• Комсомольская
  • Сухаревская
  • Проспект Мира
ул. Большая Спасская, 10к1
Пн-Сб с 10:00 до 21:00
ДентаЛюкс-М +7 (495) 125-25-20
Опубликовано: 30 ноября 2024 Обновлено: 27 декабря 2025 2 мин. чтения

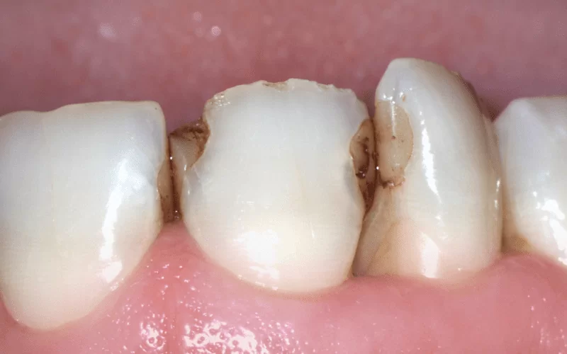
Кариес между зубами — как лечат передние и жевательные зубы

Кариес между передними зубами – серьезная стоматологическая проблема, которая не только вызывает дискомфорт и боль, но и негативно сказывается на эстетике улыбки. Важно вовремя распознать признаки заболевания и принять необходимые меры для его лечения и профилактики.

  • Болезни зубов
Кариес между зубами — как лечат передние и жевательные зубы
  • Фиксируем цены

  • Налоговый вычет

  • Собственная лаборатория

Причины возникновения кариеса между передними зубами

Основные причины появления кариеса между передними зубами включают:

  1. Недостаточная гигиена полости рта: Неправильная или нерегулярная чистка зубов приводит к накоплению зубного налета, который является основной причиной кариеса.
  2. Неправильное питание: Частое потребление сладких и кислых продуктов способствует разрушению эмали.
  3. Недостаток фтора: Фтор помогает укреплять зубную эмаль и предотвращает развитие кариеса.
  4. Зубные травмы: Механические повреждения зубов могут ослабить эмаль и создать благоприятные условия для развития кариеса.
  5. Генетическая предрасположенность: У некоторых людей есть наследственная предрасположенность к кариесу, что делает их зубы более уязвимыми.

Симптомы кариеса между передними зубами

Кариес между передними зубами может проявляться следующими симптомами:

  • Болезненные ощущения: Реакция на холодное, горячее, сладкое или кислое.
  • Темные или белые пятна на зубах: Появление пятен на эмали, которые могут быть признаком начального кариеса.
  • Неприятный запах изо рта: Связан с разложением остатков пищи и размножением бактерий.
  • Чувство дискомфорта: Оскомина или ощущение шероховатости на зубах.
  • Зубная боль: Постоянная или приступообразная боль, особенно при надавливании на зуб.

Диагностика кариеса между передними зубами

Для точной диагностики кариеса между передними зубами стоматологи используют следующие методы:

  • Визуальный осмотр: Осмотр полости рта с помощью стоматологического зеркала и зонда.
  • Рентгенография: Позволяет выявить скрытые кариозные поражения.
  • Лазерная диагностика: Применение лазера для определения начальных стадий кариеса.
  • Флюоресцентная диагностика: Использование специального светового излучения для обнаружения кариеса.
Кариес между зубами — как лечат передние и жевательные зубы

Лечение кариеса между передними зубами

Лечение кариеса между передними зубами зависит от стадии заболевания. Основные методы включают:

  • Реминерализация: Применяется на ранних стадиях. Используются препараты с фтором и кальцием для укрепления эмали.
  • Пломбирование: Удаление пораженного участка и заполнение полости пломбировочным материалом. Для передних зубов часто используются световые композиты, которые обеспечивают высокую эстетичность.
  • Виниры: Тонкие керамические или композитные накладки, которые закрывают переднюю поверхность зуба. Применяются при значительных повреждениях.
  • Эстетические реставрации: Использование современных материалов для восстановления естественного вида зуба.

Профилактика кариеса между передними зубами

Предотвратить развитие кариеса между передними зубами можно с помощью следующих мер:

  1. Регулярная гигиена полости рта: Чистка зубов дважды в день, использование зубной нити и ополаскивателей.
  2. Сбалансированное питание: Ограничение потребления сладких и кислых продуктов, увеличение в рационе овощей, фруктов и продуктов, богатых кальцием.
  3. Регулярные посещения стоматолога: Профилактические осмотры и профессиональная чистка зубов каждые шесть месяцев.
  4. Использование фторсодержащих средств: Зубные пасты и ополаскиватели с фтором.
  5. Герметизация фиссур: Процедура, при которой глубокие борозды на зубах заполняются специальными материалами, предотвращающими накопление налета.

Кариес между передними зубами – это проблема, которую можно эффективно предотвратить и лечить при своевременном обращении к стоматологу. Соблюдение правил гигиены, правильное питание и регулярные визиты к специалисту помогут сохранить здоровье и красоту вашей улыбки на долгие годы.

Если вы заметили у себя признаки кариеса или хотите провести профилактический осмотр, приглашаем вас в стоматологическую клинику "ДентаЛюкс-М". Наши опытные специалисты используют современные методы диагностики и лечения, чтобы обеспечить вам качественный и безопасный уход за зубами. Запишитесь на прием уже сегодня и получите консультацию профессионалов, которые помогут вам сохранить вашу улыбку здоровой и красивой.

Ваше здоровье – наша приоритет. Доверьтесь "ДентаЛюкс-М" и ощутите разницу!

В создании публикации участвовали врачи-стоматологи:

Медведев Роман Сергеевич (стоматолог-хирург-имплантолог-ортопед, главврач), Катаев Антон Викторович (хирург-имплантолог, ортопед).

Катаев Антон Викторович

Катаев Антон Викторович

Хирург-имплантолог, Ортопед
Катаев Антон Викторович
Медведев Роман Сергеевич
Автор статьи

Медведев Роман Сергеевич

Главный врач, Хирург-имплантолог, Ортопед

Записаться на приём

Оставьте заявку, и мы свяжемся с вами в течение 5 минут

Адрес
ул. Большая Спасская, 10к1
Телефон
+7 (495) 125-25-20
Время работы
Пн-Сб с 10:00 до 21:00
Напишите нам: