• Комсомольская
  • Сухаревская
  • Проспект Мира
ул. Большая Спасская, 10к1
Пн-Сб с 10:00 до 21:00
ДентаЛюкс-М +7 (495) 125-25-20
Опубликовано: 22 сентября 2024 Обновлено: 3 декабря 2025 6 мин. чтения

Пародонтоз: причины, симптомы, лечение заболевания

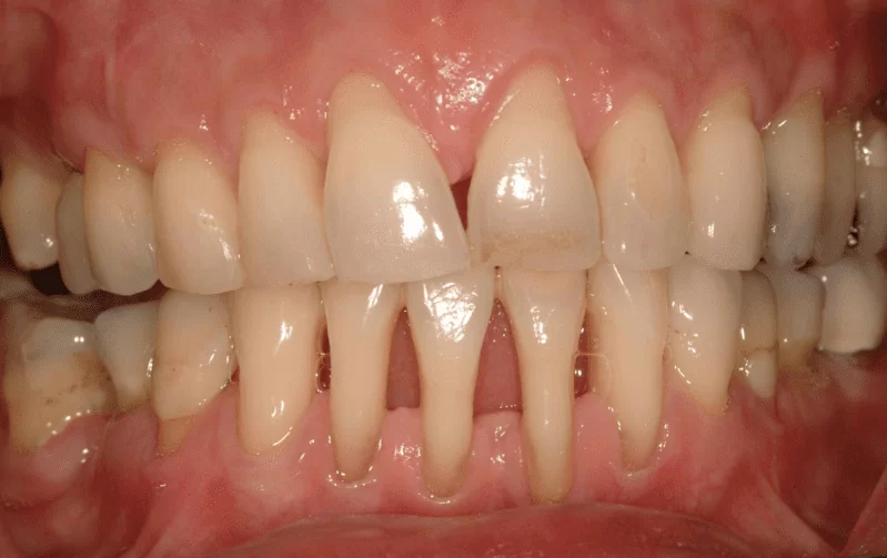
Пародонтоз – это заболевание, поражающее ткани вокруг зуба, известные как пародонт. Оно характеризуется системными изменениями, включая поражение зубных ячеек (альвеолярных отростков), склеротические изменения и уменьшение костной массы.

  • Болезни десен
Пародонтоз: причины, симптомы, лечение заболевания
  • Фиксируем цены

  • Налоговый вычет

  • Собственная лаборатория

Первая стадия пародонтоза

На первой стадии пародонтоза происходит дистрофия альвеолярных отростков, что сопровождается зудом и жжением в деснах, появлением стойкого налета и повышенной чувствительностью. В этой стадии отсутствуют видимые патологии и воспалительные процессы, зубы не болят и не шатаются.

Начальная стадия также характеризуется жжением в слизистой оболочке десен, вызванным недостаточным снабжением питательными веществами. Это наиболее благоприятное время для консервативного лечения, которое не требует хирургического вмешательства.

Вовремя предпринятые меры могут минимизировать последствия заболевания и предотвратить его прогрессирование во вторую и третью стадии. На этом этапе зубы остаются крепко зафиксированными, между ними нет промежутков, и шейки зубов не обнажаются. Кровоточивость десен отсутствует, но уже начинает образовываться зубной камень, который быстро накапливается даже при регулярной профессиональной чистке.

К сожалению, практически бессимптомное течение этой стадии затрудняет раннюю диагностику, поскольку болезнь протекает без выраженного зуда и боли.

Вторая стадия пародонтоза

На второй стадии пародонтоза симптомы становятся более выраженными. Десны начинают отекать и краснеть, появляется кровоточивость при чистке зубов или приеме пищи. Зубной налет становится более заметным, а камень увеличивается в объеме. В этот период пациенты могут ощущать дискомфорт и слабую боль в области десен.

В этой стадии начинается постепенное разрушение костной ткани, поддерживающей зубы. Промежутки между зубами становятся более заметными, и шейки зубов начинают обнажаться. Это приводит к повышенной чувствительности зубов на горячее и холодное. Воспалительные процессы усиливаются, что делает десны более уязвимыми для инфекции.

Консервативное лечение все еще может быть эффективным на этой стадии, но требует более интенсивного подхода. Регулярные профессиональные чистки, антибактериальная терапия и улучшенная гигиена полости рта могут помочь замедлить прогрессирование заболевания. Однако, если не принять своевременные меры, пародонтоз продолжит развиваться, переходя в более тяжелую стадию.

Третья стадия пародонтоза

Третья стадия пародонтоза характеризуется значительной атрофией тканей, что приводит к сильному обнажению шейки зубов и их смещению. Зубы становятся подвижными, боль постоянная и ноющая, абсцессы возникают часто, а десневые карманы становятся глубокими и большими. Без надлежащего лечения это может привести к потере зубов по всей челюсти и развитию остеомиелита.

В последней стадии, также называемой острой, наблюдаются серьезные ухудшения состояния. Пациенты, как правило, обращаются за медицинской помощью именно на этом этапе, когда боль становится невыносимой, начинаются воспалительные процессы и появляются гнойные выделения. Воспаление достигает своего пика при дистрофически-воспалительной форме, которая часто сопровождается генерализованной формой заболевания.

В этой стадии могут возникать крупные абсцессы, что приводит к общей интоксикации организма из-за гнойных скоплений. Третья стадия пародонтоза протекает быстро, и без своевременного вмешательства неизбежным исходом становится потеря зубов.

Другие формы пародонтоза

Некоторые редкие формы пародонтоза включают нейродистрофическое поражение болевых рецепторов. Эта форма проявляется обнажением шейки и корня зуба без воспаления и видимой отечности, отсутствием острых болей, но наличием клиновидных дефектов и зубного камня при отсутствии налета. Полостные карманы либо отсутствуют, либо имеют небольшую глубину. Зубы на первых стадиях остаются устойчивыми.

Хроническая форма пародонтоза встречается наиболее часто и характеризуется длительным, вялотекущим процессом без болевых ощущений и явных симптомов. Это затрудняет раннюю диагностику, и лечение часто становится сложным, требуя пожизненных мер для предотвращения ухудшения состояния десен и зубов.

Запущенная форма пародонтоза развивается десятилетиями без болей и воспалений. Симптомы включают смещение зубов по оси, появление больших промежутков между зубами, дегенерацию связок и системную дистрофию. Лечение этой формы длительное и болезненное, включающее наложение шин и меры по укреплению тканей и восстановлению кровообращения в пародонте.

Причины возникновения пародонтоза

Основные причины пародонтоза включают нарушение работы эндокринной системы, травмы костной ткани, дефицит витаминов, особенно витамина С, проблемы желудочно-кишечного тракта и сердечно-сосудистой системы, курение, злоупотребление алкоголем, наследственность, неправильный прикус, прием противосудорожных препаратов, хронические болезни (сахарный диабет, гипертония, атеросклероз), гиподинамию, нарушение кровообращения в тканях и неправильный уход за зубами.

Симптомы и признаки пародонтоза

Специфических симптомов пародонтоза нет, но можно выделить признаки, указывающие на проблемы с костной тканью зуба. На ранних стадиях может наблюдаться бледность десен без явных воспалительных процессов, ретракция десен с обнажением шейки зубов, отсутствие кровоточивости, но возможное появление гнойных карманов, эрозии эмали и клиновидных дефектов. Также могут диагностироваться проблемы с эндокринной и сердечно-сосудистой системами, а также нарушения обменных процессов.

Основными признаками пародонтоза являются нетипичный налет, зубной камень, дискомфорт при приеме пищи, зуд и пульсация в деснах, гнойные выделения, кровоточивость при жевании, полости и щели, белесый налет на деснах, подвижность зубов и стертости. Шейки зубов обнажаются, и зубы визуально кажутся длиннее.

Диагностика пародонтоза

Диагностика пародонтоза начинается с визуального осмотра, где первыми признаками проблемы являются сильное образование зубного камня и нетипичное обнажение шейки зубов. Рекомендуется обратиться к врачу при обнаружении обнажения шейки или корня зубов без сильного воспаления, ретракции десны, пародонтальных карманов, нарушения наклона зубов, появлении промежутков и наличии проблем с эндокринной или сердечно-сосудистой системой.

Лечение пародонтоза

Лечение пародонтоза – это сложный и длительный процесс, требующий комплексного подхода и строгого соблюдения рекомендаций врача. Методы лечения варьируются в зависимости от стадии заболевания и степени поражения тканей десен и зубов. Основные виды лечения включают физиотерапию, хирургическое вмешательство, шинирование, противовоспалительную терапию и профилактические меры.

Физиотерапия

Физиотерапия является важным компонентом лечения пародонтоза, направленным на улучшение кровообращения и обменных процессов в тканях десен. Основные физиотерапевтические методы включают:

  1. Ультразвуковая обработка ротовой полости: Ультразвук помогает разрушать зубной камень и удалять налет с поверхности зубов и десен. Этот метод также стимулирует регенерацию тканей и уменьшает воспаление.
  2. Электрофорез: Процедура заключается в введении лекарственных препаратов в ткани десен с помощью электрического тока. Это улучшает проникновение активных веществ, усиливает их действие и способствует заживлению.
  3. КУФ-терапия: Коротковолновое ультрафиолетовое облучение (КУФ) оказывает антисептическое и противовоспалительное действие, улучшая состояние десен и уменьшая количество бактерий в ротовой полости.

Хирургическое лечение

Хирургическое вмешательство применяется в случаях, когда консервативные методы оказываются недостаточно эффективными. Основные хирургические методы лечения пародонтоза включают:

  1. Кюретаж пародонтальных карманов: Процедура заключается в удалении воспаленных тканей и зубного камня из глубоких десневых карманов. Это позволяет уменьшить воспаление и предотвратить дальнейшее разрушение костной ткани.
  2. Лоскутные операции: Лоскутные операции проводятся для удаления сильно поврежденных тканей и восстановления нормального уровня десны. Это помогает улучшить поддержку зубов и уменьшить подвижность.
  3. Гингивэктомия: Хирургическое удаление пораженной десны, которое позволяет уменьшить глубину десневых карманов и улучшить доступ к зубным корням для дальнейшего лечения.

Шинирование

Шинирование применяется при сильной расшатанности зубов для их стабилизации. Метод включает использование специальных шин, которые фиксируют зубы в правильном положении и предотвращают их дальнейшее смещение. Шинирование помогает улучшить комфорт пациента и предотвратить потерю зубов.

Противовоспалительное лечение

Противовоспалительная терапия направлена на уменьшение воспаления и предотвращение дальнейшего разрушения тканей. Основные методы включают:

  1. Антибактериальная терапия: Применение антибиотиков и антисептиков для борьбы с инфекцией в ротовой полости.
  2. Противовоспалительные препараты: Использование нестероидных противовоспалительных средств (НПВС) для уменьшения боли и воспаления.
  3. Местные препараты: Гели и мази с противовоспалительными и антисептическими компонентами, которые наносятся непосредственно на десны.
Пародонтоз: причины, симптомы, лечение заболевания

Профилактические меры

Профилактика пародонтоза включает регулярную чистку зубов дважды в день, использование зубной нити и антисептических ополаскивателей. Важно поддерживать сбалансированное питание, богатое витаминами, особенно витамином С, и посещать стоматолога каждые шесть месяцев для осмотров и профессиональной чистки.

Для лечения пародонтоза применяются физиотерапия, хирургические методы, шинирование и противовоспалительная терапия. Своевременное обращение к стоматологу и соблюдение рекомендаций помогут избежать осложнений.

Для профессиональной диагностики и лечения пародонтоза обращайтесь в "ДентаЛюкс-М". Наши специалисты обеспечат полный комплекс услуг, индивидуальный подход и высокий уровень заботы о вашем здоровье. Посетите "ДентаЛюкс-М" уже сегодня.

В создании публикации участвовали врачи-стоматологи:

Медведев Роман Сергеевич (стоматолог-хирург-имплантолог-ортопед, главврач), Катаев Антон Викторович (хирург-имплантолог, ортопед).

Светлов Александр Станиславович

Светлов Александр Станиславович

Стоматолог-терапевт
Светлов Александр Станиславович
Медведев Роман Сергеевич
Автор статьи

Медведев Роман Сергеевич

Главный врач, Хирург-имплантолог, Ортопед

Записаться на приём

Оставьте заявку, и мы свяжемся с вами в течение 5 минут

Адрес
ул. Большая Спасская, 10к1
Телефон
+7 (495) 125-25-20
Время работы
Пн-Сб с 10:00 до 21:00
Напишите нам: