, особенно в профиль, что влияет на общую эстетику лица и может стать причиной психологического дискомфорта.

Проблемы, связанные с дистальным прикусом, выходят за рамки косметических недостатков. Неправильное смыкание зубов может привести к износу зубной эмали, болям в челюстных суставах и проблемам с дикцией.

Причины возникновения дистального прикуса

Дистальный прикус может возникнуть по ряду причин, которые делятся на наследственные и приобретенные факторы:

Наследственные факторы

  • Генетика: Генетическая предрасположенность играет значительную роль в формировании прикуса. Если у одного из родителей или ближайших родственников был дистальный прикус, вероятность его развития у ребенка значительно возрастает.

Приобретенные факторы

  • Неправильные привычки: Пролонгированное сосание пальца, использование соски и длительное кормление из бутылочки могут привести к развитию дистального прикуса.
  • Неправильное положение языка: Если язык часто располагается между зубами, это может способствовать неправильному развитию челюстей.
  • Проблемы с дыханием: Хронические заболевания, такие как аденоиды или тонзиллит, вызывающие дыхание через рот, могут повлиять на развитие прикуса.
  • Травмы и заболевания: Травмы челюсти или заболевания, такие как рахит, могут повлиять на нормальное развитие зубочелюстной системы.
Как исправить дистальный прикус

Как лечат дистальный прикус в стоматологических клиниках

Лечение дистального прикуса может варьироваться в зависимости от возраста пациента и степени сложности случая. Современная стоматология предлагает несколько эффективных методов коррекции:

Ортодонтическое лечение

  • Брекеты: Это наиболее распространенный метод коррекции прикуса. Брекеты могут быть металлическими, керамическими или сапфировыми. Они позволяют выровнять зубы и исправить прикус.
  • Элайнеры: Прозрачные съемные капы, которые постепенно выравнивают зубы. Они более эстетичны и удобны в использовании, но подходят не для всех случаев.

Хирургическое лечение

В сложных случаях, особенно у взрослых пациентов, может потребоваться хирургическое вмешательство. Операция включает в себя коррекцию положения челюстей и иногда удаление зубов. Хирургическое лечение часто комбинируется с ортодонтическим для достижения наилучших результатов.

Функциональные аппараты

Для детей и подростков часто используют функциональные аппараты, которые стимулируют правильное развитие челюстей. К таким аппаратам относятся трейнеры и функциональные пластинки.

Сколько времени длится коррекция

Продолжительность коррекции дистального прикуса зависит от ряда факторов, таких как возраст пациента, степень сложности случая и выбранный метод лечения.

Брекеты

Средняя продолжительность лечения с использованием брекетов составляет от 1,5 до 3 лет. В этот период пациенту необходимо регулярно посещать ортодонта для активации системы и контроля за процессом.

Элайнеры

Лечение с использованием элайнеров может занимать от 1 до 2 лет. При этом пациенту нужно менять капы каждые 1-2 недели и посещать стоматолога каждые 6-8 недель.

Хирургическое лечение

Хирургическое лечение требует подготовки, которая может занимать несколько месяцев. После операции пациенту часто требуется носить брекеты еще 6-12 месяцев для окончательной коррекции прикуса.

Функциональные аппараты

Детям и подросткам носить функциональные аппараты необходимо в течение 1-2 лет. Важно соблюдать рекомендации врача для достижения максимального эффекта.

Почему важно провести коррекцию дистального прикуса как можно раньше

Ранняя коррекция дистального прикуса имеет множество преимуществ. Прежде всего, это предотвращение развития осложнений, таких как износ зубной эмали, заболевания десен и болевые синдромы в челюстных суставах. Также раннее вмешательство позволяет избежать психологических проблем, связанных с внешностью и самооценкой, особенно у детей и подростков.

Кроме того, у детей челюстные кости еще находятся в стадии роста и развития, что делает коррекцию более эффективной и менее травматичной. Своевременное лечение позволяет достичь стабильных и долговременных результатов, минимизируя необходимость в сложных хирургических вмешательствах в будущем.

Дистальный прикус – это серьезная стоматологическая проблема, которая требует профессионального вмешательства. Независимо от возраста пациента, важно обратиться к специалисту для диагностики и выбора оптимального метода лечения. Мы в клинике "Денталюкс-М" готовы предложить вам современные и эффективные решения для коррекции прикуса, чтобы вернуть вам здоровую и красивую улыбку.

В создании публикации участвовали врачи-стоматологи:

Попович Павел Леонидович (Стоматолог–ортодонт).

Попович Павел Леонидович

Попович Павел Леонидович

Стоматолог–ортодонт
Попович Павел Леонидович

Цены на имплантацию зубов

Наша цена
Средняя в Москве

Исправление прикуса

  • Коррекция прикуса с помощью сплит-терапии

    50 000 ₽
    Средняя цена в Москве 56 000 ₽
  • Коррекция сплит-шины

    5 000 ₽
    Средняя цена в Москве 7 200 ₽
  • Металлическая брекет-система ТИНО

    1 зубной ряд
    13 000 ₽
    Средняя цена в Москве 19 000 ₽
  • Брекеты Damon Q

    1 зубной ряд
    54 000 ₽
    Средняя цена в Москве 74 000 ₽
  • Брекеты Damon Clear

    1 зубной ряд
    89 000 ₽
    Средняя цена в Москве 97 000 ₽
  • Фиксация металлической брекет системы (1 зубной ряд)

    26 000 ₽
    Средняя цена в Москве 32 000 ₽
  • Фиксация брекетов Damon Q

    1 зубной ряд
    30 000 ₽
    Средняя цена в Москве 39 000 ₽
  • Фиксация брекетов Damon Clear

    1 зубной ряд
    35 000 ₽
    Средняя цена в Москве 39 000 ₽
  • 3D планирование ортодонтического лечения на элайнерах

    30 000 ₽
    Средняя цена в Москве 40 000 ₽
  • Flexiligner Light каппы

    100 000 ₽
    Средняя цена в Москве 110 000 ₽
  • Flexiligner Extra каппы

    150 000 ₽
    Средняя цена в Москве 165 000 ₽
  • Flexiligner Pro каппы

    200 000 ₽
    Средняя цена в Москве 230 000 ₽
  • Ортодонтическое лечение на элайнерах 1 категория сложности

    2 зубных ряда
    170 000 ₽
    Средняя цена в Москве 190 000 ₽
  • Ортодонтическое лечение на элайнерах 2 категория сложности

    2 зубных ряда
    220 000 ₽
    Средняя цена в Москве 240 000 ₽
  • Ортодонтическое лечение на элайнерах 3 категория сложности

    2 зубных ряда
    280 000 ₽
    Средняя цена в Москве 292 000 ₽
  • Снятие вестибулярной брекет-системы (1 зубной ряд)

    7 000 ₽
    Средняя цена в Москве 8 500 ₽
  • Изготовление каппы при бруксизме (на 1 челюсть)

    8 000 ₽
    Средняя цена в Москве 9 500 ₽
  • Изготовление послеоперационной каппы (на 1 челюсть)

    5 000 ₽
    Средняя цена в Москве 6 500 ₽
  • Изготовление силовой каппы с перемещением (1 зубной ряд)

    15 000 ₽
    Средняя цена в Москве 18 000 ₽
Все цены
Попович Павел Леонидович
Автор статьи

Попович Павел Леонидович

Стоматолог–ортодонт

Записаться на приём

Оставьте заявку, и мы свяжемся с вами в течение 5 минут

Адрес
ул. Большая Спасская, 10к1
Телефон
+7 (495) 125-25-20
Время работы
Пн-Сб с 10:00 до 21:00
Напишите нам: